颅前窝底脑膜瘤如何选择切除手术?颅前窝底脑膜瘤切除手术的选择涉及多个方面,包括患者的具体病情、肿瘤的性质和位置、手术风险以及患者的整体状况...
颅前窝底脑膜瘤怎么进行手术切除?颅前窝底脑膜瘤的手术切除是一个复杂而细致的过程,需要经验丰富的神经外科医生进行操作。 一、手术前的准备 在颅...
颅前窝底脑膜瘤怎么手术切除?颅前窝底脑膜瘤手术切除是一种复杂且细致的神经外科手术,旨在尽可能地切除肿瘤,同时保护周围的脑组织和重要结构。...
斜坡脑膜瘤是一种生长在颅内斜坡区域的脑膜肿瘤,通常为良性。由于其不同的生长位置,手术切除具有的困难。 一、斜坡脑膜瘤的手术切除分类 1.全切除...
斜坡脑膜瘤是一种生长在颅内斜坡区域的脑膜肿瘤,通常为良性。手术切除是治疗斜坡脑膜瘤的优选方法,但有时由于肿瘤位置深在或周围有重要的神经和...
现国际通行的Simpson分级上世纪是如何被提出来的?近来各国学者就其对 复发脑膜瘤 、不同病理分级、不同颅内位置的脑膜瘤、颅外脑膜瘤及其在现代多治...
2015年德国雷根斯堡大学的研究人员发表在《神经学》Neurology杂志上的一份研究报告指出,肥胖或超重可能会导致某种类型脑肿瘤的发展。在研究中,专家将...
【岩斜区脑膜瘤案例】脑膜瘤 ,发病率为2/10万,仅次于胶质瘤居于颅内肿瘤二位,是一种起源于蛛网膜内皮细胞的颅内肿瘤。岩斜坡脑膜瘤约占后颅窝脑...
枕骨大孔区脑膜瘤案例。多年颈痛,竟是脑膜瘤在作怪德国一位57岁的女士,多年以来,一直饱受颈痛的折磨,近来,还出现了走路乏力,腿不听使唤且步...
岩斜区位于颞骨岩部背面与枕骨斜坡部的岩斜裂汇合处,从岩骨尖至颈静脉孔。内侧至斜坡中线,外侧至Ⅴ、Ⅶ和Ⅷ脑神经,上缘为鞍背,下缘为颈静脉孔...
岩斜脑膜瘤起源于在上颅骨的三分之二中部至五颅神经内侧的岩腹结合处,其中大型岩坡脑膜瘤定义为大小超过3厘米...
不能达到一级切除的病人复发率很高,比如脑膜瘤次全切除复发率高达85%。二级脑膜瘤(WHOII)占脑膜瘤的15-20%,即使一级切除,5年复发率40%,随时间延长复...
脑膜瘤复发率高吗?复发超过两次的脑膜瘤更有可能是更高的级别。复发超过两次的脑膜瘤更有可能是更高的级别。复发超过两次的脑膜瘤更有可能是更高的...
延伸到鼻腔和副鼻窦是少见的,这些部位的原发性脑膜瘤更不常见。延伸到鼻腔和副鼻窦是少见的,这些部位的原发性脑膜瘤更不常见。脑膜瘤是三常见的...
视神经鞘脑膜瘤是很严重的病吗,切除手术有什么后果?在这篇文章中,我们描述了内镜经鼻入路切除视神经脑膜瘤的经验,并讨论了这种新方法的手术指...
头痛是生活中常见的症状,大多人都出现过头痛、头晕症状,但一般吃点药或过一段时间就好了。而51岁的李女士(化名),却近来因为莫名头痛,在医院核磁...
蝶骨嵴脑膜瘤严重吗?下文报告了一例患者,其中蝶窦蝶骨嵴脑膜瘤是通过分期手术切除的,包括颅内部分的开颅手术和蝶窦颅外部分经蝶和经蝶入路的内...
脑膜瘤是一种由覆盖大脑和脊柱的组织(脑膜)引起的肿瘤,肿瘤生长到5cm已较为少见,那么颅底脑膜瘤5cm大切除手术还能做吗...
