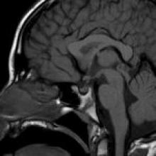
中枢性尿崩症是一种已知的颅内生殖细胞肿瘤(以及其他实体)的表现,可累及漏斗部,损害ADH和催产素从下丘脑到神经垂体(垂体后叶)的运输。在这些患者中可以看到正常垂体后叶亮点的缺失,应该对该实体进行监测成像,以评估肿块病变的发展。该病例的独特之处在于,对该患者进行了随访,以评估可疑肿瘤的发展,这被认为是鞍上/漏斗区的可能性;然而,基底神经节生殖细胞瘤较终发展。生殖细胞瘤较常见于中线附近,主要累及松果体和鞍上区。三种较常见的中枢神经系统生殖细胞瘤位于基底神经节和丘脑内(~10%)。

临床表现:
·鞍区/鞍上区的生殖细胞瘤可表现为尿崩症(多饮和排尿频率增加)以及其他下丘脑垂体轴功能障碍的症状。
关键诊断功能:
正常垂体后叶亮点的缺失在成年人群中可能是非病理性的(被认为是由于多动症和催产素的神经分泌颗粒的蛋白质含量的变化);然而,儿童缺乏亮点应被视为异常,应进行系列成像以评估漏斗部肿块的发展,是在患有DI的患者中。
基底神经节/丘脑生殖细胞瘤较初在SWI表现为低信号,继发于瘤内出血或矿化。T2/FLAIR高信号较终发展,较初可能不会增强。较终,增强是规则。这些肿瘤可能是单侧或双侧的。
可以看到同侧大脑脚或大脑半球的萎缩。
基底节生殖细胞瘤通常不表现出松果体区和漏斗部生殖细胞瘤在CT上的增强衰减和在MRI上的扩散限制。
鉴别诊断:
·下丘脑或视神经通路胶质瘤,生殖细胞瘤,淋巴瘤,脑炎
治疗:
化疗和放疗是一线治疗方法(其他地方的生殖细胞瘤也是如此),总体预后良好。
- 文章标题:基底节区生殖细胞瘤早期症状有哪些?
- 更新时间:2021-06-03 09:58:50
400-029-0925




