INC神经外科-国内中文
胶质瘤
联系INC
寻求咨询意见
出国看病咨询电话400-029-0925

严重吗

INC——国内外神经外科学术交流平台

INC > > 严重吗

相关文章

  • 颅前窝脑膜瘤胡言乱语?哪些症状表示病情严重了?

    颅前窝脑膜瘤胡言乱语?哪些症状表示病情严重了?

    2024-07-16 16:23:25

    颅前窝脑膜瘤胡言乱语?哪些症状表示病情严重了?颅前窝脑膜瘤是一种发生在颅前窝部位的脑膜瘤。然而,尽管脑膜瘤本身为良性,但其对脑部结构和功能...

  • 颅前窝底脑膜瘤严重吗?手术成功率高吗?

    颅前窝底脑膜瘤严重吗?手术成功率高吗?

    2024-06-28 17:30:55

    颅前窝底脑膜瘤严重吗?手术成功率高吗?颅前窝底脑膜瘤是一种位于颅骨前部的脑膜瘤,其位置不同且周围环境复杂,因此可能对患者的健康构成威胁。颅...

  • 颅前窝底脑膜瘤严重吗?主要治疗手段?

    颅前窝底脑膜瘤严重吗?主要治疗手段?

    2024-06-28 17:25:31

    颅前窝底脑膜瘤严重吗?主要治疗手段?颅前窝底脑膜瘤是一种发生在颅前窝底部的肿瘤,其严重性主要取决于肿瘤的性质、大小、生长速度以及是否得到及...

  • 脑膜瘤颅前窝底占位严重吗?手术风险大吗?

    脑膜瘤颅前窝底占位严重吗?手术风险大吗?

    2024-06-28 17:15:12

    脑膜瘤颅前窝底占位严重吗?手术风险大吗?脑膜瘤是一种源自脑膜的肿瘤,脑膜是覆盖在大脑和脊髓外部的一层保护膜。这些肿瘤通常为良性,但在某些情...

  • 颅前窝底脑膜瘤6厘米严重吗?要手术吗?

    颅前窝底脑膜瘤6厘米严重吗?要手术吗?

    2024-06-27 15:36:40

    颅前窝底脑膜瘤6厘米严重吗?要手术吗?颅前窝底脑膜瘤是一种位于颅骨前方、靠近眼睛和鼻窦区域的脑膜瘤,由于其位置不同,处理起来具有相当的复杂性...

  • 脑膜瘤3cm-4cm严重吗?脑膜瘤不开刀能活多久?

    脑膜瘤3cm-4cm严重吗?脑膜瘤不开刀能活多久?

    2021-03-24 15:45:20

    脑膜瘤3cm-4cm严重吗?脑膜瘤不开刀能活多久? 脑膜瘤(Meningiomas)是一种长在脑膜及脑膜间隙的的肿瘤,在颅内常见,80%以上脑膜瘤都是良性的肿瘤。典型的脑...

  • 脑膜瘤3Cm严重吗?脑膜瘤手术后多久恢复?

    脑膜瘤3Cm严重吗?脑膜瘤手术后多久恢复?

    2021-03-24 17:04:08

    脑膜瘤3Cm严重吗? 脑膜瘤手术 后多久恢复? 脑膜瘤(Meningiomas)是一种常见的颅内肿瘤,在颅内肿瘤中占二位,是起源于脑膜及脑膜间隙的衍生物。大多数脑...

  • 脑膜瘤是什么病严重吗能活多久?良性脑膜瘤5cm能活多久?

    脑膜瘤是什么病严重吗能活多久?良性脑膜瘤5cm能活多久?

    2022-09-06 17:48:32

    良性脑膜瘤5cm能活多久? 良性脑膜瘤5cm能活十几年或几十年,一般不会影响生命。 良性脑膜瘤是颅内良性病变,一般生长缓慢,恶变率相对较低,不易转...

  • 严重失眠要警惕脑膜瘤,脑膜瘤的早期症状有哪些?

