巨大枕骨大孔区脑膜瘤案例分享
脖子,堪称人体的“生命要塞”。
一旦被卡住了脖子,就被扼住了生命的咽喉,就像格斗高手遭遇致命锁喉,胜负就在唿吸之间!
而在大脑与嵴髓交接之处,就有这样一个关键区域——枕骨大孔区。
它得名于颅底后方的骨性通道:枕骨大孔。延髓(脑干的最下部)在此处与嵴髓相延续,因此这个区域是神经中枢上下传导的“咽喉要道”,包含了生命中枢(延髓)、重要的颅神经(后组颅神经)、血管(如椎动脉)以及嵴髓的上端,是人体极其要害、复杂的解剖区域之一。手术需整合多种专科技术:既需颅底、脑干、嵴髓、血管及肿瘤外科的丰富经验,又须对该区域解剖具备深刻理解。

值得注意的是,为了更好的手术,术前检查的影像必须展示以下信息:病灶硬膜附着的确切部位与范围;肿瘤整体大小及侵袭范围;脑干与颈髓的移位方向及程度;椎动脉管径及其被包绕情况;肿瘤血供来源及丰富程度;枕骨大孔及邻近骨性结构的具体形态;是否存在解剖变异;脑干信号改变。
巨大枕骨大孔区脑膜瘤,压扁脑干、包绕椎动脉
59岁男性卡尔,罹患枕骨大孔区脑膜瘤。
这个肿瘤生长的位置极为凶险——它正位于颅底与嵴髓衔接的“生命要塞”之中。
肿瘤像一个充满气的气球一样卡在这个狭窄而关键的通道里。因为肿瘤巨大,已经把脑干-延髓挤压到一侧,凹陷成一个坑,而脑干是人体的生命中枢,管控心跳、唿吸等功能,一旦严重损伤,可能危及生命。
怎么办?肿瘤可以一次切干净吗?
外科手术,开弓没有回头箭。唯有每一个步骤万无一失,患者才能稳步康复!一钳一剪的偏差,都可能带来无法挽回的遗憾。
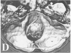
(A–C)术前MRI

术前:了解病变的前后、左右的比邻关系,了解病变的特性
为了更加详细的弄清肿瘤与周围神经血管的关系,除了术前MRI,还进行了术前三维增强CT以及血管造影。
三维增强CT示肿瘤以宽基底附着于枕骨大孔前缘中线两侧,占据大孔腔隙超过2/3;右侧椎动脉被肿瘤包绕(D)。由于椎动脉系统是供应大脑血液的两套主要系统之一,若椎动脉在手术中受损,可能会导致严重的并发症,从而影响患者的预后和术后的生活质量。

血管造影显示肿瘤主要由咽升动脉分支供血(E)。咽升动脉是滋养软腭、咽鼓管、口鼻咽及部分椎旁骨骼肌的重要血管,同时在后组颅神经、鼓室、部分后颅窝硬膜也有其分布,手术中对血管的处理和保护极其重要

这个位置的脑膜瘤会对延髓、上颈髓及下组颅神经与上颈神经根的进行压迫,导致移位;更棘手的是,椎动脉也常常被肿瘤包裹、推移,就像一棵大树的根被巨石紧紧缠住。
因此,手术过程就像在悬崖边上行走,必须极度精细和谨慎。

术者不能采用“生拉硬拽”的方式进行暴力拆卸,而是把肿瘤想象成一个“充满气的气球”,切除的策略是像“温和放气”一样,从内部开始精细地分块切除,避免对脑干和嵴髓造成任何牵拉或挤压。
手术的首要目标,是在安全解除压迫的同时,避免造成新的神经损伤。在这个前提下,能否“完全切净”需要冷静权衡,有时为了保护重要的神经和血管,可能会有意识地残留少许肿瘤。
此外,手术还力求实现多个重要目标:维护关节稳定、完好保留椎动脉及其分支、最大限度地保护周围肌肉组织,并严防大出血或空气栓塞等风险。
整个过程中,椎动脉不仅是必须严加保护的“生命线”,更是医生在复杂解剖结构中的“导航路标”。通常手术一开始就会先小心地将它显露出来,全程严密监护,确保万无一失。
术后三维CT示经小型背外侧颅骨切除并磨除枕骨大孔外侧缘后,肿瘤已全切;右侧椎动脉及寰椎后弓得以保留;箭头示椎动脉水平段后袢。(F)
术后恢复平稳,无并发症。

案例来源:

- 文章标题:当巨大脑瘤扼住我命运的咽喉,而手术却只能用“温柔刀”?
- 更新时间:2025-09-21 13:42:37
400-029-0925




