“我感觉可以只用手术一直做到老,虽然会复发,但长得慢,一年才涨个1cm。”
“做过3次鼻内镜手术,3次开颅手术,2次放疗。质子也做过,还是隔一段时间就复发,已经想放弃了……”
“天真的以为真的不会复发,至少短时间内不会复发,结果六个月就复发了,确切地说是残留继续生长了。现在术后十个月了,医生建议再次手术,真不知道该怎么办了…”
“去年一开始手术没有放疗,今年复发,这次做了手术后会放疗。希望这次能时间长一点”
“肿瘤四次复发了,不知道该怎么办,再次手术医生又不愿意接手,没有办法再做放疗,真是太绝望了”
关于脊索瘤,网络上充斥了这些患者绝望的声音
得了治不好又一时死不了的病是什么感觉?
听听下面这位年轻的脊索瘤反复复发患者自述……
我今年30岁,已经被脊索瘤折磨5年。
25岁的时候查出脊索瘤,脊索瘤发病率1/1000000,脊索瘤虽然不是恶性肿瘤但是会一直复发,而且我的位置在斜坡,靠近脑干无法全切。

而且,只能手术切除,不能吃药也是相当麻烦。
初次发现就是早上起床头剧痛,当时觉得是熬夜导致的,不太在意,但持续了有大半年时间,有一次实在痛的受不了就去医院做了检查,结果就查出来了。
2015年6月底手术一开始手术
当时在省人民医院医生说我这个肿瘤位置不同,估计做不了,得去北京。
辗转去到北京,好在医生说可以手术而且正常情况下费用也就10万左右,但是排队住院少则等俩月多则半年。后来去到了其他医院,等了三天住上院,住院四天后就手术了,术后7天就出院了,出院后一个月左右除了剧烈运动,如常了。
2019年2月复发二次手术
一开始手术真的超级顺利,术后也没有并发症,心态也很好。
所以就算二次复发的时候也没多想,就匆匆住院做了手术,谁知道术后ICU都躺了两天,普通病房呆了俩月。
医生告知肿瘤依然无法跟切只能切除一小部分,而且术中碰到了一些运动神经导致左半边身体麻木,右半边身体无力,舌头直接吞咽障碍。
总之并发症一堆,而且术前的脖子不能动一点,没有好转,简直就是手术做了个寂寞。还住了两个月的普通病房,天天输液一堆一堆。
不管如何父母家人都觉得既然做了手术总归是好些的,希望总是存在的,可能这就是命吧,每次生活有希望了有盼头了,老天爷就给当头一棒。
没想到,2019年10月的时候又复发了……
吞咽困难、说话不利索,我们却无能为力,因为除了手术也不能吃药阻止。直到连筷子也拿不起来,脚也抬不起来,吃啥啥呛。话也基本上说不出来,说出来都是啊啊啊啊的,没人能听懂……
2019年住院时,身高175体重150多斤,出院130斤。
一直到病情反复,体重只剩101斤了。
在2021年春节之前,感觉病情还是缓慢变化的,过了春节简直是一天一个样一天比一天差。
我有年迈的父母和妻子,这种情况下,我觉得对他们太残忍了。
我和爱人父母表达了放弃治疗的想法,首先不想真的不想再上手术台了,其次就算手术了现在已经坏掉的功能也不会恢复了。
但是,家人反对放弃治疗,爱人也始终不离不弃,终是莫大的幸运。
继续战斗!
以上案例来自网络病友真实交流,我们也希望这位病友能够勇敢面对病魔,治疗,早日找到顺利切除脊索瘤的主刀医生,尽量避免再次复发。
脊索瘤一再复发,是不是真的就没有办法?
根据《2023年颅底脊索瘤多学科咨询专家共识》,颅底脊索瘤的优选治疗方式依然是手术切除。随着显微外科和神经内镜技术的发展,在较大限度切除肿瘤的同时保护神经功能、好转生命质量成为外科手术切除的基本原则。接受全切除手术的患者在无进展生存期和总体生存期方面明显获益。一次手术尤为重要,应尽可能实现受累骨质的充分切除及重要结构的充分减压和妥善保护。
如果一开始就碰到法国教授,那就是较好的,但是我们当时不知道。虽然脊索瘤也是比较难治。但是我老公也一直想的治疗,他也是想手术。之前几次可能切掉的少一点,所以很快就复发了。
曾3年内4次复发手术的48岁脊索瘤患者苏先生妻子感叹道,在2023年5月,这位他口中的法国福洛里希教授,成功为丈夫全切较其复杂的颅底脊索瘤。

