当一名医务工作者患上脑肿瘤后,他们会如何行动?
大多数情况下,医务工作者都是担任救治病人的角色,帮助患者从疾病的苦痛当中摆脱出来,同时他们和普通人也都一样,也会出现疾病。
当拥有医学知识的医务工作者遭遇脑肿瘤,他们又会有怎样的就诊经历和心路历程?今天交流的患者故事主角,既是一位天幕脑膜瘤患者,同时她也是一名医务工作者。因为职业的原因,所以他们面对一些疾病,会有一些不同于常人的想法以及反思。希望给更多患者就诊、治疗带来一些思考与帮助。
偶然体检竟查出较大天幕脑膜瘤,焦虑、抑郁之下如何选择?
现在很多人注重自身健康,每年做一次全身检查,及早发现问题,及早干预,提高治疗效率。有时甚至体检时,还会做头颅CT或MRI,因此会偶然发现脑袋里有个肿瘤。

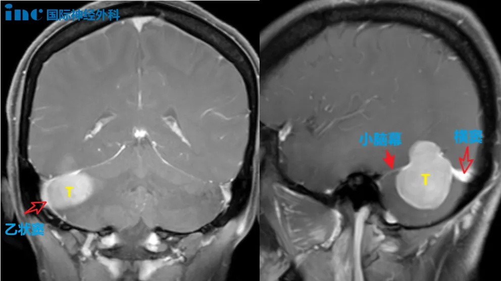
病灶与脑膜呈宽基底且向幕上凸起,边界清晰,右侧小脑半球受压。
2023年11月5日,46岁的孙女士,体检中意外查出患有天幕脑膜瘤,约35×32×38mm,几乎如同鸡蛋大小。本身就是医务工作者的她,对于这个病也是了解。孙女士犹如晴天霹雳,平时虽然有头痛的症状,但是一直是偏头痛没有在意,以为没有什么大病,怎么就脑袋里有肿瘤?这可怎么办呢?又害怕又着急。原本就容易紧张,焦虑,抑郁,经常失眠的她,雪上加霜。
无法相信的同时,脑海中闪过各种问题,让自己越来越害怕。是不是需要开颅手术?开颅手术的风险大不大?如果切不干净肯定会复发……
国际神外教授+北京天坛医院,强强联合下得到新生
虽然对于开颅充满了焦虑与恐惧,但是一家人的支持,也让孙女士没那么害怕了。脑膜瘤是颅内较常见的良性肿瘤,完全全切是较合适的治疗。作为医务工作者,她知道一步,需接受科学治疗。一家人应对,紧紧抓住手术时机,需在较早的时间找较好的主刀医生去做手术。孙女士全家人出动为她搜寻着这样手术机会。
2023年秋季中国行中,他们看到了INC国际神经外科医生集团旗下国际神经外科顾问团成员——国际神外手术教授巴特朗菲教授来华示范手术的消息,于是紧急联系INC,决定立马争取巴教授咨询的机会。而然后在INC医学顾问的协调、整理资料后,他们也如愿得到这位教授的回复,并且争取咨询到了巴教授北京天坛医院示范手术名额机会。

孙女士的天幕脑膜瘤虽然为良性肿瘤,但是手术难度却并不小。天幕脑膜瘤是肿瘤大部分基底附着在小脑幕和颅后窝底部硬脑膜的脑膜瘤,属于颅底和脑深部肿瘤,常与静脉窦粘连,并与脑干、重要颅神经及血管关系密切,手术风险大。由于天幕周围脑生理潜在空间较大,且肿瘤可通过挤压脑脊液为自身提供生长空间,故而天幕脑膜瘤生长缓慢,患者常没有任何症状以至于肿瘤体积很大时才被发现。这也是孙女士体检发现这个脑膜瘤时,肿瘤就已经很大的原因。
▼肿瘤位置与乙状窦、横窦关系密切

由于其体大与周围组织包括神经、血管或者四脑室底黏连重,且后颅窝空间狭小,而肿瘤质地又较硬韧,手术持续时间较长,这些都会对术者的围手术期处理策略、手术技术、以及体力(耐力和毅力)是一个挑战。
巴教授在手术前与北京天坛医院国际部合作专家团队进行了细致的商议,就孙女士的手术入路等具体方案进行讨论。
▼巴教授解释对于手术中是否需要完全暴露乙状窦进行解释
“肿瘤不在乙状窦内,只是压迫到,这是一种可能。但是当你把肿瘤取出来时,乙状窦在这个位置就会被打开,这其实没什么问题,因为我们可以把它盖住,保持乙窦的通畅。这是一种可能性。如果乙状窦已经被打开,肿瘤已经长在里面了,在切除肿瘤时,乙状窦就会出血。因此,你需这里关闭乙状窦。这就是为什么我说我们应该把乙状窦完全暴露出来,把开颅范围扩大到枕骨,这样会更好。”
北京时间2023年11月23日,孙女士巴教授在首都医科大学附属北京天坛医院顺利为孙女士示范手术。,巴教授的手术技术及来华示范教学手术的时机、一家人的当机立断……“天时地利人和”,多方原因促成这台手术。
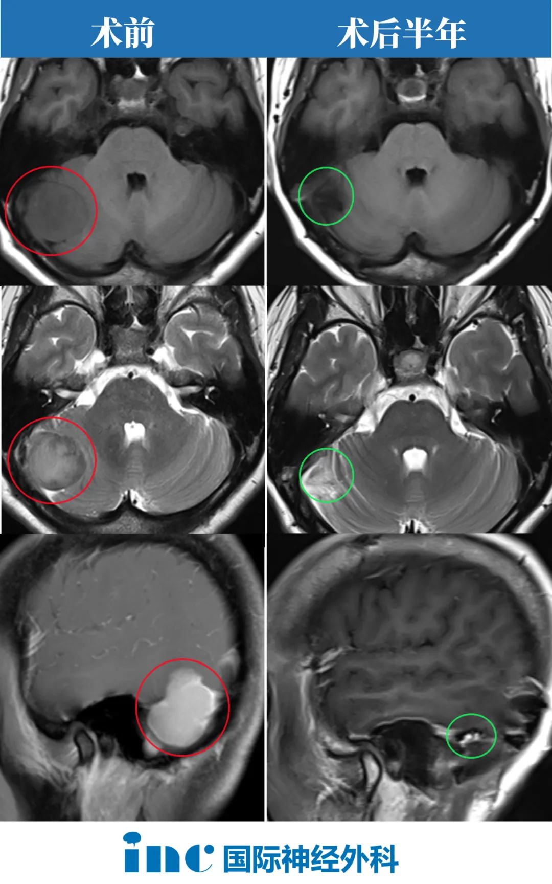
孙女士从体检发现脑膜瘤,到成功示范手术,仅18天时间。手术过程顺利,脑膜瘤顺利全切,无任何神经功能损伤,术后恢复好,切口愈合好。术后病理显示纤维型脑膜瘤,组织学级别CNS WHO 1级。免疫组化结果:H3K27me3(+),Ki-67(约2-5%)。
▼2023年12月4日,术后10天,孙女士恢复良好,顺利拆线出院。

