脑膜瘤是最常见的中枢神经系统肿瘤,大多数脑膜瘤为良性、生长缓慢,但其发病率呈持续增长趋势。世界卫生组织(WHO)依据形态学标准将脑膜瘤分为3个级别(I级至III级)。基于人群的研究估计,约90%的脑膜瘤为I级(良性),约10%为II级(交界性),少于3%为III级(恶性)。
脑膜瘤的治疗策略包括观察、手术切除联合或不联合放疗等,以及在极少数进展性病例中尝试全身性治疗(尽管目前尚无FDA批准的疗法)。对于小型、无症状的肿瘤,患者可采取保守观察(体检查出脑膜瘤,不想开颅的我,多久复查一次才安全?);而对于高级别病变或无法完全切除的病例,辅助放疗则用于预防进一步生长。
不同级别,不同治疗选择,生存期差异大吗?
2004-2014年美国国家癌症数据库(National Cancer Database,NCDB)中所有被诊断为脑膜瘤的患者数据。分析了201,765例病例,平均年龄为64岁。患者占比为I级(24.9%)、II级(5.0%)、III级(0.7%)或未知的WHO等级(69.4%)。中位生存期为12.6年。接受手术切除的患者5年生存率高于未接受治疗的患者。放射治疗仅可用于不可切除的肿瘤,以及在回顾性分析已证明其有益的老年人群中。


201,765名脑膜瘤患者,他们如何选择治疗方式?
该研究综述中,46.7%的患者未接受任何治疗,44.8%接受了手术治疗,9.6%接受了放疗,0.5%接受了激素治疗,0.2%接受了化疗。超过40%的患者仅接受了手术治疗(见图1)。在不同级别患者中,WHO III级患者仅接受手术的比例为42.1%,显著低于WHO I级患者的86.4%和WHO II级患者的72.7%。与I级患者相比,II级和III级患者接受放疗(分别为22.9%和51.1%)和化疗(分别为0.3%和6.2%)的比例显著更高。

图1:整体治疗情况

图2:WHO分级生存情况(p<0.001)

表2:根据NCDB 2004–2014年数据,按选定特征估计的脑膜瘤5年生存率。RT:放疗;CT:化疗;S:手术
脑膜瘤一般能活几年?生存期研究
根据对脑膜瘤患者生存数据的统计分析,其总体中位生存期为12.6年。生存期在不同WHO分级患者中存在显著差异:WHO II级患者为11.9年,未报告分级的患者为11.7年,而WHO III级患者则显著缩短至4.7年。由于I级患者在随访期结束时的生存率仍高于50%,其中位生存期无法计算。
按WHO分级划分的5年生存率分别为:I级88.3%、II级78.8%、III级48.7%,未报告WHO分级肿瘤为71.9%。这一数据表明,脑膜瘤的生存率较既往分析报告有所提高。值得注意的是,I级和II级脑膜瘤的生存率高于先前NCDB分析报告的数据,但III级脑膜瘤的生存率则较低。

就初始治疗方式而言,接受手术治疗的患者5年生存率超过86%。
接受手术切除的患者5年生存率高于未接受治疗的患者。放射治疗仅可用于不可切除的肿瘤,以及在回顾性分析已证明其有益的老年人群中。
III级脑膜瘤患者接受辅助治疗的可能性更高,尽管尚无美国食品药品监督管理局(FDA)批准的化疗方案,仍有6.2%的患者将化疗作为初始治疗方案。该比例略低于既往报道的7%,这与文献记载一致,即化疗未显示能改善脑膜瘤患者的生存获益。
仅接受化疗(未接受手术或放疗)患者的5年生存率最低(32.7%)。这一较低的生存率是可预期的,因为化疗通常用于无法手术切除或不能再接受放疗的患者。
脑膜瘤预后和位置有关系吗?
肿瘤本身引起的神经损伤,取决于肿瘤的解剖位置,以及肿瘤是否有局部侵袭性。因此,与生存质量有重要关联。
大脑凸面脑膜瘤:WHO 1级大脑凸面脑膜瘤单纯手术切除后的预后极佳。大脑凸面脑膜瘤位置表浅,大多可完全切除,很少需要辅助放疗或补救性放疗。SimpsonⅠ或Ⅱ级切除后的10年复发率为3%-10%。术后超过10年仍可出现晚期复发,但不常见。SimpsonⅢ和Ⅳ级切除后的进展率显著更高,Ⅲ级切除后为10%-25%,Ⅳ级切除后为33%-50%。MIB-1指数升高(≥3%)和不典型组织学特征也与进展风险增加相关。
颅底脑膜瘤:治疗较困难,由于关键的血管结构、颅神经和/或脑干,手术风险大,稍有不慎可导致较大并发症。对于无法全切的肿瘤,术后辅助放疗,通过多学科治疗的结局和预后通常良好。
复杂位置的脑膜瘤如何获得良好预后?