作为国际脊索瘤手术教授,福教授及其团队拥有着国际上较大的脊索瘤患者群,精钻脊索瘤等颅底复杂肿瘤20多年,至今已经拥有近300例成功脊索瘤案例,80%以上都是高难度颅底和颅颈交界脊索瘤。大部分脊索瘤患者在接受福教授团队治疗前均在其他医院做过手术,这类患者手术治疗更加困难。福教授手术的大多数患者得到顺利全切、无并发症、低复发率。无进展生存期:5年和10年分别达到52.1%、23.6%;总生存期:5年和10年分别达到75.1%、52.9%。
以下为三例脊索瘤反复患者寻求福教授成功手术案例交流,看看他们都是什么情况?手术后恢复又如何?
48岁男性较大脊索瘤5年内4次复发3次手术
还能顺利手术吗?

病情回顾:
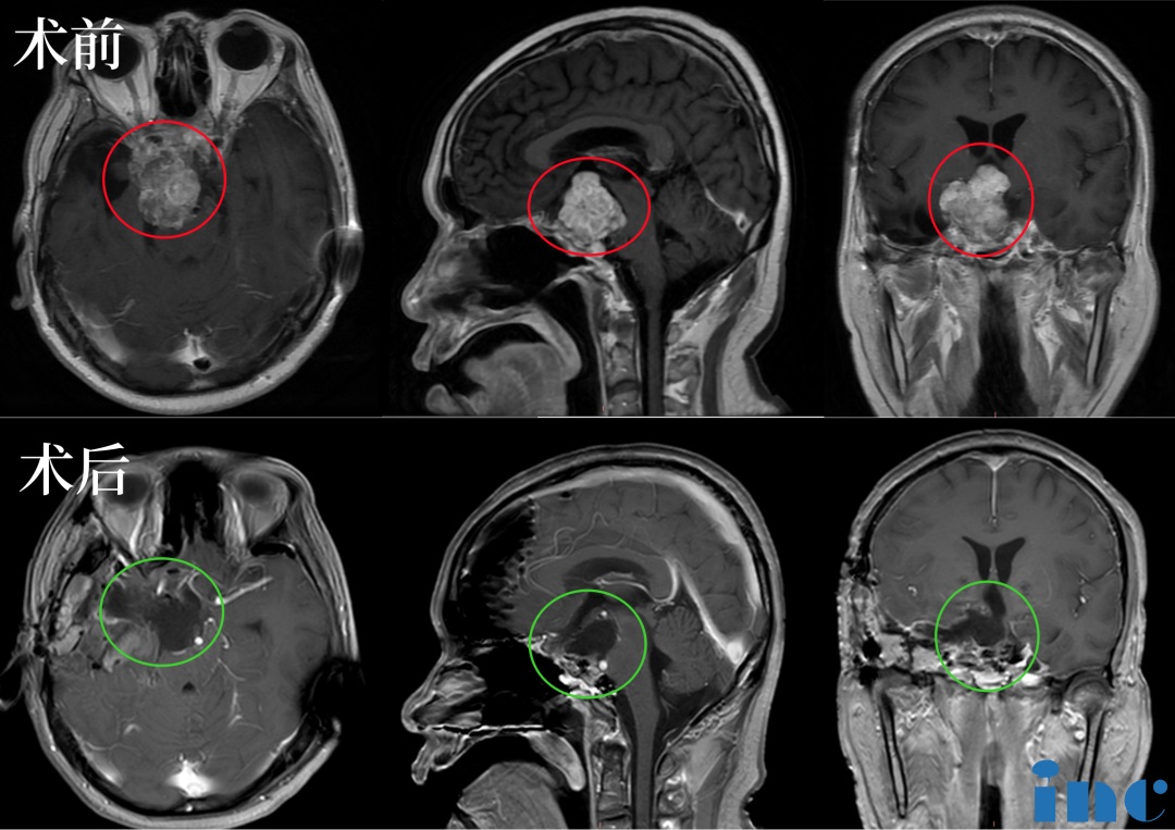
48岁的苏先生2019出现无明显诱因的视野缺损,伴视力下降,遂就诊当地医院。行颅脑磁共振检查,提示占位性病变,脊索瘤可能性大。2019年-2023年患病期间苏先生经历了4次复发3次手术,(两次经鼻内镜,一次开颅),一次脑积水分流术,近期肿瘤再次复发,症状再次加重,肿瘤位置在斜坡鞍区,包饶重要的椎基底动脉、动眼外展等神经,挤压三脑室,下丘脑、视神经等重要结构,手术难度较大。
术前症状:视力下降,视野缺损,言语不清,吞咽困难,呛咳,眼球活动障碍,走路不稳,上肢无力,嘴角抽搐,体重下降。

