“不能更好!”这是INC国际神外大咖巴特朗菲教授在看过柯女士近期的复查核磁报告后给出的评估。
“巴教授您看,我现在走路、抬胳膊都没问题!”视频里,年逾七旬的柯女士精神矍铄,动作利落,很难想象她曾因脑部深处的基底节区海绵状血管瘤,而陷入“手术怕瘫、不手术怕爆”的绝境。
近日,INC国际神经外科的巴特朗菲教授为柯女士完成了术后2年的随访,巴教授的专业解读像一剂定心丸,让她在面对未来生活时更添了从容的底气。

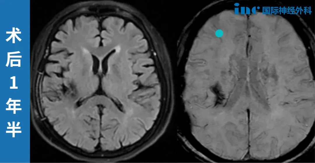
一份让人安心的随访报告
此次随访中,柯女士提及自身症状变化:“舌头和右侧脸部的麻木感好多了,但双脚、右腿还有手术区域的麻木胀痛偶尔会出现。”同时,她还特别询问了核磁报告中“右侧额颞交界区斑片状低信号”的意义,这份细致恰是她对抗疾病的缩影。
面对她的这些困惑,INC神外的巴特朗菲教授给出了专业解答:“值得庆幸的是,对于当初那么大的出血病灶,通常病人会有更严重的问题,而您的症状非常轻微,这是极大的幸运。”
针对核磁显示的低信号,巴教授进一步解释,“这个病灶很小,并非缺血性改变,在您这个年龄段属于常见情况,甚至可能是正常生理表现,完全无需担心。更重要的是,海绵状血管瘤区域的恢复非常好,没有临床意义。”
*没有临床意义(Non-Clinical Significance,NCS):指在检查或研究中发现的异常指标、现象或数据,对疾病的诊断、治疗决策或病情评估没有实质性的参考价值。这通常意味着这些异常很可能是由检测误差、个体差异或正常生理波动引起的,而非疾病本身的表现。
视频里柯女士矫健的身姿,与教授的专业评估相互印证——这场与深部脑血管畸形的博弈中,她赢了!
而回溯一年多的治疗之路,每一步都充满了抉择与坚持。
绝境开端:68岁时确诊,被断言“术后必瘫”
时间回溯到2022年,柯女士在体检中首次发现脑部异常,进一步检查后被确诊为“右侧基底节区海绵状血管瘤并发出血”,病灶大小15mm。起初医生一句“回去观察”,加上自己本身也没有明显症状,于是并未引起她的重视。
然而,从2022年12月开始,柯女士开始出现脚底发麻的症状,随后发展到手麻、舌麻,这种异常的感觉让她深感不安。便立即前往医院咨询手术方案,可当地医生却表示不建议手术:“你要是58岁你可以做手术,68了你还做啥手术?给你做瘫了,你躺在床上两年,你就完蛋了。”

为什么会说术后会瘫?医生们的担忧源于病灶的位置特殊——基底节区,这是大脑中负责运动调控的关键区域。基底神经节位于白质内,参与运动的启动和执行,与大脑皮质及小脑共同协同调节随意运动、肌张力和姿势反射。这个区域的手术风险极高,稍有不慎就可能导致偏瘫、失语等严重后果。

