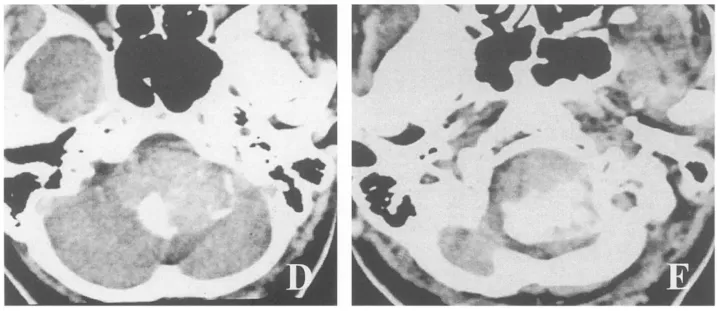
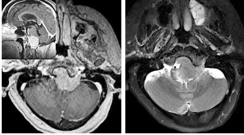
75岁的汉娜是个开朗的阿姨,随着年纪的增加她发现身体开始有些虚弱,起初汉娜以为自己只是老了,就没多想。然而随着时间的流逝,汉娜的走路也变得不稳,行走愈发不便,脖子也疼痛得很。后知后觉的汉娜来到了医院寻求帮助。检查结果显示,汉娜哪是正常衰老的原因,而是脑子里藏着一个巨大的肿瘤!枕骨大孔区脑膜瘤,已经将延髓压得快要看不见的肿瘤还包绕左侧椎动脉。
术前MRI

术前CT

大多数都知道脑膜瘤良性居多,生长缓慢,当这个年纪赶上脑膜瘤,还有手术必要吗?
“先进行放疗,年纪大了,手术风险也大!”
“肿瘤这么大,放疗没用的,还是要手术,虽然有风险…”
……
对于这个脑膜瘤,医生意见不统一。
汉娜也面临两难抉择:
1、不做手术,期待脑膜瘤不会快速生长,然而目前肿瘤的情况并不乐观,继续生长可能症状会越发严重。

2、做手术,因年龄较大,很难保证手术期间不会发生突发的情况。
这个手术的风险有两点:
一是手术本身的风险包括麻醉、开颅手术、肿瘤这么大。而且是年龄已经75岁,这个年龄各个脏器,全身的状况以及抵抗力是比较差的。
二是枕骨大孔区脑膜瘤开颅手术风险极高,这主要源于该部位毗邻生命中枢脑干、重要神经血管及延髓,手术操作空间极为狭小,易导致呼吸心跳骤停、后组颅神经损伤(引发吞咽困难、声音嘶哑)、肢体瘫痪等严重并发症。
左思右想,
做了很多思想斗争,
汉娜最后决定做手术。
巴教授枕骨大孔区脑膜瘤研究分享:肿瘤暴露的基本原理图示

这台手术中,巴教授先行C1左侧半椎板切除术,清除动脉周围软组织,清晰显露椎动脉;全切脑膜瘤后,可见受挤压移位的延髓、双侧椎动脉、左侧小脑后下动脉(PICA)近端及椎动脉汇合部;脑干表面及软膜血管丛保持完整。术后未新增神经功能障碍。

巴教授论文中对该则案例手术操作分享
该则案例来源:

枕骨大孔脑膜瘤为何易误诊、落诊?
枕骨大孔区脑膜瘤患者初始症状不明显,患者多出现颈枕部的疼痛,颈部活动或者咳嗽等用力动作时均可诱发或加重症状,临床上常与颈椎病等相混淆。而且其症状表现多样,且大多数患者当肿瘤体积发展较大时才出现较重的临床表现,故早期常被误诊或漏诊。
影像学特征
单靠依靠枕骨大孔区脑膜瘤的临床表现作出诊断是不够的,而且由于其早期临床表现并不典型,需要依靠影像学来进行疾病的诊断和定位,临床中较常使用CT、MRI、DSA等技术。
MR是目前确诊枕骨大孔区脑膜瘤重要的手段,T1加权多呈等信号或略低信号,T2加权为等信号或高信号,部分可见囊变坏死、出血,肿瘤边界大多较清晰,通过静脉给予钆造影剂增强扫描后肿瘤显著均匀强化,大部分可出现典型的“脑膜尾”征。
同时MRI矢状位和冠状位的影像学图像可直接显示延髓、颈髓的受压情况,肿瘤侵犯脑干的软脑膜时,T2加权像出现脑干区域的高信号改变,FLAIR像更加明显,这往往提示脑干水肿的表现,往往肿瘤压迫脑干导致脑干水肿影响肿瘤切除程度及术后并发症。增强结果可提示肿瘤的血供丰富情况,同时在轴位及冠状位上也有助于判断肿瘤与同侧椎动脉及周边硬脑膜之间的关系。MRI也是将枕骨大孔区肿瘤与颈椎病、寰枕畸形等进行鉴别的重要手段。

图:典型的枕骨大孔腹侧的脑膜瘤,伴有沿斜坡走行的鼠尾征(上图),肿瘤常侵及颈静脉孔使手术更加困难,远外侧入路切除肿瘤。

图:枕骨大孔脑膜瘤并脑干水肿提示软脑膜被侵及,提示采用次全切除来保护神经功能。
CT的骨质结构显示较MRI清晰,部分肿瘤对骨性结构具有侵袭性和破坏性。CT的三维显像技术的发展使得颅颈交界区的骨质结构及血管三维结构重建成为现实,能够立体直观的提供患者枕骨大孔、寰椎、枢椎等颅底骨质结构及肿瘤与重要血管之间的关系,呈现肿瘤周围重要血管、神经、骨质结构的立体空间关系,可见肿瘤明显强化呈典型的“瘤染色”特征,有助于指导手术入路的选择、骨质的移除及术中暴露肿瘤并保护重要血管神经。
DSA属于有创的检查,但是进行血管检查的金标准,能够显示出重要脑血管与肿瘤的位置关系,包括肿瘤的供血动脉及引流静脉,造影检查发现枕骨大孔区脑膜瘤的血供往往由椎动脉、咽升动脉、枕动脉提供,在造影过程中,部分肿瘤可出现“肿瘤染色”表现,造影中找到主要供血动脉,若介入导管可以进入责任血管,术前可以行血管内栓塞,从而减少术中出血。
这个位置的脑膜瘤需要谨慎再谨慎
别看脑膜瘤大多数是“良性”,长得也慢,但它要是长在“交通要塞”枕骨大孔区,就得打起十二分精神了。这个位置实在太关键,所以一旦确诊,通常都会建议主动出击,不能掉以轻心。
对付它,咱们要争取打好“闪电战”,也就是早发现、早诊断、早治疗。目前,显微外科手术是主攻手,医生会像排雷专家一样,在错综复杂的神经和血管中间,小心翼翼地争取把肿瘤一次性拿干净,同时尽全力保护好重要的组织。
万一肿瘤不听话又长回来了(复发),医生们可能会有不同看法:有的“主动派”认为应该趁它立足未稳,再次手术清扫,效果通常也不错;也有的“观察派”觉得,反正它长得慢,只要没出现新症状,咱们就定期复查盯着它,等它有动静了再说。
至于放疗或者伽马刀这类方法,算是“辅助角色”,主要是帮那些手术没切干净、又复发了、或者身体条件实在扛不住大手术的患者来控制局面。
- 文章标题:不同医生不同治疗方案,75岁查出巨大枕骨大孔区脑膜瘤怎么办?
- 更新时间:2025-09-30 16:00:36
400-029-0925