    严重失眠要警惕脑膜瘤,脑膜瘤的早期症状有哪些?

    2021-03-24 16:03:47

    近日,53岁的李女士严重失眠,每晚只能睡两三个小时,无奈就医,医院检查后确认他患有脑膜瘤。本以为的失眠症竟是脑膜瘤! 失眠很常见,脑膜瘤引起...

  • 脑膜瘤严重吗?良性脑膜瘤能活多久?

    脑膜瘤严重吗?良性脑膜瘤能活多久?

    2021-03-24 13:35:54

    脑膜瘤严重吗?虽然其多呈良性,但如不加以治疗,脑膜瘤会给脑部施加压力,并导致并发症。良性脑膜瘤能活多久?这取决于患者的具体治疗情况...

  • 老年人脑膜瘤严重吗?脑膜瘤不做手术可以吗?

    老年人脑膜瘤严重吗?脑膜瘤不做手术可以吗?

    2021-03-24 13:37:34

    脑膜瘤(Meningiomas)作为发病率为颅内肿瘤二位的脑肿瘤,常见,特别是由于人随着年老,机体的免疫功能减弱,在老年人群中,脑膜瘤患病的特别多。脑膜瘤...

  • 脑膜瘤严重吗?一文解读脑膜瘤前沿治疗进展

    脑膜瘤严重吗?一文解读脑膜瘤前沿治疗进展

    2019-12-27 12:22:46

    近些年来中枢神经系统肿瘤发病率不断升高,而脑膜瘤是中枢神经系统常见的原发性肿瘤,占颅内肿瘤的13%-26%。脑膜瘤高发于女性,主要集中在中老年群体...

  • 长期头晕头痛竟是较大脑膜瘤,脑膜瘤严重吗?

    长期头晕头痛竟是较大脑膜瘤,脑膜瘤严重吗?

    2021-03-24 13:45:25

    40多岁的王女士(化名),两年前开始出现间断性头晕症状。由于这种头晕的感觉仅仅维持3-5分钟便能自行缓解,她以为可能是到了更年期,就没有引起足够重...

  • 脑膜瘤严重吗?即使是良性脑膜瘤,治疗仍有难点

    脑膜瘤严重吗?即使是良性脑膜瘤,治疗仍有难点

    2021-03-24 13:44:50

    脑膜瘤 是一种常见的脑瘤,它在脑膜(覆盖和保护大脑和脊髓的区域)中缓慢发展。大多数脑膜瘤是良性的,在大小和位置上差异很大。脑膜瘤严重吗?几乎...

  • 后颅窝脑膜瘤严重吗?

    后颅窝脑膜瘤严重吗?

    2021-07-20 15:01:24

    脑膜瘤严重吗?不足9%的颅内脑膜瘤位于后颅窝。Olivercrona等报道了4185例脑肿瘤,颅内脑膜瘤为803例,有68例位于后颅窝(包括20例小脑幕脑膜瘤)。由于后颜窝的...

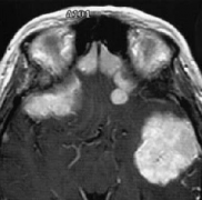
  • 视神经鞘脑膜瘤是很严重的病吗,切除手术有什么后果?

    视神经鞘脑膜瘤是很严重的病吗,切除手术有什么后果?

    2021-03-24 16:50:32

    视神经鞘脑膜瘤是很严重的病吗,切除手术有什么后果?在这篇文章中,我们描述了内镜经鼻入路切除视神经脑膜瘤的经验,并讨论了这种新方法的手术指...

  • 脑膜瘤严重吗?脑膜瘤不做手术可以吗?

    脑膜瘤严重吗?脑膜瘤不做手术可以吗?

    2021-07-20 15:23:46

    脑膜瘤是从覆盖大脑和脊髓的膜(“脑膜”)发展而来的脑瘤。大多数脑膜瘤是良性的。脑膜瘤严重吗?脑膜瘤不做手术可以吗...

