颅底长了肿瘤,而且肿瘤与周围组织、颈动脉关系密切不易除根,术后多次复发,这种情况下,是否会绝望?
对于脊索瘤患者及其家庭而言,“复发”是一个沉痛的词语——它不仅意味着患者需要再次承受肿瘤的痛楚,同时家属也要面临着较大的心理和经济压力。脊索瘤手术后复发是多数患者都将面对的状况,复发率约为85%。
国际颅底手术教授INC福洛里希教授及其团队拥有着国际上较大的脊索瘤患者群,精钻脊索瘤等颅底复杂肿瘤20多年,至今已经拥有近300例成功脊索瘤案例,80%以上都是高难度颅底和颅颈交界脊索瘤。大部分脊索瘤患者在接受福教授团队治疗前均在其他医院做过手术,这类患者手术治疗更加困难。

近年来,福教授多次来华学术交流,国内疑难脊索瘤患者也有机会接触到这位国际脊索瘤手术教授。咨询他关于脊索瘤如何治疗?本文为一例福教授脊索瘤患者远程咨询案例交流,看看他们都是什么情况?福教授又是如何回答的?
4年内3次手术,多次复发,从未放弃生存希望
2023年5月国际神经外联合会(WFNS)颅底手术委员会前主席Sebastien Froelich教授应邀访问苏州大学附属独墅湖医院(苏州市独墅湖医院),并进行疑难颅底手术指导。Froelich教授成功为一名反复复发高难度颅底脊索瘤患者进行了示范手术,此次为该患者的4次手术。

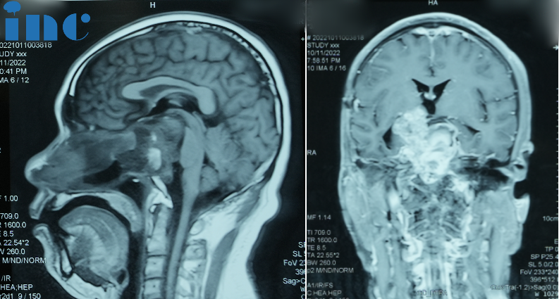
术前:肿瘤体大,广泛累及颅底结构,侵蚀斜坡、鞍内鞍上、海绵窦区,包裹右侧颈内动脉。肿瘤向上推挤视神经、视交叉,到达三脑室底部;向后上方推挤脑干和基底动脉,部分肿瘤边缘与脑干分界欠清。
脊索瘤复发甚至是多次复发后,下一步的路又该如何走?术前,福教授又是如何为苏先生评估的?
苏先生病情之复杂,不止是肿瘤复杂,更是在于他的整个治疗过程。他经历过3次脊索瘤手术,情况却一次比一次严重。
苏先生病史回顾
2019年10月出现无明显诱因的视野缺损,伴视力下降,遂就诊当地医院。行颅脑磁共振检查,提示占位性病变,脊索瘤可能性大。
同年12月行全麻下经鼻年内镜肿瘤切除术,手术顺利。术后病理提示脊索瘤。术后恢复理想,视力视野恢复良好。后因疫情原因,未做术后复查。

2021年,患者再次出现视力下降伴视野缺损。于当地医院行颅脑磁共振检查,提示鞍区脊索瘤复发。

2021年7月7日在全麻下行开颅鞍区肿瘤切除术,术后病理为脊索瘤复发。术后恢复的比一手术会稍微慢一点,但视力视野还是恢复正常。

2022年7月,患者三次出现同样症状,磁共振检查再次提示鞍区肿瘤复发。因患者不想再接受开颅手术,10月8日全麻下行经鼻内镜肿瘤切除术。术后病理为脊索瘤复发。术后因患者忘记服用醋酸泼尼松,导致内分泌功能紊乱,出现嗜睡、精神萎靡的症状,伴有脑脊液增多颅内压增高。遂于同年11月19日行脑脊液分流术,后症状缓解消失。

