脊索瘤是一种少见的原发性骨和软组织肿瘤(一种肉瘤),由胚胎中的一小块脊索组织残留形成。脊索组织则是一种存在于发育中的胚胎中的结构,对于脊柱的发育很重要,通常脊索组织会在我们出生前消失。
虽然脊索瘤缓慢生长,但它是依然是一种难以治疗的肿瘤,因为它靠近脊髓或其他关键结构,如颈动脉和脑组织。并且脊索瘤能够逐渐延伸到周围的骨骼和软组织中,甚至在治疗后可能会出现复发的情况,通常还与一个肿瘤在同一个地方。其次,还有在约30%至40%的患者中,脊索瘤肿瘤较终可能会扩散或转移至身体的其他部位,较常见的是肺、肝、骨或淋巴结。这更是在神经外科医生对脊索瘤的治疗上“难上加难”。
脊索瘤的始发症状有哪些?
原本就难治的脊索瘤,一开始还可能还会没有任何症状。随着脊索瘤的生长,它会对大脑或脊髓的邻近区域慢慢施加压力,才导致这种疾病的症状和体征显现。所以在医生发现之时往往是肿瘤已经潜伏多年,这也是影响脊索瘤患者及时进行治疗的因素之一。
同时按照脊索瘤生长的位置的不同,其症状也各不相同,比如颅底脊索瘤多见于年轻患者,可导致复视和头痛,如果足够大,可能会影响面部感觉或运动、语音、语音和吞咽功能。脊柱部分的脊索瘤多见于老年患者,脊索瘤沿着脊柱的任何地方都可能引起背部、手臂或腿部的疼痛、无力或麻木。发生在骶骨的脊索瘤可能会在肿瘤大之前不会引起症状,直到可以通过触摸明显的感觉到肿块的存在,有时这也是骶骨脊索瘤的始发征兆,其次可能会导致膀胱和肠道功能的问题。所以当你发现自己的身体长时间处于上述不适的状态时,请及时前往医院进行排除检查。
脊索瘤的预期寿命是多久?
重要的是要记住,每个人治疗的预后效果都是独特的,这取决患者的年龄、脊索瘤的类型、肿瘤的大小和位置、治疗方法、切除范围和其他因素。只有你的神经外科医生才能就您的个体预后效果和风险提出建议,然而这一建议需要来自一位有丰富的脊索瘤治疗经验的神经外科医生,这一点重要。
在众多因素中,脊索瘤的预后通常更大水平的取决于手术切除肿瘤的成功率。尽管脊索瘤通常是生长缓慢的肿瘤,但它们具有局部侵袭性并且倾向于渗入邻近组织和器官并且具有多个局部复发,局部复发导致组织损害并且通常是这也是导致脊索瘤患者死亡的原因。一般而言,脊索瘤可能在根治性切除肿瘤后3到8年后出现复发,在次全切除术后接受放射治疗后1到2年出现复发,在没有放射治疗的情况下进行次全切除时仅在8个月后就会有复发的可能性。

同时一项研究表明,大约67%的颅底脊索瘤患者在5年后仍然能够存活,58%的患者与诊断时相比肿瘤并没有出现进一步恶化(无进展生存期);大约57%的患者在10年后仍然活着,44%的患者脊索瘤在10年后没有恶化。如果脊索瘤能够被更完全的切除,并在术后患者进行放射治疗,则预后更好。这更好的表明了更完全的切除脊索瘤会延迟手术和较终复发之间的时间。

参考文献:https://healthjade.com/chordoma/
脊索瘤手术切除率能够达到多少?
脊索瘤手术旨在尽可能多地去除脊索瘤肿瘤,手术的范围或可以去除的脊索瘤的多少取决于肿瘤的位置以及它与大脑中关键结构的接近程度。除此之外,脊索瘤切除手术的切除率还受到主刀医生的经验以及你所在的医院的医疗设备和技术水平的影响。
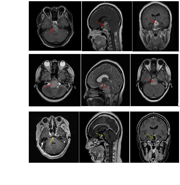
以年仅22岁的95后女孩雯雯为例,她是一位桥前斜坡脊索瘤的患者,通过上述的内容我们也了解到了这是一种颅内比较少见的具有损害性的肿瘤,并且脊索瘤的切除率会直接影响到雯雯的复发率和寿命。虽然经过国内神经外科医生进行了一次切除治疗,但不幸的是因为周围密布重要的血管和神经组织,雯雯的切除效果并不理想,切除后依然有很大一步的脊索瘤存在。并且医生并不建议进行二次手术,认为风险过高。
医生的建议虽然如此,但雯雯并没有放弃继续寻医,还是为存活的一线希望而断的与脊索瘤进行抗争。经过咨询得知INC国际神经外科医生集团旗下拥有国际神经外科顾问团(WANG),并通过INC联系到了德国汉诺威国际神经外科研究所(INI)血管神经外科主任巴特朗菲教授,愿意为雯雯进行二次诊断。
较终,巴特朗菲教授决定为雯雯通过新入路进行脊索瘤切除。手术过程中巴教授采用的设备是国际前沿水平的高科技的复杂仪器—术中导航设备引导手术、术中磁共振成像系统(iMRI)等。不仅能让巴教授对肉眼看不见的病灶进行切除,还能更为顺利合适的保护其他健康的组织结构,将切除率提升到较高。
不出所望,雯雯较终的脊索瘤切除率达到了95%以上,并且手术后顺利的出院,恢复状态良并且生活质量等到了好转,有了更多生存希望。

案例详情:http://www.incsg.com/bingligengxin/011.html
二次切除率达95%以上的国际专家:巴特朗菲教授
从雯雯的手术前后对比影像中,我们就可以见证巴特朗菲教授高超的手术技术能力。除了在脊索瘤治疗领域方面精通,巴特朗菲教授还擅长治疗胶质瘤、海绵状血管瘤以及室管膜瘤等多种肿瘤的治疗,在颅底手术、大脑和脊髓血管病变显微手术方面做出了贡献。目前,他不仅是德国汉诺威国际神经科学研究所(INI)神经外科教授和血管神经外科中心主任,还是国际神经外科联合会(WFNS)教育委员会现任主席以及欧洲神经外科杂志Neurosurgical Review主编。
除此之外,巴特朗菲教授经常被邀请到国际各地的会议上作为进行发言和授课,他是我国病友中的“亲民医生”,身为INC国际神经外科医生集团旗下组织国际神经外科顾问团(WANG)的一员,在多年的工作过程中,他携手其余的国际神经外科界的专家教授,共同为众多国内患者带来了生活的希望。

受到INC国际神经外科医生集团的邀请,6月24日左右,巴特朗菲教授曾来华为部分有手术需求且符合手术的脑胶质瘤、脑干海绵状血管瘤、脊索瘤等6名脑肿瘤患者实施了顺利且高切除率的手术。目前,患者恢复状况良好,无其他手术并发症。
- 文章标题:脊索瘤好治吗?预计寿命和切除率是多少?
- 更新时间:2021-03-17 17:40:03
400-029-0925




