脑膜瘤钙化是什么意思?
脑膜瘤,当检查报告上写着脑膜瘤钙化时,很多患者一头雾水,这究竟是什么意思?部分患者认为只要出现钙化,脑膜瘤就不长了,就不需要手术了,事实真的是这样吗?
脑膜瘤钙化是较为常见的一种现象,一般是由于肿瘤缺血坏死或者钙盐沉积引起的,一旦发生钙化,肿瘤质地就会变得很坚硬,正如本例患者的肿瘤在CT和磁共振上都能看到“石头”样的信号。

脑膜瘤,散在小结节样钙化
而且,如果出现钙化的话,一般说明脑膜瘤已经存在很长时间了,一般情况下,存在的时间越长,钙化的几率也就越高。同时,钙化严重的脑膜瘤坚硬,手术难度也会增加。
脑膜瘤钙化可以作为手术决策依据吗?
脑膜瘤仍是最常见的原发性颅内肿瘤,占中枢神经系统非恶性肿瘤的54.3%。文献报道25%–50%的颅内脑膜瘤存在钙化。尽管发病率高,钙化脑膜瘤的发病机制仍不明确。现有学说包括:碱性磷酸酶活性增高、骨桥蛋白等糖蛋白分泌、肿瘤内pH变化、以及坏死增多和血管化促进离子运输。
《Calcified Meningiomas Demonstrate Equivocal Grade,Proliferation,and Immediate Surgical Outcomes钙化性脑膜瘤显示不确定等级、增殖和立即手术结果》论文中指出,脑膜瘤是最常出现钙化的颅内病变之一,然而钙化与其他肿瘤属性或手术结局之间的临床意义仍不明确。结果表明,在具有症状或生长速率显著的手术切除病例中,钙化未能显著预测任何临床或结局变量,包括2021年WHO分级、Simpson切除分级及术后复发。单独来看,肿瘤钙化不能预测肿瘤行为状态,因此,在使用钙化状态来指导临床或手术决策时应谨慎。
多项研究亦探讨了脑膜瘤钙化与疾病进展、复发等临床结局的关系。2022年一项基于2007年WHOⅡ级脑膜瘤的研究发现,无钙化者无复发生存期较短,但仅当把钙化与异质性增强、瘤周水肿等其他影像特征联合分析时,风险比才具统计学意义。Oya等不仅报道无钙化脑膜瘤进展时间显著缩短,还通过体积测量证实其年均增长幅度并未显著大于钙化者。生长动力学与钙化并无显著关联。
得出结论:脑膜瘤钙化与患者人口学特征、切除程度以及肿瘤体积、复发等其他肿瘤属性均无显著相关性。单纯依据钙化状态无法预测肿瘤行为,因此,在临床或外科决策中以是否钙化作为依据时应持谨慎态度。
其实在脑膜瘤的治疗决策中,钙化一直以来都没有作为单一依据。脑膜瘤的治疗需要权衡根治肿瘤与避免治疗相关神经系统损伤。在决定脑膜瘤的最佳治疗方案时,患者特异性因素(有无症状、年龄和合并症),以及脑膜瘤相对于关键脑部结构和区域的位置都是重要因素。大多数有症状或扩大的脑膜瘤的首要治疗方法是手术。
一例伴钙化且不断生长的脑膜瘤为何如此危险?
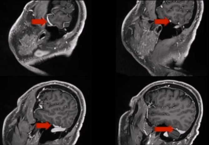
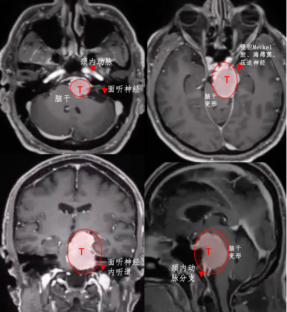
一例岩斜区脑膜瘤,患者出现左侧脸部剧痛、吞咽困难等严重症状。2014年,刚查出时,考虑到这是个良性肿瘤,且手术治疗有风险,选择了保守观察。然而,6年时间,肿瘤持续增长,压迫脑干,症状不断恶化。

CT检查发现肿瘤出现钙化,意味着肿瘤质地硬,切除困难,在切除时容易损伤周围血管和神经。

福教授采用开颅手术,在切除肿瘤过程中,使用CUSA刀对肿瘤逐渐减瘤。术后MRI显示肿瘤几乎完全切除,脑干受压解除。


尽管脑膜瘤大多为良性,但若未能及时诊断与干预,仍可能因压迫关键脑组织而导致严重的功能障碍。因此,准确评估其生长特性并选择恰当的治疗方案,是改善预后、提升生活质量的关键。
治疗决策不应仅凭“是否钙化”单一指标,而需综合考量肿瘤大小、位置、症状及生长速度。对于已引起症状或持续增大的脑膜瘤,手术切除是一线方案。在保障神经功能安全的前提下,力争肿瘤全切是理想的治疗目标。若无法实现全切,或针对术后残留、复发的情况,放射治疗(如伽马刀)是重要的辅助或替代手段。
确诊脑膜瘤不必过度恐慌。患者可阅读国内外治疗指南,积极寻求规范化诊疗。成功的手术全切往往能取得事半功倍的长期效果。
- 文章标题:脑膜瘤钙化后肿瘤就不长了?研究显示:它无法单独预测肿瘤的未来行为
- 更新时间:2025-09-25 10:52:44
400-029-0925




