脊索瘤是罕见的骨恶性肿瘤,复发风险高,复发患者的长期生存情况难以预料。脊索瘤是起源于头尾轴沿线、从斜坡到骶骨的脊索残余组织。尤其颅底脊索瘤的诊疗具有特殊挑战性,需要多学科协作。
对于颅底脊索瘤患者,指南推荐最大限度手术切除。肉眼下全切是结局改善的重要预测因素,为最大程度地切除肿瘤,应考虑按需采取尽可能多的手术。那么手术后,脊索瘤都需要放疗吗?
案例一:无法全切的脊索瘤怎么办?
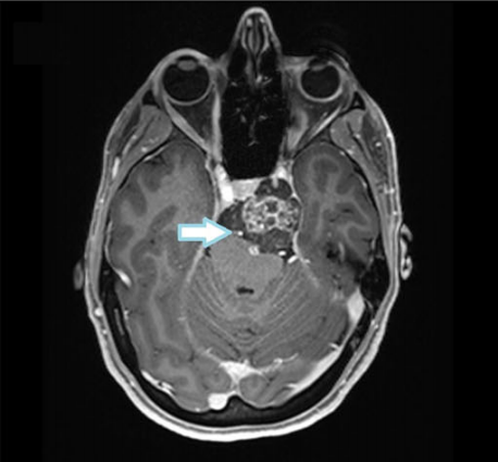
38岁女性,斜坡脊索瘤,位于颅底的重要区域,其生长方式特殊,紧紧包裹着基底动脉以及左大脑后动脉。手术十分具有挑战性,因为基底动脉是大脑供血的关键血管,而左大脑后动脉则负责供应大脑半球后部的血液。因此,在考虑治疗方案时,医生必须格外小心,以确保在尽量移除肿瘤的同时,保护这些关键的血管不受损伤,以维持正常的脑部功能。

术前MRI显示上斜坡脊索瘤包裹基底动脉和左大脑后动脉
针对此类病变,手术入路的选择依赖于硬脊膜内病变的扩展范围、病变的侧向位置、上颈椎及颅颈椎交界(CVJ)的受累情况,以及之前手术所采用的入路。
INC福教授采用经鼻内镜手术,考虑到术前MRI显示椎基底动脉被肿瘤包围,福教授在此次肿瘤切除手术中,首先采取的是温和的减瘤步骤,以避免对血管造成过度的牵拉。鉴于该脊索瘤于海绵窦水平的特殊位置,福教授在手术中优先考虑了神经功能的保护,而没有选择激进地完全切除肿瘤,特别是在肿瘤与血管粘连紧密的区域,他选择了保留部分肿瘤。手术的最后阶段,福教授利用角度内镜进行了细致检查,以确保手术视野中那些难以直接观察的角落没有肿瘤残留。

手术入路示意图
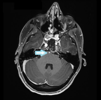
该经鼻神经内镜手术达到了次全切除。术后,患者表现出良好的恢复情况,未出现任何神经功能缺损的问题,无其他并发症。为了进一步巩固治疗效果,患者后续接受了质子放疗。

术后MRI显示近完全肿瘤切除(残留部分位于海绵窦水平)和通畅的血管(箭头所示)。
这位患者没有全切,术后进行了质子治疗。那么对于全切的患者,术后还需要质子吗?

案例二:脊索瘤全切后需要放疗吗?
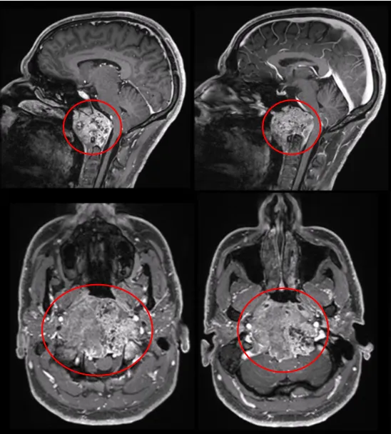
同样是脊索瘤,我们在福教授所治疗的另一个患者身上,也许能找到答案。肿瘤最大直径达10cm、瘤体积96.5cm³,巨大的肿瘤压迫脑干,福教授是如何做的?术后进行放疗了吗?