▼术后病理报告为1级纤维型脑膜瘤,预后良好

术后半年随访时,巴教授在查看了孙女士影像后回复
“以下是2024年3月22日的MRI截图。他们清楚地记录了肿瘤的完全切除对大脑或周围结构没有负面的副作用。周围的对比增强是由于局部(正常)疤痕形成,剩余的幕也可以看到轻微的增强。肿瘤附着的幕的主要部分被完全切除。这是一个的术后情况。肿瘤的完全切除不仅在术后MRI上可见,而且在天坛医院的手术视频中也有记录。所以,病人不应该担心这个。”


通过孙女士的案例不难看出,其实,同一种病,不同的治疗策略、不同的治疗处境,都可能会导致,完全不同的命运。孙女士一家并没有局限他们的治疗思路,而是选择主动出击、正确选择。为了较好的疗效,她把眼光,放到了国际,找到了INC国际神经外科医生集团。
体检偶然查出脑膜瘤应该怎么办?
很多时候病友都会有这样的疑问——
脑膜瘤既然是良性,是不是就可以选择保守观察,带“瘤”生存?
答案是:NO!!!
脑膜瘤是长得慢,但并不“安分”。爱钻缝、啃骨头、吃人脑和血管的良性瘤子,颅内有脑膜的地方都是它的栖身之所。一年可以生长几毫米到几厘米不等,初期脑膜瘤可能只有小米粒那么小,长大了可以有苹果那么大。
治疗指南这样说:
脑膜瘤的治疗需要在完全性治疗(definitive treatment)和避免相应神经损伤之间进行仔细的权衡。患者个体的因素(症状的有无,年龄,共存病)、肿瘤位置和邻近重要结构和区域的关系都是决定较适治疗的重要的因素。
·对于小的,无症状的疑似的脑膜瘤,不伴随水肿或影像学侵袭的证据的,我们建议仔细观察随访,而不是手术或放疗(Grade 2C)。我们通常会在3~6个月时复查影像确认短期稳定后,只要患者仍然是可干预的对象且没有进展的证据时,然后就延长随访间隔。如果有进展,则建议治疗。对于年轻的有良好身体条件的患者,早期完全的干预治疗是个替代主动观察随访的合理选择。
·有症状的、大的、侵袭性的、或伴随有明显脑水肿的、且位于易接近位置的疑似脑膜瘤患者,我们建议顺利条件下较大水平切除而不是放疗或随访(Grade 1B)。除了获得初始的肿瘤控制,手术还能提供肿瘤占位效应的缓解并确认组织学诊断和肿瘤级别。
▼疑似脑膜瘤的评估和治疗

天幕脑膜瘤手术策略
天幕脑膜瘤位置不同,多起源于窦汇、直窦、横窦及横窦-岩上窦交界处的蛛网膜颗粒或天幕的纤维母细胞,向天幕上下两侧生长,周围解剖结构复杂。早期肿瘤生长缓慢,无特异临床症状,少数经头部影像学体检发现。
随着肿瘤体积的增大和生长方向不同,可引起相应神经功能障碍。幕上方向生长,可引起语言障碍、精神症状和癫痫;幕下生长,常引发小脑功能障碍和颅内压增高;位于外侧,可引起颅神经损伤;位于天幕后内侧,可引起视力、视野改变。颅内压增高和小脑共济失调是较常见的临床表现,多数病人就诊时已出现颅内压增高、颅神经功能障碍、共济失调等,而此时肿瘤已经足够大,同时手术难度及风险也随之增加。
天幕脑膜瘤手术治疗的目标应主要是好转病人临床症状,减少手术并发症,提高术后生活质量,在保护重要神经、血管结构前提下尽可能全切肿瘤。
- 文章标题:天坛医院联合INC国际教授手术纪实——较大天幕脑膜瘤案例
- 更新时间:2024-05-23 10:02:51
400-029-0925




