海绵窦是一个拥挤的解剖区。除了颅神经III、IV、VI和V神经的额支,它还包含颈动脉并接受来自眼眶和基底神经丛的静脉引流。海绵窦脑膜瘤(CSM)逐渐压迫上述神经和动脉,引起不同程度的单侧眼肌麻痹。在很长一段时间内,它也可能导致交叉受压。组织学上,肿瘤常为良性,生长缓慢。肿瘤通常通过手术或放疗来治疗;虽然合适,两种治疗方法都有有限和部分治疗效果。手术可导致死亡和残疾;辐射可能与长期并发症有关。海绵窦脑膜瘤治疗好方法。
同时,如果不进行治疗,肿瘤的自发生长很少威胁生命,眼肌麻痹可能需要很长时间才会发生或变得令人不安,从而限制患者的日常活动。接下来的问题是,对于每个患者来说,哪种方法较合适,才能潜在地延长患者的生存时间,减少患者的残疾。一则研究中对3名患者进行了2至50年的随访,这些患者均接受了手术、放疗和/或保守治疗,其依据是出现症状的证据和医生-患者关于提供更长的寿命和更少残疾的较佳选择的决定。尽管患者人数很少,但研究结果以及文献中相关可用信息的回顾可能有助于制定治疗措施。
在每个患者中,对潜在的治疗风险进行评估并呈现给患者,并制定了被认为可能提供发病率和死亡率较低机会的治疗计划。开始治疗的基础上提出的症状和他们的程度影响患者的生活,目标和前景。没有使用特定的例程或指南,因为当时没有。到目前为止,这些病人已经被跟踪了20到50年。对每位患者进行总结,并将结果与文献中的结果进行比较。
案例报告三则
患者1
1970年,一名55岁男子因部分左六神经麻痹而出现轻度复视。脑血管造影未见不同相关异常。由于没有明确的诊断,因此制定了保守治疗方案。复视用眼镜矫正。在几年的时间里,他出现了部分b型神经性麻痹,眼睑轻微下垂,但视力保持正常。
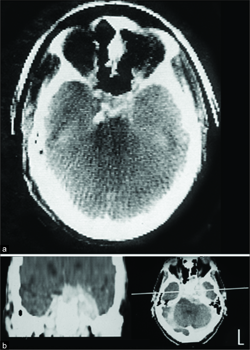
轻微的眼睑下垂通过眼镜上的一个小装置得以矫正,他得以继续他的牙医工作。1976年,当时被称为电学和音乐工业(EMI)的扫描显示,蝶鞍外侧有一处不易解释的病变[图1a],因此继续进行保守治疗。6年后,他出现了完全性3神经麻痹和左眼闭合,计算机断层扫描(CT)显示明显的CSM证据[图1b]。他还出现了部分半月形失明。虽然他不介意左眼的损失,因为眼睛是闭着的,但保守的治疗似乎不再合理。尽管存在一些慢性肺部疾病,但在1983年,医生建议只切除压迫交叉和右视神经的那部分肿瘤,他接受了手术。这使右眼的视野恢复到接近正常。为了保持视力,他接受了放射治疗。他的视力一直保持稳定,直到5年后,即复视28年后,他死于不相关的原因,享年83岁。

图1
患者2
1971年,一名51岁的妇女在日常活动没有受到太多干扰的情况下,因左侧6神经麻痹而开始出现轻度复视。1975年,CT扫描显示左侧海绵窦肿瘤[图2a]。因为复视没有进展,没有造成任何不便,因为病人不希望任何并发症,没有做手术。相反,她接受了定期的CT扫描评估[图2b-e]。
三年后,复视确实影响了她的日常活动,所以一位眼科医生缩短了她的左外直肌,矫正了她的复视。她的情况保持稳定,没有任何相关症状的出现,尽管肿瘤扩大。她在91岁时死于卵巢癌,40年前她开始复视。肿瘤的组织学从未被确定,但在多次扫描后,没有人怀疑脑膜瘤的诊断。

图2
患者3
1例38岁女性,因轻度眼球突出,3神经麻痹复视,左眼视力下降,于1981年入院复查[图3a]。她于1982年被诊断为蝶骨翼脑膜瘤并进行了手术。手术中,切除了一小部分肿瘤。然而,根治性切除被避免。她没有接受任何放射治疗。在随访中,除3神经麻痹外,尽管肿瘤生长缓慢,但未出现其他并发症[图3b-d]。多年来,她一直保持活跃和健康,直到2018年因卵巢癌去世,享年88岁。

图3
患者4
1994年,一名48岁男子因左VIth神经麻痹引起复视。扫描显示CSM(扫描不再可用)。在手术中,肿瘤部分切除没有进入海绵窦深,然后是常规放疗。术后复视恢复,扫描显示肿瘤残留[图4a-c]。组织学见图4d。患者可以重返工作岗位,2017年的扫描显示肿瘤没有明显增大。写这篇论文的时候,病人还活着。

图4
海绵窦脑膜瘤治疗好方法:手术辅助放疗是主要治疗策略
