3岁的楠楠确诊为脑干海绵状血管瘤,由于孩子年纪太小,又是还未出血的良性病变,一家人慎重选择了保守观察——“毕竟这种病变一辈子都可能不会出血。”
可事实果真如此吗?实际上,儿童脑干海绵状血管瘤的出血概率会大大增加,一旦出血,后果不堪设想。不久后,预言成为现实,楠楠病情恶化,脑干急性出血,甚至已经无法坐立和说话。
当救护车唿啸而来,楠楠父母又是懊悔又是心疼:怎么一个良性病变,竟成了孩子的“催命符”?可令他们震惊的事情还不止这一件……
噩耗接连不断,一家人如何顺利渡过难关
神经功能持续恶化
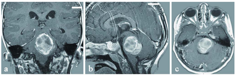
1个月时间,楠楠就从一个活泼好动的女孩变成了病床上奄奄一息的患儿。她的神经功能还在进一步恶化,而这都是由之前确诊的那个巨大桥脑海绵状血管瘤持续增大、出血,并伴有轻度脑积水导致的。

此时的楠楠已经出现嗜睡、头痛、言语障碍、躯干共济失调等严重症状。她几乎无法维持坐姿,也不能站立,还伴有轻度面瘫和重度右侧偏瘫,同时存在反射亢进和巴宾斯基征阳性,即中枢神经系统上运动神经元性损害。
救护车送达后,尽管楠楠接受了抗水肿治疗,临床状况趋于稳定,神经症状也在随后几天得到改善,但另一个噩耗也逐渐传来……
发现另一个病灶
复查核磁显示,不仅原先的脑干海绵状血管瘤已生长到4×3.5×3cm,还在左额叶及顶叶也发现一个致痫病灶,同样是海绵状血管瘤。

来自母亲的遗传
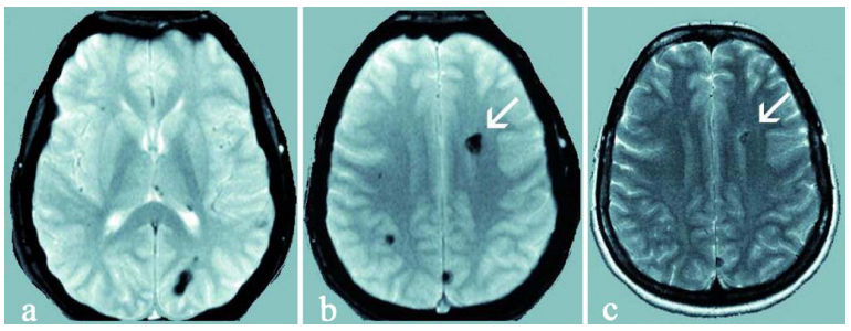
很明显,楠楠所患的是多发性海绵状血管瘤,这让医生不由得开始怀疑,这个3岁小女孩身上可能存在家族遗传基因。果然,在对楠楠母亲进行基因检测后,医生发现楠楠和母亲体内都藏着一个名为CCM1基因的新发突变。而在楠楠母亲的核磁上,也发现了多个海绵状血管畸形的小病灶,但楠楠母亲至今并未出现任何症状。

手术全切后症状明显改善
最终,楠楠在巴教授的主刀下顺利实现病灶的全切除,手术全程进行了体感诱发电位和脑干听觉诱发电位监测,在神经导航下,桥脑海绵状血管瘤得到全切,手术过程顺利,无任何并发症。
术后,楠楠的神经症状得到持续改善。手术10天后进行的MRI检查证实海绵状血管瘤已被完全切除,并显示先前严重增大的脑干已得到减压,第四脑室恢复正常。顺利出院后,楠楠正在接受进一步的神经功能康复治疗。

案例来源:巴教授论文Clinical impact of CCM mutation detection in familial cavernous angioma
- 文章标题:3岁女儿急性脑出血被送上救护车,良性病变竟成“催命符”
- 更新时间:2025-11-02 11:27:53
400-029-0925




