什么是多发脑膜瘤?是恶性的么?诊断多发性脑膜瘤需符合以下几点:患者存在一个以上的脑膜瘤;虽然对于脑膜瘤来说,其处理原则是手术完全切除肿瘤,但对于多发性脑膜瘤,不可...
多发性脑膜瘤临床少见,多发也不代表是恶性的,具体需要看病理活检 结果,大部分脑膜瘤(大于90%)都是1级良性的,多发脑膜瘤其临床症状无特异性。诊断多发性脑膜瘤需符合以下几点:患者 存在一个以上的脑膜瘤;脑膜瘤之间互不相连;排除神经纤维瘤病。另外,还 需排除复发性的脑膜瘤。虽然对于脑膜瘤来说,其处理原则是手术完全切除肿瘤, 但对于多发性脑膜瘤,不可能也没必要手术切除全部的肿瘤。手术只是针对那些 有症状的脑膜瘤:对于无症状的脑膜瘤,可行临床随访,定期行CT或MRI检查。 多发性脑膜瘤的发病机理尚不清楚。
多发性的脑膜瘤是由一个主要的脑膜瘤通过蛛网膜下腔的播散形成。随着肿瘤分 子生物学研究的进展,研究发现脑膜瘤的发生和发展是一个多基因、多因素参与、 多阶段的复杂过程,涉及到癌基因活化和抑癌基因失活。目前,已经应用生物学技术治疗恶性、侵袭性脑膜瘤,包括基因治疗、免疫治疗、抗血管形成治疗、 抗生长因子治疗等。
多发脑膜瘤的治疗疗及预后和单发的脑膜瘤是类似的。 显微镜下手术切除是优选的治疗方法,但是要遵循以下原则:优选手术治疗,有残余或复发或情况不允许时考虑放疗。对于无症状的脑膜瘤可行定期CT或MRI复查。如果手术成功没有残留什么后遗症,预后是会不错的,症状会得到好转甚至完全消失,注意复查和规范良好的治疗,生存期也可不受什么影响。

INC多发脑膜瘤案例一则
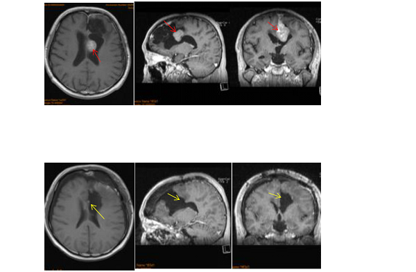
今年50岁的赵先生,确诊为多发脑膜瘤,经历了国内专家的手术切除及伽马刀治疗无果后,毅然奔赴德国接受INC国际神经外科医生集团旗下组织国际神经外科顾问团(WANG)的德国INI神经外科教授、国际神经外科联合会(WFNS)教育委员会主席巴特朗菲教授手术,目前,赵先生多发脑膜瘤术后5年,身体康复良好,没有复发转移情况。
具体手术过程:取患者仰卧位、前额部冠状切口、左侧为主。右侧额骨骨瓣过矢状窦,完全暴露矢状窦前1/3,及部分右侧额部硬脑膜。完全切除全部肿瘤,扩大切除左额硬脑膜,到达正常厚度硬脑膜为止。全切前段大脑镰,切除前1/3上矢状窦及下矢状窦。受累颅骨的内板以磨钻磨除后复位。手术实现脑膜瘤Simpson 0级切除。
术后MRI影像:左额凸面、及前段大脑镰多发脑膜瘤被全部切除;前 1/3 矢状窦被切除;前段大脑镰被切除;左额硬脑膜被大部分切除,无硬脑膜强化表现。左额术后侧脑室额角穿通。
术后情况:正常,术后ICU观察一天,术后二天下床进行康复锻炼。神经功能无任何异常,术后13天步行出院。
得了脑膜瘤不可怕,可怕的是尝试了多种治疗方法无效,甚至多次复发。不管是何种类型的脑膜瘤,为避免肿瘤恶化或多发,一线治疗手段即是手术全切。根据脑膜瘤生长部位不同,切除的难度和完全程度也都各不一样,选择一个技术高超、拥有丰富成功经验的专家将为较大好转患者预后和延长生存周期提供有力保障。
- 文章标题:什么是多发脑膜瘤?是恶性的么?