手术和放疗是CSM常见的两种治疗方法。特别是当涉及到肿瘤的根治性或侵袭性切除时,这些可能比其他颅内肿瘤具有较高的死亡率和发病率。放射治疗可以使一些肿瘤缩小或减缓另一些肿瘤的生长而不造成死亡;然而,这也与并发症有关,我们将在后面讨论。眼麻痹是肿瘤治疗前后的主要并发症。然而,不管原因是什么,它的发生是治疗选择的主要考虑因素。因为除了视力下降外,由此导致的面部畸形还会对患者的心理状态和社交生活产生影响。对文献的回顾支持上述观点,Klinger等人对文献的详细回顾也支持上述观点。
DeMonte等人报道41例CSM患者中有31例(76%)“完全切除”。“三名病人死亡;在剩下的38名患者中,先前存在的颅神经缺损好转了14%,保持不变的有80%,长期恶化的有6%。此外,7名患者共出现10个新的颅神经缺损。10例全切患者中,1例术后5年复发。脑缺血发生在三个病人:一个,暂时和两个,残余偏瘫。尽管如此,作者指出,“切除CSMs可以在可接受的发病率和死亡率水平下进行。”
放射治疗是CSM的另一种治疗方法。长谷川等人研究了150名CSM的病人,不包括非典型或恶性脑膜瘤,在随后111名随访神经影像学平均62个月,并发现伽玛刀放射(GKR)与无进展存活率为87%和73%,94%和92%的肿瘤控制率5和10年,分别。43例(46%)患者功能好转,40例(43%)患者功能稳定,11例(12%)患者既往症状或新发症状加重。Park等人在另一篇论文中发现,在中位随访101个月期间,肿瘤体积有61%的回归,25%的患者肿瘤体积没有变化,15%的患者肿瘤体积恶化。
手术以及放疗的并发症有哪些?
GKR的并发症肯定比手术并发症少;然而,它们确实存在。例如,Skeie等人在一项平均随访100例患者82个月的研究中发现6.0%的并发症:2例视神经病变,3例垂体功能障碍,1例复视加重,1例患者出现与辐射相关的水肿。无死亡,88.0%的患者在较后随访中能够独自生活。然而,手术的并发症通常在手术后不久出现,而有了放疗,并发症可在术后很久出现。例如,al-Mefty等人描述了一例患者在接受30年放疗后出现斜坡肿瘤的病例。Sughrue等通过meta分析分析了2065例CSM,发现立体定向放射外科(SRS)治疗的复发率为3.2%,而总切除的复发率为11.1%,次全切除的复发率为11.8%。此外,他们发现接受手术切除的患者颅神经病变明显高于接受SRS治疗的患者(59.6%),而接受SRS治疗的患者颅神经病变的发生率为25.7%。
同时,Amelot等对90例CSM患者进行了2-5年的症状治疗。患者主要表现为运动功能受损,次要表现为间断性复视。他们发现,短期服用皮质类固醇和卡马西平等简单的初始治疗,可使67.9%的主要症状患者和80%的次要症状患者“无症状”。此外,他们还发现,在这段时间内,53名患者中有44人没有出现明显的生长,42人一开始就没有症状。
情感和社会并发症也会发生:除了视力下降,眼肌麻痹的审美缺陷对患者的生活有深刻的影响,是在年轻人中。它贬低了自我形象,使全部的资格证书都很难找到工作;它会阻碍人们渴望的社交生活和人际关系。很难理解一个面部毁容程度更轻的人所经历的偏见和耻辱。这种影响源于社会对缺陷的认知以及人们对自己所受待遇的反应。
手术结合放化疗治疗的手术时机及意义讨论
CSM通常通过手术、放疗或两者兼而有之来治疗。现有的文献,其中一些报告在这里,表明这两种治疗都是合适的。但是,很难衡量每种治疗的作用程度;这主要是假设。任何治疗CSM的主要目的是防止肿瘤的生长和防止眼肌麻痹的发生。由于肿瘤多年来生长缓慢,因此很难评估放射治疗对肿瘤生长的预防程度。放射治疗的实际效果也很难测量,除非眼肌麻痹被消除或至少减轻。手术后肿瘤体积缩小及治疗效果明显,但并发症发生率较高,仍可继续生长。
此外,由于复视的发生与肿瘤的大小无关,我们不知道复视何时发生。而且,如果是这样的话,像患者2那样的肌肉缩短或者像Amelot等报道的其他非侵入性对症治疗可能会暂时有帮助,并且适合某些病人。就像患者1,一个人可能宁愿等到退休或其他事件,或者像患者1和3,一个人可能宁愿不冒任何生命危险。因此,在任何治疗之前,深入评估病人的目标、愿望和身体状况是医患关系的重要组成部分。
