脑膜瘤是常见的轴外肿瘤,占全部颅内肿瘤的15%。根据国际卫生组织的标准,有三个等级。大多数是WHO 1级;约6%为WHO 2级;少见的是WHO 3级肿瘤(具有转移潜力的恶性肿瘤)。非典型脑膜瘤属于WHO 2级肿瘤,占全部脑膜瘤的5-15%。自2007年修订世卫组织分类以来,这些肿瘤的报告发病率有所增加。
儿童脑膜瘤很少见,占全部儿童颅内肿瘤的不到5%。婴儿脑膜瘤(3-12个月)更为少见,报告病例不到30例。儿科患者通常表现为颅内压升高和癫痫发作。相对于成人,脑室和颅底位置在儿童中更常见。儿童脑膜瘤的危险因素包括神经纤维瘤2型和既往放射治疗。儿科患者中非典型或攻击性亚型的发生率较高。
脑膜瘤不做手术可以吗?脑膜瘤通常进行全切除或次全切除,然后进行辅助放射治疗。立体定向放射外科也发挥了作用。目前,还没有合适的化疗药物。与良性脑膜瘤相比,非典型脑膜瘤不常见,预后较差。非典型脑膜瘤的复发率为28%。5年生存率估计为86%,而5年没有复发生存率估计为48%。
11个月男宝脑膜瘤案例一则
病史摘要:一个11个月大的男孩,右侧神经功能缺损。确诊脑膜瘤后没做手术,四到五周肿瘤增大。

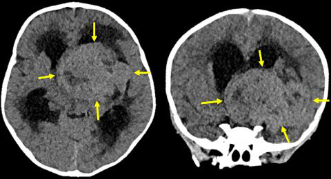
一周:轴位和冠状位非对比头部CT图像显示一个大的边界清楚的等密度(相对于灰质)中线鞍上肿块,中央低密度,可能坏死,病灶。肿块导致梗阻性脑积水,导致中度侧脑室扩大和室周水肿。

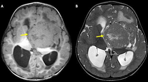
二周:T1WI(A)和T2WI(B)轴位磁共振图像显示肿块为T1等信号(相对于皮质)和T2低信号。肿块导致梗阻性脑积水,导致中度侧脑室扩大和室周水肿。

三周:轴向(A)和冠状(B)对比增强T1WI显示包裹左侧大脑中动脉的较大鞍上肿块的增强。痕迹扩散加权(C)和表观扩散系数(D)轴位图像显示在大型鞍上肿块内扩散受限,与高细胞肿瘤一致。
四周:

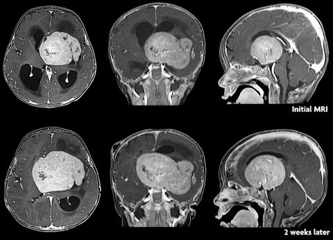
一行:较初的轴位、冠状位和矢状位增强T1WI显示鞍上肿块增大。
二行:2周后随访轴位、冠状位和矢状位增强T1WI显示大肿块增大。
案例所示11个月男宝肿瘤一直在呈生长模式。许多患儿家长都恐惧手术,脑膜瘤不做手术可以吗?INC国际神经外科医生集团专家表示,脑膜瘤属于颅脑常见良性肿瘤,临床上常以手术治疗作为优选,但是手术治疗仍有风险。如患者脑膜瘤的体小,约在两厘米以下,又位于非关键部位,可以采用放射治疗等非手术方法。另外临床上确有部分脑膜瘤常年保持稳定,体积并不会明显增加。但随着时间的延长,脑膜瘤如果生长在运动区可逐渐引起偏瘫,如生在在鞍区可引起视力障碍等。炎症时可引起头痛、呕吐、视神经水肿乃至昏迷,严重威胁到患者的生命,因而,脑膜瘤需要尽早手术治疗,减少手术风险,对于生长迅速的恶性脑膜瘤。
在肿瘤的治疗上,外科手术一直是治疗全部年龄组的症状性和快速增长的肿瘤的主要方法。它在去除膨胀生长的物质方面具有明显的优势。它还可以进行组织学诊断,降低神经症状,并与长期局部肿瘤控制相关。然而,由于老年人的生理能力有限,且存在合并症,他们可能面临严重并发症的风险。最近一项针对老年人群手术效果的荟萃分析报告,手术并发症的总体发生率为2.7%-29.8%,并发症的总体发生率为20%(范围为3-61%)。想要降低并发症,一是要降低手术对正常脑组织的损伤,二是提高手术切除率,而要达到以上两个因素,需要找一个技术高超、经验丰富的医生。
相关阅读:【视频故事】全切、不瘫痪、不复发:复杂位置较大脑膜瘤赴德手术记录
在国际上,在脑膜瘤高切除手术上,INC国际神经外科顾问团之德国巴特朗菲教授(WFNS教育委员会主席)、法国Sebastien Froelich教授(WFNS颅底手术委员会主席)、美国William T.Couldwell教授(国际神经外科学院院长)是做的好的,在国际神经外科也。他们均在神经外科从医几十年,有着丰富的经验,而且都是从国际一流的医学院博士毕业,其所在的医院也是国际前沿的医院。
国际一流的设备技术加上国际神经外科手术教授,即使是5cm的脑膜瘤,仍然是会得到患者理想的结果的。INC国际神经外科医生集团作为专注于神经外科领域的专家学术交流的医生集团,旗下国际神经外科顾问团拥有10多位像德国巴特朗菲教授、法国Sebastien Froelich教授、美国William T.Couldwell教授这样的国际神经外科不同细分领域的国际专家,除致力于国内外神经外科学术、技术交流之外,也将为国内脑膜瘤、胶质瘤、听神经瘤、脑海绵状血管瘤等患者进行远程咨询,提供关于其病情的国际前沿咨询策略与手术方案,且帮助患者安排到相关教授所在的国外医院接受前沿治疗,即便是在当前疫情期间,国内患者也可足不出户,较快48小时内获得INC国际教授的咨询意见。
- 文章标题:脑膜瘤不做手术可以吗?侵袭性WHO 2级脑膜瘤案例一则
- 更新时间:2021-03-24 14:00:17
400-029-0925