- 更新时间:2021-03-24 13:54:50
-
良恶性脑膜瘤的鉴别? 良恶性脑膜瘤的鉴别通常需要通过一系列的临床评估和实验室检...
2024-01-11 17:15:26
-
恶性脑膜瘤会转移扩散吗?怎么导致的?恶性脑膜瘤起源于蛛网膜内皮细胞或硬膜内的脑...
2023-11-16 17:21:07
-
恶性脑膜瘤是癌症吗?能活多久?是的,恶性脑膜癌通常被认为是一种癌症。它是一种起...
2024-01-11 17:22:51
-
恶性脑膜瘤手术后能活多久?恶性脑膜瘤是一种较为严重的脑部肿瘤,其生长速度快,具...
2023-12-26 16:26:03
-
多发性 脑膜瘤 是指在同一病人的不同颅内位置同时发现的两个或两个以上的脑膜瘤。库...
2021-03-24 13:42:44
-
恶性脑膜瘤发展有多快?不可轻视!恶性脑膜瘤是一种具有某些良性脑膜瘤的特点,逐渐...
2023-11-16 16:58:59
-
恶性脑膜瘤能活几年?能治好吗?恶性脑膜瘤通常起源于脑膜,即一层覆盖在脑和脊髓表...
2023-11-16 17:35:26
-
它们可以从头发生(denovo),也可以由于较低的组织学级别的脑膜瘤的生物进展而产生。...
2021-02-22 16:56:33
-
很多脑膜瘤患者在接受了脑肿瘤手术切除后,都渴望恢复到正常生活,把这段经历抛诸脑...
2021-07-20 15:24:41
-
53岁的李阿姨一直有慢性头痛的病史,刚开始一家人都以为这只是个头疼脑热的小毛病,...
2020-09-08 13:26:57
-
恶性脑膜瘤会转移扩散吗?能治好吗?恶性脑膜癌是一种恶性瘤种,它通常起源于脑膜或...
2024-01-11 17:08:41
-
恶性脑膜瘤是癌症吗?有什么症状?恶性脑膜瘤是癌症。脑膜瘤在医学上分为良性和恶性...
2023-11-16 17:48:33
-
脑膜瘤 是常见的原发性中枢神经系统(CNS)肿瘤。脑膜瘤根据其特征分为三级。每个级别包...
2021-07-20 15:36:07
-
对于恶性脑膜瘤,建议选择早期住院治疗,好转相关手术检查。如果没有明确的手术禁忌...
2019-06-03 00:56:00
-
恶性脑膜瘤传染吗? 恶性脑膜瘤不会传染。传染性疾病通常具备三个要素:传染源、传...
2024-01-11 17:02:16
-
脑室内脑膜瘤 相对少见,占全部脑膜瘤的1%~2%。脑室内脑膜瘤的一例记录可能是1854年由...
2020-04-02 18:20:30
-
脑膜瘤是成人中常见的脑瘤之一,仍然是一个有待神经学家、神经外科医生和肿瘤学家解...
2020-12-16 15:27:50
-
恶性脑膜瘤相对稀缺,每年报告的发病率在100万人口中低于5例,发病率在全部脑膜瘤中...
2020-11-18 11:12:41
-
知识交流:低度恶性脑膜瘤。脑膜瘤是一种原发性中枢神经系统肿瘤,即起源于大脑或脊...
2023-12-07 15:03:25
-
什么是多发 脑膜瘤 ?多发脑膜瘤怎么控制生长?这些是脑膜瘤患者迫切想要知道的常见...
2020-03-05 10:45:39