尽管对可能的结果有详细的描述,但很少有患者在接受手术之前就能了解由眼肌麻痹引起的身体残疾和面部畸形的影响。如果建议进行根治性手术,患者往往接受这种选择,尽管术后可能会出现眼麻痹,他们认为为了避免死亡,需进行手术。然而,即使不治疗,死亡也很少发生。或者,病人可能接受手术,希望现有的眼肌麻痹痊愈。因此,一种治疗方法带有令人敬畏的道德责任。关于失明、瘫痪和死亡的讨论并不容易听到。患者很少能把握自己将要经历的事情,并基于信任接受治疗。
然而,较后,病人需要知道为什么以及为什么某种治疗,医生需要知道病人为什么接受或拒绝某种治疗。有时,像患者1这样的人可能会因为年龄大或其他原因而毫无理由地犹豫接受手术,并遭受失明的严重后果。如果没有强迫,这样的病人需要鼓励,如果计划的手术不像病人认为的那么危险。
Klinger等人的一篇综述表明,CSM的治疗经历了演变,根治性手术不再受欢迎。也许,对于偶尔发生恶性、侵袭性或快速增长的肿瘤的病人,根治性手术是有帮助的。这里的病人太少,不能提出一个总的指导方针;然而,他们指出,当自发性眼肌麻痹发生时,它是缓慢和逐渐发生的。此外,文献回顾表明,除非肿瘤是恶性的,否则由自发生长引起的死亡很少发生。因此,CSM的治疗较好是基于眼肌麻痹的时间证据。
目前,肿瘤的生长轨迹可以通过临床随访和MRI等影像学检查来确定。当然,在这项研究中,患者表明,令人困扰的复视可能不会发生很长一段时间。因此,无论是手术治疗还是放疗治疗CSM似乎都没有紧迫性,是在无症状或症状不困扰患者,可以用非侵入性治疗治疗的情况下。一段时间的“观望”可以推迟手术和放疗的潜在并发症,直到出现手术指征。比如,在一些患者中,如在患者4中,复视会对他们的工作功能造成相当大的限制;在这种情况下,前沿行有限的手术缓解症状,然后进行放射治疗,似乎是合理的。
海绵窦脑膜瘤手术辅助技术发展
手术一般会以神经导航、术中核磁等更多的现代化高复杂设备技术来做辅助,让手术做起来更加容易,同时可以确定手术的顺利性,也可以达到更高的切除率。而且术后会根据病情辅以对症治疗,如控制高颅压、应用皮质类固醇激素和抗癫痫药物、纠正代谢异常和支持治疗等。
海绵窦脑膜瘤手术教授介绍
除了国际上各种前沿的医疗技术,好的手术医生才是较关键的。在国际上,在脑膜瘤高切除手术上,INC国际神经外科顾问团之德国巴特朗菲教授(WFNS教育委员会主席)、法国Sebastien Froelich教授(WFNS颅底手术委员会主席)、美国William T.Couldwell教授(国际神经外科学院院长)是做的好的,在国际神经外科也。他们均在神经外科从医几十年,有着丰富的经验,而且都是从国际一流的医学院博士毕业,其所在的医院也是国际前沿的医院。
国际一流的设备技术加上国际神经外科手术教授,即使是5cm的脑膜瘤,仍然是会得到患者理想的结果的。INC国际神经外科医生集团作为专注于神经外科领域的专家学术交流的医生集团,旗下国际神经外科顾问团拥有10多位像德国巴特朗菲教授、法国Sebastien Froelich教授、美国William T.Couldwell教授这样的国际神经外科不同细分领域的国际专家,除致力于国内外神经外科学术、技术交流之外,也将为国内脑膜瘤、胶质瘤、听神经瘤、脑海绵状血管瘤等患者进行远程咨询,提供关于其病情的国际前沿咨询策略与手术方案,且帮助患者安排到相关教授所在的国外医院接受前沿治疗,即便是在当前疫情期间,国内患者也可足不出户,较快48小时内获得INC国际教授的咨询意见。
INC国际神经外科医生集团提醒:不管是自发性的还是由CSM治疗引起的眼麻痹,都是一种严重的并发症。面部畸形会对患者的自我形象、社会地位、就业能力和人际关系产生不利影响。CSM的治疗很少是紧急的。对于大多数病人,较好是等到有证据表明需要手术或放疗,或两者兼而有之。轻微的症状,如侧凝视的轻度复视,可以用矫正眼镜或缩短眼睛的侧直肌来治疗。手术,特别是根治性或侵袭性手术,死亡率和发病率都很高。放射治疗可以减缓和缩小一些肿瘤,但是在很长一段时间内会有一些并发症。因此,在大多数病人中,手术和放疗都不需要作为治疗的开始。一段时间的“观望”可能是前沿的,直到根据证据,操作,辐射,或两者都需要。
- 文章标题:海绵窦脑膜瘤治疗好方法
- 更新时间:2020-05-13 11:10:46
400-029-0925