脑膜瘤是中枢神经系统较常见的原发肿瘤,脑膜瘤,在很多方面,就是是神经外科的灵魂。此外,由于大多数已发表的脑膜瘤治疗研究都将基于影像学的终...
脊柱脑膜瘤不做手术可以吗?利用RNA微阵列技术,在分析的2×10^4基因中,鉴定出1555个基因表现出差异表达模式,其中35个基因在脑膜瘤和脊膜瘤的组织学亚...
根据我们的印象和对文献的调查,脊膜瘤完全切除后的复发率似乎很低,即使在辛普森ⅱ级切除后也是如此。在一项分析了1984年至2011年间接受手术切除的...
其中的诀窍是使⽤⾮常⾼倍的⼿术显微镜放⼤倍率,因为在⾼倍镜下很容易找到肿瘤与脑组织间的界⾯,也很容易区分供⾎动脉和过路⾎管。对于⼤的甚⾄...
脑膜瘤发生在中枢神经系统的任何位置,源于硬脑膜蛛网膜细胞。它们被认为是良性,生长缓慢,界限分明的肿瘤。不幸的是,在手术切除之后,这些肿瘤...
镰旁脑膜瘤通常由脑膜中动脉、胼胝体边缘动脉、胼胝体周围动脉的多个终末动脉分支和前镰动脉的分支提供丰富的供血,这可能使任何手术切除变得复杂...
Resection of an Optic Canal Meningioma through a Contralateral Subfrontal Approach with Endoscopic Assistance: A 2D Operative Video 内镜辅助下对侧额下入路切除视神经管脑膜瘤:二维手...
脑膜瘤 是围绕大脑的组织的异常生长,称为脑膜。通常,脑膜瘤只需要医生定期检查和神经影像学检查,因为肿瘤生长缓慢。然而,有时肿瘤会压迫大脑或...
脑膜瘤 为颅内常见良性肿瘤,生长缓慢,多表现为慢性头痛,一般无不同症状,多在中老年以后被检查发现,女性发病率高于男性。有观点认为,此病发生...
1级脑膜瘤切除术后放射外科治疗时机是否影响远期结果?脑膜瘤是较常见的颅内良性肿瘤。伽玛刀立体定向放射外科(GKSRS)已成为复发或残留脑膜瘤的优选...
颅底脑膜瘤 是神经外科常见的一类肿瘤,手术切除肿瘤是主要治疗手段,并不是绝症,很多患者切除肿瘤后都回归正常生活。 显微外科手术是脑膜瘤的主...
岩斜区脑膜瘤约占后颅窝脑膜瘤的2%。由于病变发生在斜坡上三分之二的岩斜连接处,PCMs位于三叉神经的内侧。由于岩斜区脑膜瘤起源的重要结构和接近岩...
脑膜瘤是影响中枢神经系统的二常见原发性肿瘤,占成人原发性脑肿瘤的35 %以上。多数脑膜瘤是生长缓慢的良性(非癌性)肿瘤,尽管某些亚型比其他亚型更...
恶性脑膜瘤相对稀缺,每年报告的发病率在100万人口中低于5例,发病率在全部脑膜瘤中不到3%,更大顺利切除是治疗以先手段,其次是放疗(RT)...
脑膜瘤切除术后复发的预后因素,脑膜瘤占美国诊断的全部原发性颅内肿瘤的38%,是中枢神经系统较常见的肿瘤。尽管许多脑膜瘤生长缓慢,但有相当一部...
国际颅底主席Froelich教授一步步图解颞-顶-枕骨开颅联合岩骨切除 脑膜瘤手术 ----------------------------- INC国际神经外科顾问团成员之法国Sebastien Froelich是国际...
作为国际神经内镜联合会主席以及的神经内镜专家, INC国际神经外科 医生集团旗下国际神经外科顾问团成员、国际神经外科联合会(WFNS)神经内镜主席、...
如果是脑膜瘤是良性肿瘤,为什么还要手术切除?这些病变通常已经很大时就会被发现。要根据以下几个因素决定治疗:肿瘤的大小,位置,症状,患者的...
