37岁的晓亚再一次躺上病床,等待明日一早的那场手术,这也是她这5年来所经历的第4次手术。夜深人静时,她睁着酸涩的双眼,努力降低自己的期待。
之前的4次手术都没能彻底打败她脑子里的那个肿瘤,开颅、内镜她都尝试过,不仅无效,反而还搅得脑子一团乱,让手术变得越来越难,她还应该抱有期待吗?对于晓亚来说,摆脱脑瘤似乎是天方夜谭,因为这5年来前前后后3次手术又复发,足以将她的精神摧毁。
但是,她同样做不到放弃,因为这一次的主刀医生告诉她:“我对自己有信心,所以,你也要对自己有信心。”仿佛一滴甘霖撒在了她贫瘠的内心,于是,这场即将扭转她命运的第5次手术,就这样到来了……
关于过去:是一次次的推倒重来
被推进手术室前,晓亚再一次回想起自己刚确诊的那天。颅颈交界区一个巨大的嵴索瘤,将她拖入深渊,由于当时病情危急,第一次手术时她没有太多选择,只能被动接受。
然而,手术并没有切干净肿瘤,随之而来的是复发、手术、再复发、再手术……仿佛陷入死循环般,她看不到任何希望。而自从第二次手术开始,难度就已经升级——之前手术留下的瘢痕模煳了肿瘤与正常组织的边界,降低了切除率,更何况是对周边正常脑组织的破坏,令她的术后并发症越来越严重。
直到这一次复发,所有的治疗似乎再次推倒重来,但已经体无完肤的“战场”却只能由她独自承受。持续加重的颈部疼痛、日益严重的下颅神经功能障碍导致她声音嘶哑、吞咽困难,完全无法正常生活。
这一次的手术会与之前不同吗?
手术进行时:福教授的考量
晓亚的第4次手术,主刀医生是颅底手术大咖福教授。从晓亚目前的病情看,这一次的手术已经完全无法采取常规手术方式进行,否则,等待她的只能是第5次、第6次……
于是,福教授团队提出,采用显微镜+内镜“双镜联合”的手术方式,联合内镜经鼻入路与远外侧入路,分阶段进行治疗。别小看这种手术策略,实际上,对于晓亚这种多次手术、肿瘤顽固的情况,需要的正是“分区治理、因地制宜”。
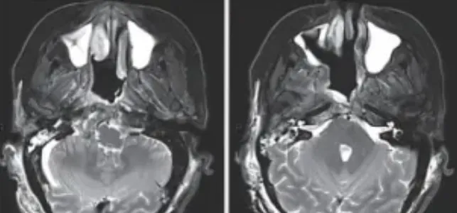
▼晓亚第4次复发后的MRI,也是福教授所面临的复杂状况

1、这个嵴索瘤为何复杂
肿瘤位于下斜坡,并向周边广泛延伸,右侧C1和C2、岩尖水平均见有肿瘤,右侧椎动脉被肿瘤包绕,脑干受压迫,软脑膜平面、后循环血管及骨质均已被肿瘤广泛浸润。要知道,这些区域并非畅通无阻,中间充斥着许多碰不得的神经血管“红线”,肿瘤并不能被一次性完整剥离。
2、多次手术增加了哪些困难
先前的手术入路造成了组织结构的破坏改变,已经形成疤痕结缔组织,成为切除肿瘤的一堵“铜墙”,也是造成肿瘤难以切除的屏障。同时,曾经的乙状窦后入路切除手术也将导致硬脑膜内有广泛组织粘连,增加出血风险。
3、为何需要“双镜联合”+分阶段策略
晓亚的肿瘤位于颅颈交界处,位置低于鼻腔,当使用神经内镜经鼻手术时,往往存在视野盲区,即使使用角度镜,也无法触及底部肿瘤,因此,往往导致肿瘤残余。
此外,很多医生为了提高手术切除率,还会牺牲掉正常的组织,取出粘膜、肌肉,有时甚至是鼻甲,还对血管结构造成风险。如果打开硬脑膜,那么嵴液漏的风险也相当高,这对任何患者来说都是得不偿失的。
福教授团队更倾向于在通过神经内镜经鼻手术切除部分肿瘤后,结合远外侧入路开颅手术,达到肿瘤的完全切除。这一策略相当于在微创切除部分肿瘤后,再通过开颅清理残余,对比单一的经鼻内镜手术,提高了手术切除率;对比完全的开颅手术,减少了创伤。
▼第一阶段经鼻内镜手术结束,正中中线部分肿瘤成功切除,其他残留肿瘤等待第二阶段开颅手术切除(绿色箭头)。

▼第二阶段开颅手术结束,嵴索瘤基本被完全切除。

▼最后,由于右侧枕髁完全被肿瘤侵犯,因此,在肿瘤切除后,还需要进行手术融合稳定。

术后2年:来之不易的安稳
术后,晓亚从昏睡中醒来。她没想到医生会告诉她肿瘤安全铲除的好消息,这无异于一场奇迹降临。她的病情终于稳定下来,除了偶尔会有耳朵疼痛之外,几乎没有任何不适,而这也随着中耳积液消退而好转。
在接下来的几个月内,晓亚在福教授的建议下开始进行辅助质子治疗,并接受密切的随访,两年后,她没有再复发。整整5年、4次手术,才换来如今的安稳生活,晓亚不禁感慨万千,这是一场意料之外的胜利,更是一段来之不易的幸福。
福教授如何攻克【颅底肿瘤】?
有没有想过,如果将人脑看作一个倒扣的大碗,那么,托举起这口碗的是什么呢?
颅底,这个颅内的特殊骨性结构,可以向上托起颅腔里的脑组织,维持头部稳定,也可以向下分隔开眼眶、鼻窦及鼻咽腔。这里几乎可以称得上“千疮百孔”——通过颈静脉孔、卵圆孔等20余个孔道连通神经与血管系统;
同样,也称得上“坑洼泥泞”——既有由蝶骨、筛骨等多块骨骼通过骨缝连接,形成的前、中、后三个颅窝,其内部又容纳着大脑额颞叶及脑干、小脑、垂体窝、视神经管等组织,可谓软硬皆有。
当肿瘤生长在这个“天然迷宫”中,它们既可以侵蚀脑组织,又可以钻到骨缝中,无孔不入。清理它们难度极高,耗时耗力,效果却不见得好,让神经外科医生如临大敌。
为了攻克颅底肿瘤,福教授极具天赋地提出了“双镜联合”手术策略,可根据病变的位置、大小和性质,联合两种手术器械,一边切除肿瘤,一边进行双向修补,巧妙地规避了单一技术可能带来的短板,避免术后并发症的发生,极大程度保护神经功能。
案例来源:A Staged Strategy for Craniocervical junctionChordoma with Combination of EndoscopicEndonasal Approach and Far Lateral Approachwith Endoscopic Assistance:Case Report
- 文章标题:当开颅与经鼻双双失效,第四次手术前医生对她说:我还有一个办法……
- 更新时间:2025-09-12 12:17:22
400-029-0925




