手术切除脑膜瘤是较为合适的治疗手段。随着显微手术技术的发展,脑膜瘤的手术效果不断提高,使大多数病人得以治愈,手术原则是:控制出血、保护脑功能、力争全切。WHO I级或良性脑膜瘤通常预后良好。WHO III级或恶性脑膜瘤有少见的侵袭性,预后较差。幸运的是,90%以上都是良性肿瘤。良性脑膜瘤即便长在矢状窦旁和大脑镰旁等复杂位置,只要做到顺利全切,5到20年可能都不会复发,可以延长生存期,甚至达到治愈效果。如果切不干净,短则3个月到半年就会复发,长则1年到3年不等,因此切除率是预后的主要影响因素。手术全切肿瘤,可较大水平地缓解症状、避免复发,是治愈较合适的方法。
1、首刀、伽马刀后脑膜瘤多发恶化,Simpson1级全切术后4年没有复发
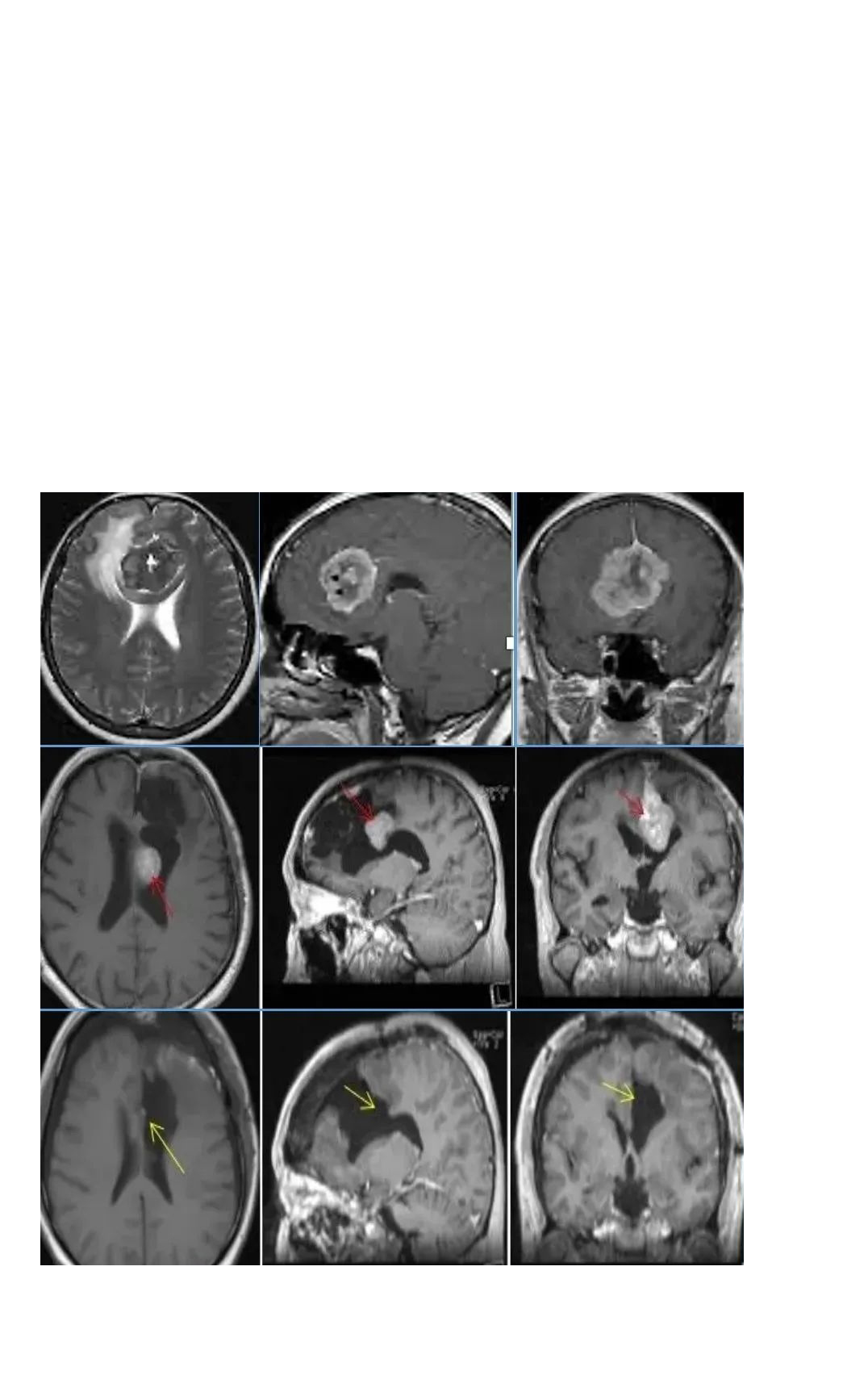
术前情况:48岁的赵先生因突发癫痫就医,家人带其MRI检查后发现大脑左额镰旁有肿瘤占位,立即在国内某医院进行部分切除,病理结果是“脑膜瘤”。由于赵先生肿瘤生长在特别重要的神经、血管旁,为保留神经、血管功能,手术全切难度大,较易损伤周边重要组织,所以只实施了部分切除。
然而仅在部分切除手术的二年,赵先生就在复查检查种发现了脑膜瘤复发的情况,手术风险依旧存在,医生建议赵先生进行伽马刀治疗。3年伽马刀治疗非但没有如预期的控制肿瘤生长的效果,反而让赵先生的脑膜瘤继续恶化,MRI影像显示大脑镰前段基本均受累,并有大脑镰右侧肿瘤生长,矢状窦被累及,左侧额部凸面硬脑膜多处肿瘤生长。
手术切除肿瘤仍然是较根本的办法,然而此时肿瘤的情况更加复杂,三年前的脑膜瘤就让众多医生打了退堂鼓,建议保守治疗,又何况是现如今的情况。在多方寻医、四处打听下,在病友圈得知INC德国巴特朗菲教授是脑膜瘤、胶质瘤等颅底肿瘤治疗的国际人物,他能为患者实施的肿瘤全切术。
治疗过程:看完赵先生的影像资料,巴特朗菲教授指出,能否完整切除脑膜瘤是预防脑膜瘤复发的关键因素,这也决定了患者术后能否有更高的生存率、更好的生活质量。虽然二次手术风险大,凭借其多年的经验可把当前的脑膜瘤及残余全部清除。
术中情况:在术中iMRI、术中神经导航等国内少有的高科技复杂仪器辅助下,巴特朗菲教授为赵先生实施了手术,大脑镰旁及矢状窦旁的肿瘤被完全切除,受累颅骨的内板以磨钻磨除后复位。手术实现脑膜瘤Simpson 1级切除。