术前:肿瘤体大,广泛累及颅底结构,侵蚀斜坡、鞍内鞍上、海绵窦区,包裹右侧颈内动脉。肿瘤向上推挤视神经、视交叉,到达三脑室底部;向后上方推挤脑干和基底动脉,部分肿瘤边缘与脑干分界欠清。
治疗过程:
2023年5月,福教授应邀访问苏州大学附属独墅湖医院(苏州市独墅湖医院),苏先生抓住了这个机会,咨询福教授能否为自己手术,在经过一系列评估以及术前紧急补充激素等措施,2023年5月15日,INC法国福教授为苏先生做了四次开颅手术,在术中,福教授联合应用显微镜和内镜,运用的“筷子手法”,术后当晚核磁显示肿瘤已基本全切。这对夫妻是幸运的,在这场风险较大、具挑战的手术中重获新生。

术后苏先生神志清楚,四肢活动良好,无新增并发症。苏先生妻子无比感谢福教授,虽然不会英文,但是她还是通过翻译软件给福教授亲手写了一封英文感谢信以示感激之情。
病房外苏先生妻子亲手为Froelich教授送上感谢信

术后2个月,INC团队为了让更多患者了解到他们的治疗经历,在康复医院采访这对夫妻。在妻子鼓励和陪伴下,如今,康复医院里苏先生的状态一天天恢复变好。“现在是好多了,这两天感觉更有信心了。”
2023年8月,术后3个月,苏先生妻子交流苏先生康复日常,她开心得表示“爱人状态放疗过程中还可以,现在能咕噜咕噜漱口了,也能说话了,走路也稳多了。”相比术前不能走路、吞咽困难、言语不清等诸多症状,术后有了很大得进步。

2024年1月,术后8个月,苏先生已经可以正常进食,榴莲千层、香蕉、可乐……作为“吃货”的苏先生终于又能吃下这些自己曾经较爱的食物。“那天吃完碗里的嫌少,又加了一块,本来他也是个吃货”,苏先生妻子也很高兴丈夫一点点的恢复和进步。

37岁女性复发难治性脊索瘤
5年4次手术,还能再次手术吗?
病情回顾:
37岁的Carol生活幸福、事业稳定。本以为能够陪伴孩子一起成长下去的她,居然被脑瘤这一恶魔缠住了。5年前,在一次体检时不幸被确诊为颅颈交界区脊索瘤,期间Carol经历了4次手术及多次化疗,然而不幸的是,还是没有根除脊索瘤,肿瘤凶猛地蔓延至大脑斜坡、椎动脉、岩尖、脑干等复杂又关键的区域。如果不做手术,所剩时日无多,但做手术却早已丧失较佳时机。难度大、风险高、治愈率低,先前手术的医院已不愿再次为Carol手术。