  • 蝶骨嵴脑膜瘤严重吗?内镜下经蝶窦入路切除蝶骨嵴脑膜瘤案例一则

    蝶骨嵴脑膜瘤严重吗?内镜下经蝶窦入路切除蝶骨嵴脑膜瘤案例一则

    2021-03-24 11:49:09

    蝶骨嵴脑膜瘤严重吗?下文报告了一例患者,其中蝶窦蝶骨嵴脑膜瘤是通过分期手术切除的,包括颅内部分的开颅手术和蝶窦颅外部分经蝶和经蝶入路的内...

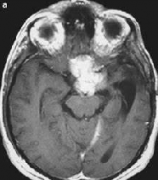
  • 鞍旁脑膜瘤严重吗?主要包括哪些类型?

    鞍旁脑膜瘤严重吗?主要包括哪些类型?

    2022-01-26 16:39:32

    鞍旁空间特别独特,包括颈内动脉、视神经、动眼神经和三叉神经等较为重要的神经血管结构。脑膜瘤是较常见的肿瘤之一,起源于鞍旁空间。在这个位置...

  • 脑膜瘤压迫视神经严重吗?

    脑膜瘤压迫视神经严重吗?

    2020-11-23 17:23:09

    突然发作的头痛和视力模糊,眼底正常,无法检测到的模式VEPs,以及对类固醇治疗的良好反应,都可能导致眼科医生误诊为视神经炎。视神经管受累在TS脑...

  • 脑膜瘤严重吗?脑膜瘤的临床病理学

    脑膜瘤严重吗?脑膜瘤的临床病理学

    2021-03-24 11:38:50

    脑膜瘤严重吗?灭活PTCH1位于染色体9q223-q31上的基因是戈林综合征的标志。美国国立卫生研究院的一项自然史研究推测,受戈林综合征影响的患者有5%的发生...

  • 脑膜瘤严重吗?详解脑膜瘤分级、生存率

    脑膜瘤严重吗?详解脑膜瘤分级、生存率

    2021-03-24 13:38:44

    脑膜瘤是怎么形成的?如何分级的?能活多久?INC带你了解...

  • 脑部脑膜瘤严重吗?脑膜瘤手术成功率

    脑部脑膜瘤严重吗?脑膜瘤手术成功率

    2019-09-16 17:32:10

    肿瘤自发现以来,其每年死亡人数一直在不断增加,根据《Lancet》杂志公布的2016疾病负担研究(Global Burden of Disease Study 2016,GBD)显示,每年因恶性肿瘤死亡...

  • 脊柱脑膜瘤钙化严重吗?

    脊柱脑膜瘤钙化严重吗?

    2020-10-12 11:34:06

    位于硬膜内的脊柱肿瘤发病率为每年每10万人3 ~ 10例,其中硬膜内髓外肿瘤占椎管内肿瘤的2/3,其中脊髓脑膜瘤占脊髓肿瘤的25-46%。它们由与神经嵴细胞不...

  • 脑膜瘤严重吗?脑膜瘤应该如何治疗?

    脑膜瘤严重吗?脑膜瘤应该如何治疗?

    2021-03-24 11:58:17

    脑膜瘤严重吗?脑膜瘤起源于蛛网膜细胞,它们是覆盖大脑和脊髓的薄蜘蛛网状膜内的细胞,是常见的颅脑肿瘤...

  • 脑膜瘤严重吗?脑膜瘤科普知识解读

    脑膜瘤严重吗?脑膜瘤科普知识解读

    2021-03-24 13:39:27

    脑部疾病可以被认为是较严重的人类疾病之一。脑膜瘤通常需要很长时间才能到达致命点,是当它仍然没有被注意到的时候,但是立即治疗可以阻止它的生...

  • 3cm-4cm多发性脑膜瘤严重吗?

    3cm-4cm多发性脑膜瘤严重吗?

    2022-03-04 18:44:11

    脑膜瘤一般生长缓慢,病程长,像3-4cm的脑膜瘤基本都是10年以上了。一般来说3cm就很严重了,3cm的脑膜瘤一般已经严重压迫到脑组织了,根据其不同部位,...