术后情况:正常,术后ICU观察一天,术后二天下床进行康复锻炼。神经功能无任何异常,术后13天步行出院。距离赵先生做手术已有4年多了,赵先生的女儿每年都会陪父亲定期去坐核磁检查,而MRI复查结果显示,脑膜瘤并没有复发,在国内做了的康复治疗后,除了定期复查,赵先生现在已跟正常人一样生活。
2、视神经管脑膜瘤致视力下降、失明,二手手术还能全切、保视力吗?
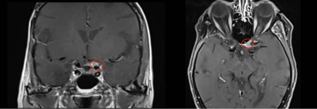
术前情况:2005年,75岁的法国女士Chloe因右侧海绵窦脑膜瘤进行了一次开颅手术。2016年,她发现自己左侧视力进行性下降,检查视力结果左侧视力4.6(右侧5.0),左侧视神经管内侧病变均匀增强,还报告翼点空化是由颞肌萎缩引起的。诊断确定脑膜瘤位于视神经管的中下侧(图1),导致了视力严重恶化。

图1:术前MRI
由于肿瘤在强化生长,如果迟迟不手术,病变势必会对视神经及周边更多神经功能和脑组织造成压迫损伤,进而出现更加严重的视力障碍,而手术造成视神经损伤导致失明的风险也很大。无论如何,Chloe不愿意接受往后余生都将在黑暗中度过人生的可能,她坚持要找到更好的医生手术切除脑瘤,争取更大水平保存原有视力。
治疗过程:Chloe及其子女经过多方查询打探,得知INC国际神经外科专家Sebastien Froelich教授是国际神经外科颅底手术教授、内镜手术专家,擅长视神经管脑膜瘤等复杂位置脑瘤切除手术,因此找到Sebastien Froelich教授做咨询咨询及手术治疗。

Sebastien Froelich教授接诊Chloe后,对其病情进行详细分析,并根据肿瘤具体位置、大小、形态制定个体化手术入路。术中在内镜辅助下,采用经右额下入路肿瘤全切术,通过钻取蝶缘和内侧视神经管进行视神经减压术,再经额下入路(图3)为对侧交叉沟和视神经提供顺利的手术入路,在保障正常功能神经和脑组织不受损伤的前提下,顺利切除肿瘤(图4)

图片图5:术前术后MRI影像对比,肿瘤全切除
术后情况:Chloe术后核磁显示肿瘤完全切除,术中无功能神经损伤,无脑脊液渗漏等手术并发症,视神经保留完好,术后患侧视力也得到好转。
- 文章标题:良性脑膜瘤手术未全切肿瘤会恶化吗?全切达到更好效果
- 更新时间:2022-08-09 16:54:44
400-029-0925




