
魔芋是一名护士,每天她都能在医院见到许多年龄层的孩子,有的活泼,有的安静,有的看似生龙活虎却患上重病,有的已奄奄一息 这天,她见到了一个小男孩,一头黑色的短发,躺在床上冲...

提起出血,很多人会觉得流一点血没关系但如果这一点血出在脑干里,情况就完全不一样了。 先给大家一个直观的概念: 5毫升血,大概就是1个矿泉水瓶盖的容量,或者平时喝汤用的1小勺量。...

当你的脑袋不下心被一根细长的铁杆穿入眼眶、刺入颅内、直抵颞叶,还能安然无恙吗?对于绝大部分的人来说,这样的穿入性损伤通常会造成灾难性后果,但7岁的杰克却成了万里挑一的幸运...

身为医者的吴先生有一个聪明伶俐的女儿小晴,几天前,女儿患上流感,吴先生原本打算在周末带女儿去医院看病,但没想到,还没等父女俩到医院,小晴就突然失去意识,半身瘫痪。 吴先生...

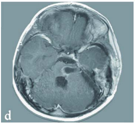
一名活泼好动的3岁男童,突然出现剧烈头痛、左侧肢体瘫痪,右眼也无法外转这是脑干海绵状血管瘤破裂出血的危急信号。作为神经外科极具挑战的手术禁区,脑干出血手术如同在生命中枢上...

陈先生家庭美满,然而,一直令他引以为傲的儿子荣荣却突然病危了,乍一听到这个消息时,陈先生正在赶往出差的路上,他顿时眼前发黑,只觉得原本安稳的生活摇摇欲坠。 再次见到儿子时...

年仅7岁的浩浩偶尔抱怨自己头痛,但这一症状却被工作繁忙的父母忽视了,直到某天浩浩突然晕倒,住院2天后更是恶化为意识不清、无法说话!而这一切,全是因为脑干出血。 脑干是人体的生...

3岁的楠楠确诊为脑干海绵状血管瘤,由于孩子年纪太小,又是还未出血的良性病变,一家人慎重选择了保守观察毕竟这种病变一辈子都可能不会出血。 可事实果真如此吗?实际上,儿童脑干海...

凌晨两点,急诊室的红灯突然亮起。28岁的程序员小周被同事抬进来时,脸色苍白,抱着头喊疼得要炸开CT显示,他的大脑里有新鲜出血,进一步做脑血管造影后,我们在他的右侧颞叶找到了罪...

宝宝,你再看一眼爸爸妈妈好吗?病床旁,站着一对心碎的父母。两天前还一切正常、活蹦乱跳的儿子小奈,如今竟已无法开口说话,成了对外界毫无反应的植物人。 病情的恶化超乎他们想象...