  • 脑膜瘤严重吗?脑膜瘤是一种严重的疾病吗?

    脑膜瘤严重吗?脑膜瘤是一种严重的疾病吗?

    2022-03-23 11:00:19

    脑膜瘤是一种严重的疾病吗? 脑膜瘤不能简单地判断它是否是一种严重的疾病,因为脑膜瘤的生长部位不同,其严重性也不同。如果肿瘤生长在表面,不会...

  • 嗅沟脑膜瘤严重吗?

    嗅沟脑膜瘤严重吗?

    2021-03-24 11:56:36

    脑膜瘤是脑膜肿瘤的名称,脑膜是覆盖颅骨并包围大脑的膜。脑膜瘤可发生在脑膜存在的任何部位(如鼻腔、鼻窦、中耳、纵隔),通常被认为生长缓慢且良...

  • 多发脑膜瘤性脑膜瘤严重吗?如何治疗?

    多发脑膜瘤性脑膜瘤严重吗?如何治疗?

    2021-03-24 13:42:44

    多发性 脑膜瘤 是指在同一病人的不同颅内位置同时发现的两个或两个以上的脑膜瘤。库欣和艾森哈特较初报道的脑膜瘤发病率为1%至2%,但在临床应用计算...

  • 小脑脑膜瘤严重吗?出国治疗脑膜瘤哪个医院好?

    小脑脑膜瘤严重吗?出国治疗脑膜瘤哪个医院好?

    2023-06-04 16:30:44

    小脑脑膜瘤严重吗? 出国治疗脑膜瘤哪个医院好?2018年的哈尔滨市新阳路小学五年二班的班主任(邰慧老师)被诊断为脑膜瘤,在治疗时需要剃掉头发,随后...

  • 海绵窦脑膜瘤严重吗?治疗的适应症和目标

    海绵窦脑膜瘤严重吗?治疗的适应症和目标

    2022-02-24 14:50:08

    海绵窦脑膜瘤(CSM)是较常见的原发海绵窦病变。位于海绵窦(CS)的肿瘤占全部颅内肿瘤的1%,其中41%为csm。这些病变较常见于3/4岁的妇女。csm通常累及蝶眶...

  • 老年人脑膜瘤严重吗?

    老年人脑膜瘤严重吗?

    2021-03-24 11:50:30

    在老年患者组中,高级别脑膜瘤患者的PFI较低(HR2474,95%CI423-14466;相反,不应低估老年人采取观望策略的风险,因为患者的医疗状况在诊断后不太可能得...

  • 大脑镰旁脑膜瘤严重么?大型镰状脑膜瘤的内镜辅助手术

    大脑镰旁脑膜瘤严重么?大型镰状脑膜瘤的内镜辅助手术

    2021-03-24 16:35:03

    大脑镰旁脑膜瘤 起源于大脑镰,约占全部颅内脑膜瘤的5-9%。库欣从外科手术的角度将大脑镰旁脑膜瘤与矢状窦旁脑膜瘤区分开来,报道大脑镰旁脑膜瘤常...

  • 脑膜瘤12mm严重吗?需要手术吗

    脑膜瘤12mm严重吗?需要手术吗

    2022-06-20 10:54:09

    脑膜瘤12mm需要手术吗? 左额脑膜瘤12mm需要手术,一般是脑膜瘤大于10mm需要手术的治疗方案。术后还应进行病理活检。如果是良性脑膜瘤,术后可以达到治...

  • 脑膜瘤危害大不大?

    脑膜瘤危害大不大?

    2022-03-09 15:49:30

    脑膜瘤的发病率大多是成人,分为良性和恶性两种。脑膜是一种重要的组织结构。如果我们在生活中多加注意和预防,就可以避免脑膜瘤的发作。脑膜瘤的...

  • 脑膜瘤有哪些危害呢?

    脑膜瘤有哪些危害呢?