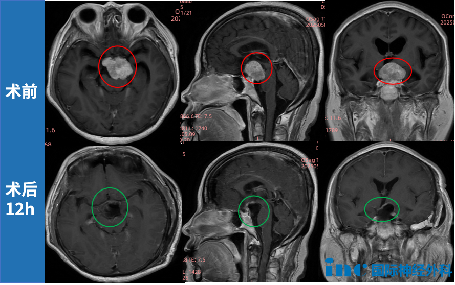
岩斜区脑膜瘤
36岁的小宛,在一次体检中偶然查出脑膜瘤,一个生长于极为复杂的岩尖区、4.5cm左右的脑膜瘤,脑干和左颞叶受压……超过4cm的肿瘤已经很大了,更何况它还生长在岩尖区。岩尖在脑袋中呈金字塔形,是一块连接中后颅窝及颅底的神秘区域,邻近海绵窦、脑干等“手术禁区”。而这个区域的复杂性还体现在与很多重要的血管神经粘连紧密,不仅全切难度大,术中牵拉或误操作更极易导致神经损伤,引发术后功能障碍,如面瘫、听力丧失等,一旦引发脑出血或缺血,极有可能威胁生命。
正是因为岩尖区复杂而深在的特征,术前的规划和手术入路的选择更是重中之重。福教授十分具有针对性地选择了采用颞下岩前入路。这一入路也是经改良后的Kawase入路。
颞下岩前入路作为颅底外科极为重要的手术入路之一,其优势也十分明显:首先,能为大脑斜坡中部至海绵窦区域提供更好的视野,显著提高手术的切除率,看得更清楚,在手术切除时也能更加“游刃有余”,否则无异于在一片浑水中摸索肿瘤的位置,难度可想而知。
同时,该入路在切除岩尖时降低了对颞叶、脑干或颅神经牵拉损伤的可能性,极大程度上降低术后并发症,保障了小宛的预后质量。因此,颞下岩前入路特别适用于岩斜区脑膜瘤的切除。
最终,在北京天坛医院,福教授精湛的手术操作下,肿瘤顺利切除。小宛在ICU待了短短四个多小时便能够转回普通病房。点击阅读:天坛医院手术纪实|4.5cm脑膜瘤紧压脑干成功手术,勇敢辣妈的彪悍人生!
鞍区脑膜瘤
赵女士因眼前突现黑影查出鞍区脑膜瘤——鞍区即蝶鞍区,因形似马鞍而得名,此处集合了垂体、视神经和视交叉、下丘脑等一系列重要的解剖结构,是颅底解剖中复杂的区域之一。
肿瘤向前上方推挤视交叉,向前下方压迫垂体柄,向后方压迫脑干,并与动眼神经、滑车神经、三叉神经紧密相邻,同时毗邻颈内动脉及基底动脉系统。
面对如此复杂的手术挑战,INC福教授在术中借助“显微镜+神经内镜”双镜联合技术,在完好保留听力、面神经等重要功能的前提下,成功实现了肿瘤的精准切除。术后病理虽提示为2级,但因切除满意,福教授在随访中建议无需放疗,仅需定期复查即可。


总之,脑膜瘤治疗的预后情况、并发症的发生率、恢复时间与肿瘤位置、生长特点、术者的技术经验等息息相关,对于解剖位置比较复杂的脑膜瘤,风险高,手术可操作空间狭窄,容易切除不干净,损伤神经及脑干,引起瘫痪等后遗症。因此,建议患者寻找有成功手术经验的医生做肿瘤切除手术,争取更好的预后效果。
- 文章标题:脑膜瘤一般能活几年?超20万名脑膜瘤患者研究数据,揭示生存真相究竟如何
- 更新时间:2025-10-20 11:23:42
400-029-0925




