脊索瘤是源于脊索残余的少见肿瘤,总发病率为8.4/1000万。颅底脊索瘤患者诊断后的平均生存期为28.8个月。颅底脊索瘤以局部侵袭、转移、手术植入和高复发为特征,并通过积累遗传突变遵循“肿瘤进展”的肿瘤学学说。治疗具有挑战性和多样性,成人的结果以高失败率、高复发率和高发病率为特征。大约5%的脊索瘤发生在儿童和年轻人中,发病率为千分之一点四。据报道,25岁以下的患者预后不良,75岁及5岁以下的患者更常表现出非典型的组织学特征、更具攻击性的生长模式和更高的复发率。幼儿经常出现非特异性的主诉,轻微的缺陷往往不被注意,直到日常活动受到影响,这可能会延迟诊断,直到肿瘤扩展成多个隔间。

儿童颅内脊索瘤的早期表现包括非特异性症状,如颈部疼痛、斜颈、吞咽困难、喉咙痛、打鼾、疲劳和抑郁。这些较初的线索往往不引人注意,直到日常活动受到损害。已知青春期前儿童的行为变化,如易怒、睡眠障碍和喂养不良,表明疼痛,这可能是脊索瘤的早期征兆。这些模糊的症状可能会延迟诊断,并解释在诊断时缺陷的频繁出现,而不是儿童脊索瘤更快的生长模式。核磁共振成像的便捷性被认为可以减少这一潜伏期。神经缺陷,是颅神经,在诊断时经常出现。六脑神经麻痹是常见的症状。在儿童中也观察到下颅神经缺损的高发生率,这不同于成人患者。儿童斜坡脊索瘤不建议手术吗?
专门描述儿科病例的文献很少,病例数量有限,管理年代不同,治疗计划不一致,缺乏长期随访。脊索瘤治疗包括手术,目标是全切除(GTR),然后是质子束放射治疗(PBRT)的微观残余。
儿童斜坡脊索瘤不建议手术吗?根治性切除仍是优选
在目前缺乏合适的药物治疗的情况下,颅底脊索瘤的治疗依赖于手术切除和辅助放射治疗,关于两者的作用和范围的争论仍在继续。由于对儿童使用放射治疗的担忧,以及这些肿瘤的多室扩展所带来的外科挑战,在儿科人群中还没有确定的治疗方案或明确的结果。据报道,73例小于18岁的颅底脊索瘤患者接受了辅助PBRT手术,其中有高剂量PBRT的价值。平均随访时间为87个月(范围1-252),生存率为81%。在同一机构接受此类治疗的125名成人的5年生存率为55%。同样,博尔巴和他的同事据报道,与仅接受手术的患者相比,接受手术切除后接受放射治疗的患者的预后明显更好(P=.004)。
对于成年人来说,根治性切除的作用已经确立。然而,由于其少见性,对于儿童颅底脊索瘤手术切除程度的影响还没有一致的看法。随着根治性切除的潜在高发病率的概念,有人提出斜坡脊索瘤患者的手术应仅针对顺利减压。其他人主张使用鼻内镜技术,因为他们声称侵入性较小;然而,已报道的一系列成人鼻内镜技术显示出较高的部分切除率,因为由于肿瘤的大小和范围,这些肿瘤中的许多不能通过单纯的鼻内镜方法进行GTR手术。此外,当肿瘤大于80厘米时,GTR被认为是无法达到的,许多儿科病人的肿瘤会超过这个数值。因此,给定的患者可能需要多种治疗方法,就像我们的许多患者一样,治疗团队应该掌握这些方法。
此外,据报道,根治性切除或次全切除患者的发病率无统计学差异。次全切除一再与高复发率相关。较近,Bilginer和他的同事报道了他们的儿科系列6例颅底脊索瘤患者,他们都接受了次全切除。两名患者单独接受手术,4名患者接受不同的辅助治疗。平均随访82.8个月,67%的患者出现肿瘤进展。此外,成人的复发手术有较高的累积并发症发生率,而那些以前未接受过治疗的患者的切除率明显更高。在他们的106名成年患者中,吴和他的同事发现以前的手术或放射治疗是复发和长期生存的危险因素。