大脑基底节区示意图
“68岁就该等着病情恶化吗?我还有家人,还有想过的生活。”柯女士的不甘,让她开始四处寻觅希望。一次偶然的机会,她看到INC国际神经外科医生集团巴特朗菲教授的成功案例,于是决定为自己的生命再搏一次。
峰回路转:从“保守观察”到“紧急手术”
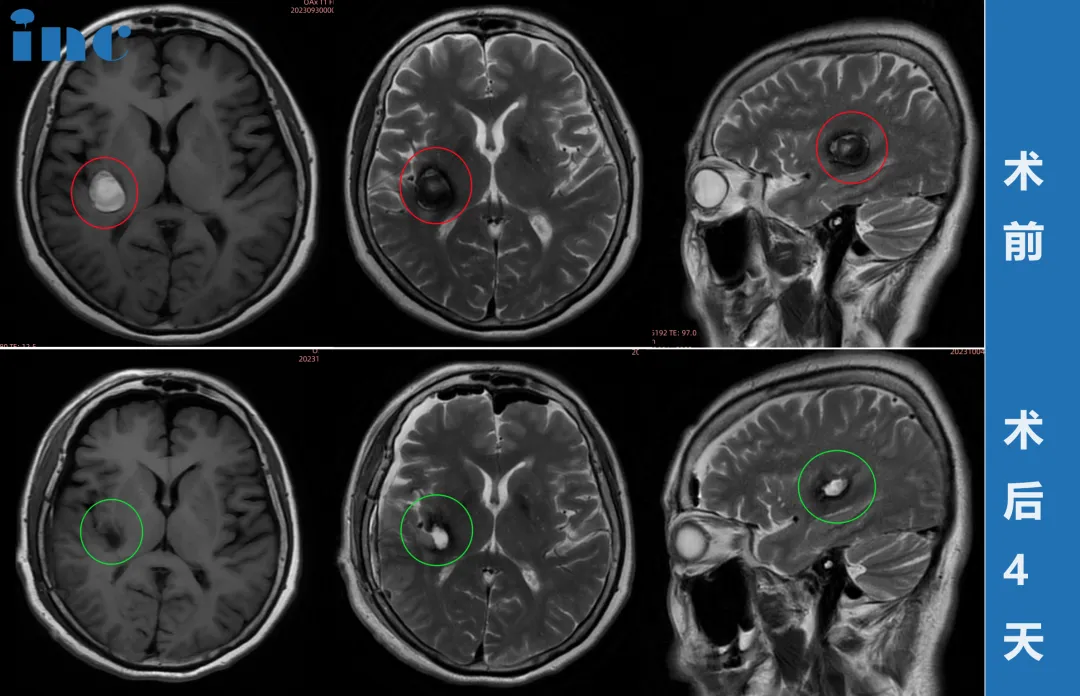
在苏州大学附属第四医院,柯女士第一次见到了巴特朗菲教授。教授仔细研究了她从初诊到最新的所有影像资料,给出了客观评估:“75%支持手术,25%可观察,但如果症状加重必须立即治疗——等到偏瘫再手术,恢复几率会大幅降低,我能为你完全切除病灶。”

尽管教授的评估带来了信心,当得知还有25%的概率还可以保守时,柯女士和家人商量,是不是还可以等一等,等巴教授下一次来华时再手术。
然而,疾病这个东西有的时候真是无法预料。2023年9月,柯女士的症状突然加重:脚底麻木蔓延至膝盖,脸部、耳朵也出现麻胀疼痛,复查核磁显示病灶已增大。
得知情况后,巴教授当晚就紧急发起视频连线,语气坚定:“这次必须马上手术,现在是最佳时机,我如果就这样回德国,会一直不安心。”(当时正值巴教授完成中国行预备返回德国)

巴教授的这份责任与担当打消了柯女士和家人所有顾虑。9月29日视频咨询,30日柯女士从东北飞赴苏州,10月1日——国庆节当天,由巴教授主刀,国内神经外科团队精密配合下,为她成功手术。术后核磁显示,海绵状血管瘤已完全切除,且没有新的神经功能损伤。

术前,巴教授曾告知最坏情况可能是左手无力,这让柯女士在术后醒来的第一时间就下意识活动左手——当感受到手指灵活时,她悬着的心彻底放下。更令人惊喜的是,教授担心的高龄患者常见脑萎缩问题并未在她身上出现,脑部状态甚至优于同龄人,这也为手术成功提供了有利条件。
*高龄患者会出现脑萎缩的情况,开颅后脑积液会往下流,并压迫岛叶,做手术就会有点困难。

康复与启示:早发现早治疗的关键
如今,褪去疾病阴霾的柯女士继续着她的畅快人生——和家人露营烧烤,坚持阅读学习,生活一如患病前那般充实。
回顾患病治疗经历,她感慨万千:“我这一年就遭这些罪,那种麻的感觉太难过了。晚上的那种焦虑,而且每天都会担心它会爆。因为害怕出血,我之前连咳嗽都不敢咳,甚至说上厕所都不敢使劲,所以说能早解决就是早解决。说有这个机会真的不能错过。”
对于没有严重基础病、身体尚可的高龄患者,开颅手术是完全可行的。拖延治疗反而可能因病灶增大、出血风险升高,错失最佳治疗时机。
海绵状血管瘤虽然是良性病变,但一旦出血就应积极考虑手术。尤其是位于重要功能区的病变,等到出现严重功能缺损后再手术,恢复几率会大大降低。
从被断言“手术必瘫”到术后神采奕奕,柯女士的经历证明,面对脑部疑难肿瘤,年龄不是枷锁,专业的医疗选择才是破局关键。每一个寻求希望的人,都值得被专业守护。
400-029-0925



.gif)
