脑膜瘤是一种常见的脑瘤,它在脑膜(覆盖和保护大脑和脊髓的区域)中缓慢发展。大多数脑膜瘤是良性的,在大小和位置上差异很大。脑膜瘤严重吗?几乎90%的脑肿瘤都是良性的,手术可以治愈。生存期可以达到10年没有复发。良性脑膜瘤的良好预后和长期生存很普遍。

尽管它们很普遍,但多数脑膜瘤是由蛛网膜细胞产生的轴外良性缓慢生长的肿瘤。因此,许多脑膜瘤,包括相对较大的脑膜瘤,是无症状的,不需要干预,是在老年人或患有合并症的人群中。然而,脑膜瘤可因邻近脑结构和颅神经的局部生长和受压而引起神经系统症状。刺激邻近的皮质导致癫痫发作;颅神经,邻近硬脑膜和颅底结构受累引起的疼痛和疼痛综合征。这些症状大多数演变缓慢,并与良性脑膜瘤的隐匿性增长有关。择期手术,必要时辅以辅助放疗,通常会提供长期治愈或控制肿瘤的机会,而将发病率降至较低。但是,脑膜瘤的某些位置和生物学亚型仍然构成的管理挑战,需要采取多学科方法并需要对这些肿瘤的分子生物学进行不断研究。
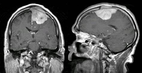
脑膜瘤位置不同,症状不同,包括:
凸性脑膜瘤通常生长在大脑的前部,位于其表面。几乎20%的脑膜瘤属于这一类。在肿瘤变大之前,我们通常看不到任何症状。在那个时候,你可能会经历癫痫、头痛、视力变化以及神经损伤。
大脑镰旁脑膜瘤生长在大脑两侧,那里有许多大血管。这种类型的肿瘤会干扰大脑的血液循环,如果它位于周围的血管上。
脑室脑膜瘤生长在脑室内,脑室携带脑脊液。这个区域的肿瘤会阻碍液体的流动,导致头痛和头晕。
颅底脑膜瘤,颅底脑瘤生长于大脑下方,沿颅底生长。这些肿瘤可能比脑膜瘤更难手术切除,因为它们可能在颅骨上或附近。颅底脑膜瘤包括:
海绵窦脑膜瘤是一种少见的影响海绵窦的肿瘤,海绵窦是一个控制眼球运动和让你的面部感觉的区域。海绵窦脑膜瘤可引起复视、头晕和面部疼痛。
斜坡脑膜瘤位于大脑下方的颅后窝内。这些类型的脑膜瘤通常作为蝶骨内较大病变的一部分生长。
枕骨大孔脑膜瘤起于脊髓通过的颅底孔(称为枕骨大孔)。
嗅沟脑膜瘤生长在嗅神经附近,位于大脑和鼻子之间。如果你患有嗅觉性脑膜瘤,你可能会失去嗅觉。如果肿瘤变得很大,就会影响你的视力。
后颅窝/岩状脑膜瘤位于大脑下方。它们会导致面部疼痛,如三叉神经痛,还会导致面部痉挛。
蝶骨翼脑膜瘤形成于眼后的蝶骨嵴。这些脑膜瘤可引起视觉问题和面部麻木。在严重的情况下,它们会导致失明。
脊髓脑膜瘤较其他类型的颅底脑膜瘤少见,多见于中年妇女。肿瘤压迫胸段脊髓,可引起背部疼痛、麻木和刺痛。
鞍上脑膜瘤发生于颅底垂体和视神经附近。这些类型的脑膜瘤生长缓慢,可导致单眼或双眼严重视力损害。
小脑幕脑膜瘤是一种少见的肿瘤,位于小脑幕的表面。这些类型的后颅窝脑膜瘤可引起头痛、癫痫和行走困难。
即使是良性脑膜瘤,治疗仍有难点
脑膜瘤当选择手术治疗时,手术难点在位置。枕骨大孔区、斜坡位置深,风险高,可操作空间狭窄,切除肿瘤需跨过很多神经,容易损伤神经及脑干。大脑镰和矢状窦的脑膜瘤,很多医生只切肿瘤,不切脑膜(因为肿瘤侵及矢状窦,这是静脉窦,容易出血,切除脑膜,难度高)。因为它们会影响手术的可及性并确定是否可以完全切除,并确定患者正常的神经功能不受损伤。
