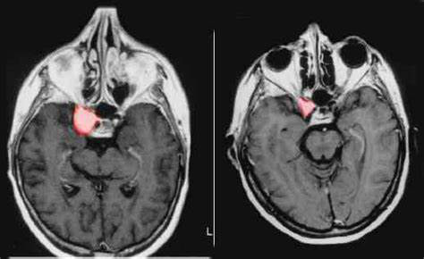
海绵窦脑膜瘤——良性但具有威胁性的肿瘤——位于难以进入的位置。它们位于大脑底部的头骨上方,被至少五条脑神经和颈内动脉包围。在不损害对功能至关重要的显微解剖结构的情况下治疗这些肿瘤是神经外科医生面临的较大挑战之一。

海绵窦脑膜瘤的治疗选择并不总是明确的。到底该不该做手术?我们应该用精确定位的辐射束来治疗肿瘤吗?或者我们应该简单地监测肿瘤并保守治疗?
在20世纪80年代,借助新的显微外科技术和更高的解剖学理解,外科医生地接近海绵窦,目标是切除整个肿瘤。然而,该行业放弃了这一策略,因为它导致了不可接受的结果,包括对神经和血管的损伤。外科医生也看到肿瘤复发,部分原因是肿瘤细胞已经渗透到脑神经和一条重要的血管(海绵状颈动脉)中。
由于意识到手术切除整个肿瘤而不造成附带损害是不可行的,脑瘤专家通过用精确靶向立体定向放射外科手术治疗这些肿瘤来作出反应。这种策略对位于海绵窦内的较小肿瘤很合适,但当应用于边界超出海绵窦并导致视神经受压的大肿瘤时,这种治疗可能会引起并发症。
处理大型海绵窦脑膜瘤的较佳方法包括手术和放射外科手术。首先,进行海绵窦减压手术。打开这个解剖区域,在这个“顺利”的区域移除(去除)全部的肿瘤组织。这释放了脑神经,使其功能得以恢复。它还允许对海绵窦内的肿瘤进行更顺利的放射治疗。
海绵窦脑膜瘤研究表明:手术仍是一线方案
较近的一项回顾性研究,在犹他大学对50名患者进行了为期15年(2002-2017年)的双重方案治疗。这是同类研究中较大的一项,发表在美国在线上神经外科杂志。强调顺利的肿瘤切除和海绵窦顶和侧壁以及视神经的直接减压。一半的患者还接受了剩余肿瘤的放射治疗。我们的研究得出结论,这种治疗方法是“一种合适的肿瘤学策略”,实现了“出色的肿瘤控制率和较低的神经系统发病率风险”。
在一项研究中,50名患者中有90%实现了肿瘤控制。只有5名患者的肿瘤复发,平均复发时间为4.6年。在手术前出现颅神经缺损的患者显示出一些症状的好转,尽管不是全部。少数患者(20%)出现了新的神经病,其中三分之一得到了解决。较终,论文指出“长期性新颅神经病影响了5名患者(10%)。一些外科并发症,包括轻微中风,提醒人们颅底复杂的神经外科手术总是会带来风险。
医生和患者需要知道,对于复杂的海绵窦脑膜瘤,单纯的放射外科治疗并不总是较佳的治疗方案。研究表明,对于特定的患者亚群——那些具有延伸到海绵窦外并导致视神经压迫的大肿瘤成分的患者——手术是可行和有益的。这些患者较终通过手术和放疗比单纯放疗做得更好。
同时,局限于海绵窦的小的、缓慢进行的肿瘤患者可以单独用放射疗法合适地治疗,而肿瘤通常无症状的患者只是被观察。
目前国际上擅长海绵窦病变手术的教授有Helmut Bertalanffy教授、James T. Rutka教授、Sebastien Froelich教授等。INC旗下国际神经外科顾问团是由国际各发达国家神经外科宗师联合组成的教授集团,其成员教授大多为国际神经外科各的奠基者、开拓者,德国巴特朗菲教授即为INC顾问团成员教授之一。国内疑难神经外科病患(包括脑瘤、脑血管病变、癫痫等)患者若想寻求更高质量、更佳预后的手术技术,可请国际上神经外科教授评估手术方案。
- 文章标题:在大脑危险区域手术:合适、顺利地治疗海绵窦脑膜瘤
- 更新时间:2021-03-24 16:50:22
400-029-0925