    2020-06-12 15:23:13

    脑膜瘤是较常见的原发性颅内肿瘤。脑膜瘤根据其硬膜附着和组织学分级进行分类,世卫组织在2007年修改了2000年的组织学分类,因此,较具侵袭性亚型的...

  • 脑膜瘤的危害有多大?四个危害有可能危及生命

    脑膜瘤的危害有多大?四个危害有可能危及生命

    2022-03-11 15:50:12

    脑膜瘤是颅内常见的良性肿瘤。一般来说,由于脑膜瘤的特点,如果相对较小,就不会有任何症状,因为它是大脑以外的肿瘤。但当肿瘤大于1cm时,需要密...

  • 枕骨大孔区脑膜瘤严重吗?

    枕骨大孔区脑膜瘤严重吗?

    2021-03-24 13:39:56

    位于颅底深部的脑膜瘤治疗难点在于难以切除干净,较易复发,其中尤以颅底、枕骨大孔区、海绵窦区、岩斜、桥小脑角等疑难位置脑膜瘤完整切除较为困...

  • 如何治疗脑膜瘤who1级?脑膜瘤who2级严重吗?

    如何治疗脑膜瘤who1级?脑膜瘤who2级严重吗?

    2022-03-30 14:12:24

    如何治疗脑膜瘤who1级? 脑膜瘤是临床上常见的颅内肿瘤。大多数脑膜瘤都是良性肿瘤。根据世卫组织的分类,其中大部分属于一级。治疗优选手术,脑膜...

  • 脑膜瘤3Cm严重吗?后颅窝脑膜瘤严重吗

    脑膜瘤3Cm严重吗?后颅窝脑膜瘤严重吗

    2022-03-04 18:38:50

    后颅窝脑膜瘤严重吗? 尽管后颇窝的空间相对狭小,但此处的脑膜瘤由于所在部位不同会产生不同的症状。中线的肿瘤沿着脑桥基底沟生长,使脑干移位、牵...

  • 鞍区脑膜瘤严重吗?治疗方法有哪些?

    鞍区脑膜瘤严重吗?治疗方法有哪些?

    2022-01-28 11:47:11

    鞍区脑膜瘤泛指起源于鞍结节、前床突、鞍膈和蝶骨平台的脑膜瘤。而起自都板、骨嵴、斜坡等部位及累及鞍上的脑膜瘤,因临床表现、影像学检查结果和...

  • 鞍结节脑膜瘤严重吗?鞍结节脑膜瘤能治愈吗?

    鞍结节脑膜瘤严重吗?鞍结节脑膜瘤能治愈吗?

    2022-03-22 13:50:29

    鞍结节脑膜瘤是临床上常见的颅底脑膜瘤,其严重程度主要取决于肿瘤的大小。大肿瘤常与视神经、视交叉、颈动脉及其分支等重要血管和神经粘连,甚至...

  • 大脑镰旁脑膜瘤/视神经鞘脑膜瘤严重吗?

    大脑镰旁脑膜瘤/视神经鞘脑膜瘤严重吗?

    2022-03-04 18:41:09

    视神经鞘脑膜瘤严重吗? 虽然视神经鞘脑膜瘤少见,但其占视神经固有肿瘤的三分之一。如果不治疗,它们会导致失明,但手术治疗又难度较高,较易造成...

  • 海绵窦、鞍区、鞍旁脑膜瘤严重吗?

    海绵窦、鞍区、鞍旁脑膜瘤严重吗?

    2022-03-04 18:26:50

    海绵窦脑膜瘤严重吗? 患者的年龄、一般情况、肿瘤大小、精确的解剖位置和症状决定了CSM的治疗方法。我们提供了一种优化决策过程的工作算法,为CS...

  • 左侧额叶脑膜瘤严重吗?

    左侧额叶脑膜瘤严重吗?

    2022-06-27 14:12:05

    左侧额叶脑膜瘤严重吗? 左额叶脑膜瘤比较严重。其发病率相对较高,仅次于脑胶质瘤。它是脑膜和脑膜间隙的衍生物,通常与蛛网膜有很大的联系。这是...

