如果有一天,医生告诉你:“你脑子里长了个东西,得拿出来。”你会是什么反应?
对于38岁的我来说,这个消息起初如晴天霹雳般。毕竟,是脑子里面的问题。但是,当我查阅资料后,得知还可以“微创”时,好像也没那么可怕了。但当我听到医生说,为了取这颗肿瘤,我们要从你的眉毛动刀时,我的第一反应是:“医生,你是不是在跟我开玩笑?”
没错,从眉毛进去。我就这样体验了一次。
01、眼睛凸出来,原来是脑子里的问题
故事要从身体的异常说起。那段时间,我总觉得左边眼睛有点不舒服,照镜子时发现眼球好像比右边稍微突出了那么一点点。一开始觉得是不是没休息好或者甲亢?并没有太放在心上,但出于谨慎起见,我还是去做了检查。
去医院看眼科,查了一圈眼压、眼底都正常,医生开了点眼药水让我回去观察。
但症状并没有消失。随后的体检中,头颅CT和MRI给了我当头一棒:轴外骨质增生性肿瘤,疑似蝶眶脑膜瘤。

术前计算机断层扫描图像(骨窗)显示由蝶眶脑膜瘤引起的增生,涉及蝶骨大翼、蝶骨小翼、前床突以及眼眶上壁以及颞骨鳞部。

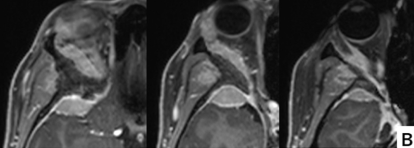
术前增强MRI显示蝶眶脑膜瘤从眶上壁延伸至外侧眶壁以及眶周。颞极硬膜和颞肌也被浸润。眼眶受压导致眼球突出。
那一刻,“脑瘤”两个字像巨石一样压在我心上。
“脑膜瘤大多生长缓慢,目前症状轻微,可以先观察。”医生建议先保守观察,于是我怀着忐忑的心情度过了一年。
这一年里,我没有服用任何含孕激素的药物,生活习惯也很规律。为什么特别提到这个,因为医生告诉我摄入此类激素相关药物可能会导致我的脑膜瘤长大。
但肿瘤并没有因为我“听话”就停止生长。到了复查的时候,片子显示肿瘤明显增大了,随之而来的是眼眶周围的胀痛和眼球突出的加剧。
不能再等了。
02、“脑洞大开”还是“开个小口”?
可以不开颅吗?福洛里希教授一段访谈带来了一些希望!
福洛里希教授INC神外大咖
很多年以来,我们专门做各种颅底手术,我们的优势之一是我们能够掌握颅底手术所有的入路,这意味着我们能够达到颅底360度的视野。我们可以采取经典的显微镜下开颅入路,同时也可以做内镜下经鼻入路和内镜辅助下的显微镜入路,我们可以处理那些复杂的肿瘤,我们可以从不同的角度观察它们,我们可以从不同的方向接近它们。对于每一个特定的肿瘤都有一个首选的手术入路能达到它。如果掌握所有的手术入路,就可以选择比较适合的路径。只了解一个入路,这永远不够。
——INC法国福洛里希教授
住院后,神经外科的专家们为我制定了详细的手术方案。
我知道一般脑瘤都有这几种手术方案:
一种是经典的开颅手术,就像掀开屋顶修房子,视野开阔但切口大;
另一种是经鼻手术,从鼻子里面切肿瘤,体表无创口但路径复杂;
还有一种,就是医生建议的——经眉切口入路。
我摸了摸自己的眉毛,难以想象这里会成为手术入口。
03、手术日:眉毛里切肿瘤
手术在全麻下进行,福洛里希教授正是我的主刀医生。
术后看出院小结,我才知道医生沿着我右侧眉毛的弧度,做了一个月牙形的小切口,藏在眉毛之中。然后,在显微镜下,通过这个切口进入,小心翼翼地切除肿瘤。
▼手术切口轮廓和标志

不需要使用神经内镜作为主要工具,只在最后探查了一下手术腔,确保没有残留。
为了防止术后脑组织塌陷或积液引起眼部不适,医生没有使用可能引起排异反应的人工材料填充,而是取了我肚子上的一点脂肪填了进去。
最后,用一个微型钢板和螺钉,把那一小块颅骨严丝合缝地固定回去。

术后CT显示脑膜瘤和反应性增生的骨质均被完全切除。
04、我居然看不见我的手术切口
术后第5天,看着我做手术的那个眉毛时,我不敢相信,我居然就这样做了手术,因为我都看不出来切口在哪。
▼术后第5天的良好面容外观(无疤痕)

术后第6天,我在良好的状态下出院,几乎没有可见的疤痕,眼球突出也好了。
术后的我,每次摸到眉毛处那几乎看不见的痕迹,我都忍不住感叹现代医学的神奇。
05、我真的很幸运
回想这段经历,我不禁感慨万千。
这些如今看似并不是什么新鲜事,但是放在古代简直是天方夜谭。在我国古代就曾相传华佗要给曹操做开颅手术治疗头痛,最终招致杀身之祸。这位神医的悲剧结局,折射出古代医学的无奈。
早期要对付脑瘤,一个又一个限制让医生们不得不进行"豪放式"开颅——“肿瘤长在哪?”“看不见!”“没有金刚钻,干不了瓷器活!”……“盲操作”之下又何谈手术效果呢?
但现在,随着影像导航、高倍显微镜和精密器械的革新,神经外科已经进入了一个“精准微创”的时代。
作为一名亲历者,我亲眼见证了这一切,很幸运地成为了这场医学进步的受益者。
- 文章标题:38岁那年,医生从我“眉毛”里切出一颗脑瘤
- 更新时间:2026-01-23 09:25:19
400-029-0925