另外,脑膜瘤不同部位的复发率不同。位置在两个方面影响复发的风险。首先,容易切除的肿瘤比生长在静脉窦或颅底的肿瘤更容易切除。一个特定的位置可能代表的根治性手术的可能性,一个位置通常不是一个独自于手术策略、策略和经验的风险因素。通常情况下,颅底深部和肿瘤生长到主要血管的位置可能会对肿瘤的根性和肿瘤边缘的定义造成不同的问题。研究表明,看似完全切除后的复发更可能发生在蝶窦脊和嗅觉部位:20年的复发率分别为鞍上脑膜瘤-7%、凸面脑膜瘤-18%、矢状窦旁脑膜瘤-21%、蝶骨翼-29%、嗅沟脑膜瘤-36%,分别发生在鞍上脑膜瘤和鼻旁脑膜瘤。后一发现与Philippon30和simpson8相一致。岩斜坡位置较为少见,但构成了另一个高复发率的颅底位置。次全手术的高频率解释了为什么肿瘤复发在蝶窦内侧和海绵窦周围比较常见。邻近静脉窦的脑膜瘤经放射根治术切除40%与15%后,有10年的复发率。同样,矢状窦旁脑膜瘤也有更高的复发风险。
脑膜瘤如何提高顺利切除率?神经内镜手术内镜手术达到微创不开颅
尽可能通过外科手术切除恶性脑膜瘤,如果良性脑膜瘤较大或引起神经系统疾病,则将其切除。手术类型取决于肿瘤的大小和位置。神经外科医生从各个方向看你的状况,找到对你的大脑,关键神经和恢复正常功能的能力影响较小的手术入路。
前沿微创手术允许神经外科医生进入以前难以或无法到达的区域。
可以使用内窥镜鼻内入路(EEA)直接接近颅底和上脊柱的脑膜瘤。这种前沿的微创方法允许外科医生通过鼻子的自然走廊进入肿瘤,而无需打开切口。然后外科医生通过鼻腔和鼻腔去除脑膜瘤。
EEA治疗提供无切口愈合,无损伤和更快恢复时间的好处。
位于以下区域的肿瘤可以用EEA治疗:
Transribriform:嗅沟脑膜瘤
Transplanum:蝶窦脑膜瘤和鞍结节脑膜瘤
Transsellar:鞍区脑膜瘤
Transclival:斜坡脑膜瘤和枕骨大孔
Transodontoid:枕骨大孔脑膜瘤,前上脊柱
Transpterygoid:颞下窝脑膜瘤
Transorbital:肌锥内脑膜瘤(位于眼眶内)或脑膜外脑膜瘤
神经内镜手术为脑室(液体空间)内的肿瘤或大脑物质内的深层肿瘤提供微创选择。与传统的脑部手术相比,狭窄的管或端口允许外科医生通过头皮上的微小切口进入这些肿瘤。
INC国际神经外科医生集团旗下组织国际神经外科顾问团(WANG)成员、法国巴黎狄德罗大学Lariboisiere医院神经外科教授兼主席Sebastien Froelich教授擅长革新神经内镜的手术方式,在治疗复杂脑肿瘤采取神经内镜下颅内高难度位置的微创手术上,发明了独特的“筷子手法”,不止提高了肿瘤的切除率,更使肿瘤患者有着更好的预后效果。据悉,Sebastien Froelich教授选择单独或联合使用前沿的设备和方法(显微镜、内窥镜、微多普勒、超声真空抽吸器),并且与耳鼻喉科医生、眼科医生、颌面部外科医生、放射治疗师、质子治疗师和神经肿瘤等领域的专家、医师多方合作,使“筷子手法”更有利于复杂脑膜瘤的手术与管理,此项技术手法在法国乃至整个欧洲都有着重要的影响力,教授本人更是凭借筷子手法而受邀成为50多家医学院的课程主任和讲师。
- 文章标题:脑膜瘤严重吗?即使是良性脑膜瘤,治疗仍有难点
- 更新时间:2021-03-24 13:44:50
400-029-0925