  • 蝶骨嵴脑膜瘤严重吗?蝶骨嵴脑膜瘤术后并发症

    蝶骨嵴脑膜瘤严重吗?蝶骨嵴脑膜瘤术后并发症

    2022-03-30 13:42:31

    蝶骨脊脑膜瘤是颅底较常见的脑膜瘤之一。根据其位置,可分为蝶骨脊外侧、蝶骨脊中部和蝶骨脊内侧三种类型。目前,蝶骨脊脑膜瘤的病因尚不完全清楚...

  • 良性脑膜瘤严重吗?脑膜瘤有哪些类型

    良性脑膜瘤严重吗?脑膜瘤有哪些类型

    2022-03-28 16:34:32

    良性脑膜瘤严重吗? 脑膜瘤是一种发生在脑膜中的良性肿瘤。良性脑膜瘤对患者的影响主要是一个部位,另一个是肿瘤的大小。脑组织的压迫决定了对患者...

  • 脑膜瘤危害生命吗?有什么危害?

    脑膜瘤危害生命吗?有什么危害?

    2022-03-09 17:00:00

    脑膜瘤的发病率大多是成人,分为良性和恶性。脑膜是一种重要的组织结构。如果我们在生活中多加注意和预防,就可以避免脑膜瘤的发作。脑膜瘤的危害...

  • 良性脑肿瘤能治愈吗?二级良性脑膜瘤严重吗?

    良性脑肿瘤能治愈吗?二级良性脑膜瘤严重吗?

    2022-03-28 16:43:08

    脑膜瘤有哪些分类? 脑膜瘤分类较多,可根据病理学、组织学、生长部位进行分类。 病理学分类。 脑膜瘤按病理学分为良性脑膜瘤、恶性脑膜瘤和非典型...

  • 良性脑膜瘤有哪些症状?良性脑膜瘤严重吗?

    良性脑膜瘤有哪些症状?良性脑膜瘤严重吗?

    2022-03-30 14:19:44

    良性脑膜瘤有哪些症状? 大多数脑膜瘤都是良性的。根据国际卫生组织的分类,良性脑膜瘤是who1级。因此,这种类型的脑膜瘤一般不会引起严重的脑水肿...

  • 岩斜脑膜瘤严重吗?良性脑膜瘤很严重吗?

    岩斜脑膜瘤严重吗?良性脑膜瘤很严重吗?

    2022-03-23 11:07:05

    脑膜瘤是一种发生在脑膜上的良性肿瘤。良性脑膜瘤对患者的影响主要是一个是他的部位,另一个是肿瘤的大小,这决定了对脑组织的压迫对患者的影响。...

  • 脑膜瘤严重吗?没切干净影响大吗?

    脑膜瘤严重吗?没切干净影响大吗?

    2022-07-03 17:56:51

    手术切除脑膜瘤是较为合适的治疗手段。随着显微手术技术的发展,脑膜瘤的手术效果不断提高,使大多数病人得以治愈,手术原则是:控制出血、保护脑...

  • 蝶骨嵴/嗅沟脑膜瘤严重吗?

    蝶骨嵴/嗅沟脑膜瘤严重吗?

    2022-03-04 18:49:43

     嗅沟脑膜瘤沿着大脑和鼻子之间的神经生长,神经允许你闻东西。它们可以变大,但不会导致明显的神经功能缺损或颅内压升高的证据。嗅觉丧失通常是...

  • 枕骨大孔区脑膜瘤严重吗?老年人脑膜瘤严重吗?

    枕骨大孔区脑膜瘤严重吗?老年人脑膜瘤严重吗?

    2022-03-04 18:45:58

    位于颅底深部的脑膜瘤治疗难点在于难以切除干净,较易复发,其中尤以颅底、枕骨大孔区、海绵窦区、岩斜、桥小脑角等疑难位置脑膜瘤完整切除较为困...

点击查看更多