2023年1月底,患者四次出现之前的症状,4月份开始自感上下肢力量下降,患者可自行站立和行走,但自感不稳。

苏先生的身体每况愈下,视力下降、视野缺损、言语不清、吞咽困难、呛咳、眼球活动障碍、走路不稳、上肢无力、嘴角抽搐……“你什么时候决定来手术了,你再来找我。”这一次,苏先生一家不敢轻易手术了,在医生朋友的下,他们通过INC咨询了即将来华的Froelich教授远程咨询,想要争取他的示范手术,听听他的意见。
福洛里希教授远程咨询评估
1.根据患者目前的情况,你认为手术治疗可行吗?内镜手术可能吗?
福教授回复:手术是可行的。脊索瘤的较佳治疗方法是手术和高剂量放射治疗相结合,以降低复发风险。所以支持手术的主要原因是,患者没有做过放射治疗,然后的病理结果仍然是低Kl67,而不是侵袭性肿瘤。
手术的目标是较大限度地顺利切除和减压,然后进行放射治疗。内镜经鼻入路不是较佳选择,因为肿瘤不是严格位于中线,而是在右侧偏侧关键血管,脑脊液漏和感染的风险也高,因为鼻中隔瓣无法闭合。开颅手术将更好地控制肿瘤周围的关键结构。
2.如果教授进行手术,能达到什么切除率?这种手术有哪些风险和并发症?发生的概率是多少?手术后可以恢复吗?
福教授回复:手术的目标是对关键结构进行较大限度的顺利切除和减压,以进行放射性治疗。切除的体积将取决于肿瘤的性质以及与关键结构的关系。肿瘤可能因为粘附在关键结构上而无法全部切除,但我相信可以进行大部分切除。
手术的风险与肿瘤周围的关键血管有关,是有中风风险的血管。为了定位后交通动脉,降低手术风险,手术前需要对CISS或FlESTA序列再做一个薄切的核磁。我认为眼球运动和视力恶化的风险也很低。
3.手术后是否需要辅助治疗?再次复发的概率是多少?
福教授回复:手术后需进行辅助治疗,以避免迅速复发。放疗方案将取决于切除率和减压的量。如果不做放疗,复发率高
4.手术后患者目前的症状能否完全恢复?
福教授回复:实际临床症状的恢复很难评估,但减压后有很大的可能可以好转症状。手术的目的也是避免迅速恶化,并通过手术和放射治疗相结合来控制肿瘤。