术前MRI显示,肿瘤呈浸润性生长,并向双侧后外侧扩展,右侧受累尤为严重。肿瘤侵袭至椎前间隙、下斜坡、双侧枕骨髁、第一颈椎C1的前弓以及C2的齿状突。
事实是,为了尽可能安全地切除肿瘤,福教授为其制定了一个综合治疗方案,而教授在术中所使用的,除了“筷子技术”,还有“双镜联合”技术。首先在显微镜下暴露肿瘤并进行瘤内减压,再使用神经内镜辅助探查,并借助“筷子技术”切除对侧肿瘤。最后,福教授还使用Roy-Camille技术进行枕颈融合术,为后续质子治疗创造一个无金属的定位及治疗通道。
一整套综合治疗的结果如何?无并发症,他的肿瘤得到了完全切除。在术后恢复中,患者的吞咽功能得到显著改善,颈部疼痛也同步缓解。8周后,他接受了质子治疗。

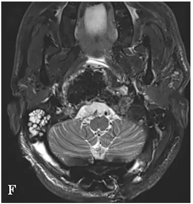
术后MR显示,肿瘤已完全切除,对脑干和延髓的占位性压迫得到解除。

术后三维CT显示C0-C3-C4-C5枕颈融合稳定,根钉的弯曲设计有助于PBRT放疗的实施。
INC
脊索瘤术后一定要做质子吗?
研究分享
我们知道质子辅助放疗一直是颅底脊索瘤手术后的标准治疗方法。但对于已接受肉眼下全切的特定患者,是否需要普遍采用该策略需要具体分析。
次全切除或去分化型/差分化型脊索瘤
对于所有最大限度手术切除后仍有残余肿瘤的患者以及所有去分化型或差分化型脊索瘤患者,采用适当高剂量的辅助放疗,因为这种肿瘤为放射抵抗性肿瘤。脊索瘤为复发风险较高的恶性肿瘤,放疗旨在根除手术无法安全切除的肉眼可见及镜下残余肿瘤。
肉眼下全切的经典型脊索瘤
部分接受肉眼下全切的患者可能仅手术即可实现长期生存,这些患者是否行辅助放疗存在一定差异。
对于希望采取最大限度初始治疗并愿意承受放疗风险的患者,以及外科医生认为镜下残余肿瘤的风险较高时,可选择辅助放疗。
质子VS光子VS传统放疗
由于脊索瘤所需的放疗剂量大(通常≥70Gy),传统放疗实施困难。而使用粒子(主要为质子)或光子的大剂量聚焦放疗技术可在给予肿瘤更高剂量放疗的同时避开周围结构;这类技术包括立体定向放射外科(SRS)、立体定向放疗(SRT)。
质子束治疗脊索瘤的研究资料最多,但尚无随机试验比较这些现代治疗技术,而且质子束治疗的优势主要限于理论上和个案报道中。
使用光子的传统二维或三维放疗技术损伤脑干和颅神经的风险很大,而既往这些技术采用较低放疗剂量时相关局部复发率和治疗失败率又较高。
1、带电粒子放疗
与传统光子放疗相比,带电粒子放疗有一些理论优势,能最大程度减少邻近正常结构的照射。这种类型的放疗产生的Bragg峰特别有益,可在尝试对靠近脑干的斜坡区域提供大剂量照射的同时,确保脑干及其他周围正常组织接受安全的较低照射剂量。
质子束放疗是应用最广泛的带电离子技术。这种方法似乎比早期采用较低照射剂量的传统光子放疗更有效:
质子束,质子放疗是脊索瘤的典型带电粒子放疗,常用总照射剂量为70-78Gy相对生物效应(RBE)。
碳离子,碳离子放疗是相对新型的治疗方式,汇总结果显示用于颅底脊索瘤的疗效和安全性均较好。与质子放疗相比,碳离子放疗的RBE更好。不过,尚无高质量的比较研究显示哪种方式更优。
2、光子技术
光子技术的进步使得治疗的适形度更高,即能够将高剂量集中在期望的、有时是形状复杂的靶区,同时减少其他部位的附带照射剂量。随着这些技术的进步,带电粒子疗法的剂量学优势也显著降低。尚无随机试验比较现代先进技术SRS、SRT或IMRT与质子束或早期光子技术。不过,有望利用光子技术实施大剂量照射。
需注意的是,SRS治疗患者的总病灶体积通常较小,相关毒性数据很少。尽管如此,SRS在治疗小体积局限性病变方面仍可能有效。SRT可用于病灶过大而无法行单次SRS治疗的患者。
- 文章标题:切不干净,易复发?这个难缠的脑瘤手术“不基础”,术后放疗也“不基础”!
- 更新时间:2025-10-21 13:57:27
400-029-0925