脑膜瘤是一种常见的良性肿瘤,其发病率仅次于胶质瘤。近年来,随着神经内镜、MRI、显微镜的应用和术后放化疗水平的提高,脑膜瘤的治疗效果提高...
近几十年来,核磁共振成像技术(iMRI)已成功应用于 神经胶质瘤 和垂体腺瘤的根治性手术,并与计算机神经导航技术相结合。然而,只有少数研究报道了该...
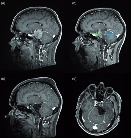
法国一位53岁男性,因三叉神经痛合并三叉神经感觉减退,在当地 神经外科医院 Lariboisiere医院,查出 左侧较大岩斜脑膜瘤 (27立方厘米)。脑磁共振(mri)显示...
枕骨大孔区脑膜瘤是指起源于颅颈交界处的脑膜瘤,占颅内脑膜瘤的1.8%~3.2%,后颅窝脑膜瘤的4.2%~20%,脊膜瘤的8.6%。枕骨大孔区域的边界是:...
脑膜瘤能完全切除吗? 脑膜瘤是一种常见的良性肿瘤,其发病率仅次于胶质瘤。近年来,随着神经内镜、MRI、显微镜的应用和术后放化疗水平的提高,脑膜...
良性脑膜瘤能治愈吗? 良性脑膜瘤临床上被认为是可以治愈的。脑膜瘤是一种良性肿瘤,其中大部分生长缓慢。预后主要取决于肿瘤伤口、病理分类和入侵...
如何切除蝶骨嵴脑膜瘤 目前,蝶骨胛骨脑膜瘤的主要去除方法是通过手术去除。然而,这种手术应该看到脑膜瘤的具体形式,既简单又复杂。较简单的形式...
矢状窦旁脑膜瘤起源于上矢状窦的窦旁角(肿瘤与上矢状窦间没有脑组织)。脑膜瘤颅内良性肿瘤不是较坏;矢状窦脑静脉引流系统重要。碰到一起时,出来...
与非手术治疗相反,手术可以立即消除眼球突出和疼痛,在眼球运动和眼睑抬高方面具有良好的美容效果,是在早期未进行放疗的情况下。对于所述儿童视...
脑膜瘤切除分级法 脑膜瘤切除分类的主要考虑因素是脑膜瘤的治疗主要是脑膜瘤切除。除脑膜瘤本身的水平外,脑膜瘤切除的程度是影响脑膜瘤复发的一个...
枕大孔区脑膜瘤的手术入路有枕下中线入路、 远外侧入路、经口腔-斜坡入路、经颈-斜坡入路。经口、经颈入路由于暴露不充分、脑脊液漏等原因实际手...
大多数前颅窝和中颅窝脑膜瘤可以从根本上切除。然而,即使随着手术器械、神经影像学和神经监测的发展,与前颅窝或中颅窝脑膜瘤相比,后颅窝脑膜瘤...
CPA区脑膜瘤切除程度和病理特征是影响复发的两个重要因素。肿瘤全切的患者大多预后良好,复发率不高。对于术前有脑积水的病人,通过切除肿瘤,解...
转移性脑膜瘤怎么治疗?尽管现代治疗取得了重要进展,但手术切除仍是大多数颅内脑膜瘤和肝播散患者的较佳治疗选择。...
显微神经外科手术切除矢状窦旁脑膜瘤,通过严格遵循显微神经外科手术原则,采用矢状窦贴壁分离技术切除窦壁肿瘤,在手术不同阶段采用相应手术技巧,...
脑膜瘤(Meningiomas)是起源于脑膜及脑膜间隙的衍生物。发病率占颅内肿瘤的19.2%,居2位。女性:男性接近2:1,发病高峰年龄在45岁,儿童少见。脑膜瘤属...
非功能区脑膜瘤有必要切除吗? 在某些情况下,非功能区脑膜瘤不能进行手术治疗。应根据肿瘤生长部位、患者体质和肿瘤大小进行判断和分析。一些良性...
链接/Links: 北京天坛医院 | 首都医科大学宣武医院 | 复旦大学华山医院神经外科 | 脑胶质瘤 | 脑海绵状血管瘤 |