在一则儿科系列研究中,69.2%的患者(n=9)接受了一期切除,20%的患者(n=1)复发,均达到了GTR。未能实现GTR的主要因素是曾接受过治疗(手术、放射或两者兼有)的患者的手术,这些患者在手术中面临预期的挑战,例如粘连、扭曲的解剖结构或组织和血管的脆弱性。虽然因复发而接受治疗的患者数量很少,但这仅仅导致了的趋势,切除的程度在长期结果中起着主要作用。我们系列中的全部患者都经历了类似的高剂量PBRT;因此,辐射在我们的分析中不是一个变量。
切除范围的影响是较大的,GTR是有利结果的重要因素。这一系列的结果,包括由一名外科医生长期随访治疗的相当数量的儿科患者,表明接受根治性切除和质子束治疗的患者比接受次全切除的患者无进展生存的机会高13倍。
INC国际神经外科医生集团脊索瘤案例一则
对于脑脊索瘤显微外科手术,国际颅底肿瘤手术教授巴特朗菲教授是擅长的,巴特朗菲教授在术中核磁、神经导航等高复杂设备的辅助下,其脑脊索瘤平均切除率达到了90%以上。在国内,一位95后小姑娘雯雯(化名)身患桥前斜坡脊索瘤,斜坡位置的脊索瘤手术难度较大,难以切除干净,较易复发。雯雯在国内一次手术后仍然还有很大一部分残留,效果不理想,而国内医生告知二次手术风险太大,建议保守治疗。后经过INC的联系,找到了巴特朗菲教授,巴特朗菲教授为雯雯实施了从枕下乙状窦后入路对脑干实施广泛解压切除术,手术很成功,手术切除率达到了95%以上。

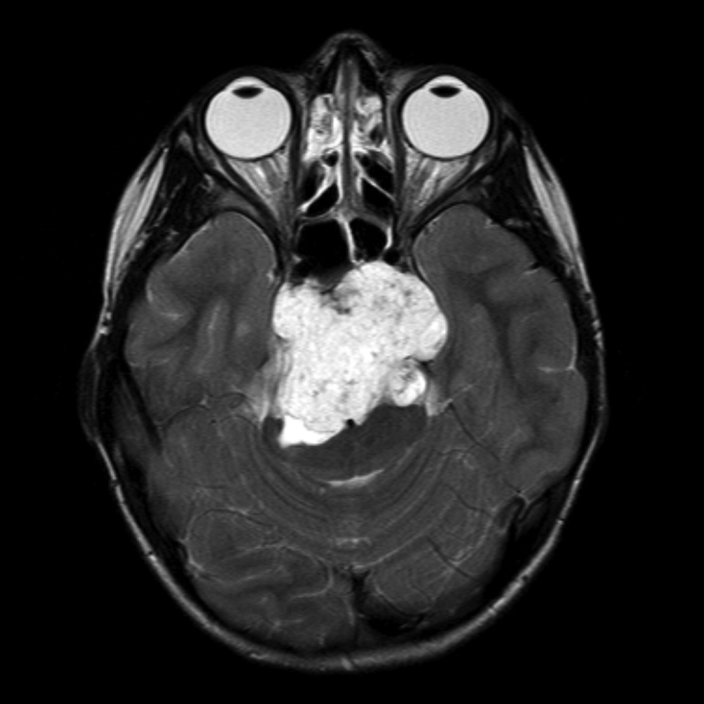
雯雯脊索瘤影像图
手术治疗脑脊索瘤有哪些比较好的方法?脑脊索瘤的切除,除了显微外科手术,另一种比较常用的就是神经内镜手术了。神经内镜手术技术是国内近二十年才流行起来的手术,相比于显微外科手术,神经内镜手术不用开颅,属于微创手术,创伤更小,现在技术已经成熟,深受患者青睐。神经内镜手术被誉为神经外科微创时代较具代表性的手术,其借助细巧的内镜,可以让景深更近、视角更宽广,在对一些偏远、折角的位置,也能够清晰显示。让内镜手术完全在直视下操作,在确定切除率的基础上,又能保护正常组织。由于神经内镜手术技术流行的时间并不长,很多神经外科医生都不熟练,再加上需要两人同时配合才能操作,让其手术难度变高了不少。但国际神经外联合会(WFNS)颅底手术委员会主席(2013年至今)Froelich教授,其发明内镜手术“筷子手法”的出现,改变了神经内镜手术目前的窘境,让原本需要两人操作的仪器,现在只需要一个人来操作,的解决了手术过程中存在的配合问题,让手术风险更低,在兼顾较高的切除率同时,又可以很好的避免神经损伤。
巴特朗菲教授、Sebastien Froelich教授都是INC国际神经外科医生集团旗下顾问团成员,与INC共同致力于国际神经外科的提高、发展。另外国内患者如想寻求巴特朗菲教授、Sebastien Froelich教授及其所在医院的国际前沿治疗,可通过INC国际神经外科医生集团获得国际远程咨询及出国治疗的相关帮助。在12月21日,Sebastien Froelich教授还将来华参加中外神经学术交流,在华期间,国内脊索瘤、脑膜瘤、听神经瘤、胶质瘤等神经外科患者还可以在INC中国上海代表处,与Sebastien Froelich教授面对面交流,得到国际前沿的咨询意见。
- 文章标题:儿童斜坡脊索瘤不建议手术吗?
- 更新时间:2020-05-07 14:43:30
400-029-0925