福教授远程邮件回复部分节选
脊索瘤复发之后,接下来的治疗该怎么走?
1什么是脊索瘤的局部复发?
对于接受初次治疗的脊索瘤患者来说,局部复发是较为常见的。局部复发是指:术后、放疗后的原发肿瘤在原发部位复发或进展,或肿瘤从原发部位连续扩散到邻近区域。
脊索瘤的局部复发包括以下几种情况:原发性肿瘤的治疗后进展、多发生于手术边缘或附近的复发病变、活检或手术等医源性播散导致的病变,以及肿瘤附近的跳跃性转移。
2脊索瘤的局部复发率有多高?
有研究表明,无论是否接受放疗,接受肉眼全切手术的脊索瘤患者中,有超过50%会发生局部复发。值得注意的是,高比例的复发发生于5年~10年后。甚至在一项研究中,在确诊15年后也没有观察到没有复发生存期的平台期,因此需要长期随访。
颅底脊索瘤的5年、10年没有复发生存期(RFS)和局部控制(LC)分别为47~76%和42~71%。脊柱脊索瘤的5年、10年没有复发生存期分别为58%和32%。完全切除的骶骨脊索瘤的5年、10年和15年的局部复发率分别为30%、46%和57%。
颇底脊索瘤的5年复发率约为50%,而复发颅底脊索瘤治疗后2年再复发率约为50%。经典型脊索瘤局部复发后可向恶性程度更高的去分化型发生恶性转化,必要时行影像学检查排除远处转移。
无论是什么部位的脊索瘤,局部控制的主要因素包括:肿瘤大小、切除范围、手术质量、放疗质量(剂量、体积、放疗时机和剂量均匀性)和患者年龄,另外,医院的经验也可能影响复发的可能性。
局部复发进展的患者难以获得长期控制,只有少数可以治愈。因此,在初次治疗时就要尽努力,通过较佳治疗获得肿瘤长期控制的机会。
3复发性脊索瘤的总体治疗策略是什么?
对于复发肿瘤,可以选择手术、放疗或手术结合放疗。选择时应重点考虑患者的年龄、身体状况、症状体征、肿瘤位置、切除的难易程度及范围、放疗可达到的区域,以及既往治疗情况等方面。若难以做出决定,可短暂观察,再行影像学复查,决定治疗策略。
手术切除复发脊索瘤时,仍应以确定顺利的前提下较大限度地切除肿瘤为目标。对于原发肿瘤仅行手术切除而未行放疗的患者,复发脊索瘤手术切除后应进行放疗。对于有放疗史的复发脊索瘤,考虑到再程放疗的风险,应尽可能达到手术全切除,术后不予放疗:若术前评估认为难以实现充分的肿瘤切除,但有助于缓解症状或增加放疗的可行性,也可以考虑先行手术,充分评估脑干及脑神经等再程放疗的风险后,尽量给予较高剂量的放疗干预,放疗技术可以采用多次分割放射或立体定向放射技术。
来自福洛里希教授的国际治疗建议
中国每年约有300-400名新诊断脊索瘤患者,您会这些患者如何治疗?
Froelich教授:我认为对于脊索瘤来说,重要的是接受一个团队的治疗,接受对这些肿瘤有治疗经验的神经外科医生的手术治疗。在法国,多数脊索瘤患者都在我们的(脊索瘤)研究所、科室接受治疗,同时我们也接受一些来自欧洲其他国家的患者,所以我们有大量的患者群体,这给我们提供很多经验。当看到一个特定的患者时,我们就会明白他的情况,这是我们习以为常的事情。所以我认为我们可以为患者提供更好的机会,更好的治疗方案,因为我们有这种经验,对这种疾病有深入的了解。
在中国这样一个大国,我认为建设一些的治疗中心才是未来的发展方向,在那里聚集全部的脊索瘤患者和具有大量治疗脊索瘤经验的神经外科医生团队。放疗也是如此,因为脊索瘤所需的放疗技术比较不同,那是一类耐辐射肿瘤,需要高剂量的放疗,所以治疗也比其他病变(例如脑膜瘤)更困难。而对于反复复发的脊索瘤患者,更应该由的团队治疗。因为这些患者可能需要一些分子学分析来了解这个肿瘤,找到一些靶点,并提供一些个性化的治疗。
我们有一些患者有长期且复杂的脊索瘤或颅底脑膜瘤病史,多年来他们经常接受多次手术、放疗和化疗,您对这些患者的长期治疗有何建议?
Froelich教授:在面对已经手术或者已经放疗的病人时,情况肯定是困难的。而我的工作的一个重要部分就是治疗这样的病人,那些之前在其他机构接受过手术或手术+放疗的患者,他们来寻求我们治疗时,我们需处理这种情况和以往的治疗所导致的问题。例如,当我们面对带有瘢痕组织的解剖结构,穿过鼻子时闭合更困难,这都更复杂,风险也更大。所以对于那些以前做过手术的患者,他们确实需要寻求对这种复杂病例情况有丰富手术经验的外科医生治疗。放疗也一样,如果以前做过放疗,患者需等一段时间才可以再次放疗,因为在特定时间内不能反复放疗。所以手术有时候是的选择,然而正如我刚刚所言这种手术并不简单。主刀医生需要切除肿瘤为患者争取进一步接受放疗的时间,因此这种复杂的情况真的需要经验丰富的神经外科医生。
对于Froelich教授,巴特朗菲教授曾称赞道:“Froelich教授跻身为新一代高难度颅底肿瘤神外手术医生。他神经内镜‘筷子手法’,为国际神经内镜发展和颅底显微手术技术进步贡献卓著,在这种技术的应用上实际上很少有医生能达到他的高水准。所以我想发自内心的向全部中国患者,对于那些患有颅底肿瘤以及其他神外疾病的患者们,是能够通过神经内镜手术治疗的疾病,我建议Froelich教授作为你们的咨询及手术医生。”
INC国际神经外科医生集团旗下组织国际神经外科顾问团(WANG)成员法国Sebastien Froelich教授作为国际神经外科联合会(WFNS)颅底手术委员会前主席、国际神经内镜及颅底手术教授即将来华进行学术交流,另外开展线下一对一面对面咨询。面向国内有需求的颅底脊索瘤、颅底脑膜瘤、垂体瘤、颅咽管瘤等患者,想要获取相关病情国际治疗资讯及治疗方案的患者,可以抓住这位国际神外教授面对面咨询的绝佳机会。后续INC也会持续报道法国Froelich教授来华的相关资讯,敬请期待。
- 文章标题:脊索瘤一再复发,该不该就这样放手?
- 更新时间:2024-01-29 11:21:44
400-029-0925