图1:内镜下鼻内镜入路前的术前影像。(A-D)MRI T2 WI显示一个较大脊索瘤延伸至椎前间隙和齿状突周围。肿瘤横向延伸至舌下管和颈静脉孔,并向内侧延伸至硬膜内间隙。肿瘤从斜坡中部延伸至枢椎齿状突周围。
治疗过程:
根据Carol目前复杂的病情,福教授及时调整策略,采取经鼻内镜+开颅显微镜分阶段手术。一阶段经鼻内镜切除中线为主的肿瘤,在二个远外侧入路开颅切除侧方肿瘤,达到较大水平的顺利切除肿瘤。

图2:颅颈交界区肿瘤手术治疗策略分析,肿瘤的旁正中部分可以通过经鼻内镜手术切除。枢椎齿状突周边肿瘤(A和D处红色圆圈)、侵犯硬膜内部分的肿瘤与后循环接触(B和E处蓝色圆圈)和先前乙状窦后入路手术的粘连(C和F处黄色圆圈),这些部位的肿瘤更适合二期远外侧开颅手术。
74岁较大脊索瘤患者部分切除后复发
福教授右前外侧入路顺利手术切除
病情回顾:
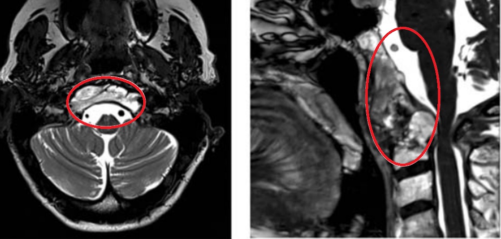
74岁女性因慢性颈部疼痛病史1年而就诊,诊断为颅颈交界区脊索瘤,该脊索瘤主要侵犯C2,未突破至枕骨,在2014年外院行经鼻内镜颅颈交界区脊索瘤的部分切除术,术后接受辅助质子治疗。
2019年初随访MRI,显示脊索瘤复发,颅颈交界区脊索瘤病变大小为51.3×74.3×25.9 mm,脊索瘤已经引起C2椎体病理性骨折及C1水平脊髓压迫,伴随C1右侧方、C1前后弓、C2椎体侵犯,齿状突后移和C1水平的侧向移位(图6)。肿瘤侵袭上三分之一的髁突和斜坡水平(图6a-c)。肿瘤侵袭延伸至C5-C6水平,在椎前间隙浸润延伸,并压迫C5和C6神经根,并包裹椎动脉椎动脉的V2段(图6d)。临床检查显示神经反射亢进和Lhermite征阳性。
▼图a-b术前MR显示颅颈交界区较大脊索瘤,51.3×74.3×25.9 mm大小,浸润性生长。

▼图显示脊索瘤向周边浸润生长,下至C5-C6水平的脊髓瘤侵犯浸润。

治疗过程:
原本需要2种不同手术入路、2次不同时期完成的复杂手术,国际脊索瘤教授福洛里希教授竟利用其的“筷子技术”内镜+显微镜双镜联合使用前-远外侧入路一次全切了较大脊索瘤,为患者较大化顺利切除、避免手术痛苦、避免肿瘤的残留复发。
▼E完全切除肿瘤术后用骨水泥填充术腔,从中斜坡到C2椎体水平。术后10天进行枕-颈固定术。

▼F手术顺利,术后MRI显示肿瘤完全除,患者在一开始手术后10天接受了枕颈固定,没有任何并发症。
术后MRI显示两个病灶完全切除。术后进行质子治疗,术后9个月未观察到影像复发的证据,此外,临床检查显示没有神经系统缺陷,患者恢复正常的日常活动。

2023年5月、7月、11月,INC旗下专家顾问团成员、国际神经外科联合会(WFNS)颅底手术委员会前主席、“双镜联合”手术教授、国际颅底手术教授法国Sébastien Froelich(塞巴斯蒂安·福洛里希,福教授)教授多次来华学术交流,并多方位展开多样化交流与合作,并成功进行示范教学手术救治了数名疑难脊索瘤患者。
- 文章标题:少见脊索瘤长在大脑深处、多次复发,放弃还是坚守希望?
- 更新时间:2024-02-01 09:18:10
400-029-0925




