2023年4月9日,23岁的大学生斌斌因为功能区——半卵圆中心海绵状血管瘤接受了INC巴特朗菲教授的顺利全切手术。骑自行车、打篮球、正常学习上课……凭借巴教授高超的手术技术,术后的斌斌早已恢复正常生活重回大学校园,而术后INC也一直对斌斌进行着常规随访。
术后核磁共振检查结果好,病灶完全切除,周围区域也很干净。因此,手术目标已经完全达到。下一次核磁共振检查应在一年后,即2025年春季进行。


2024年4月,我们也收到了巴教授发来的随访邮件,在查看了斌斌术后一年核磁影像后,巴教授回复目前斌斌的情况好,肿瘤全切一年后没有复发。
功能区海绵状血管瘤手术难度究竟有多大?
其实2023年8月份,INC工作人员就联系过术后3个月的斌斌,和巴教授进行过一次远程邮件随访。巴教授明确确认顺利全切海绵状血管瘤,无不良副作用,形态学状况良好。
“请让患者放心,都很好,海绵状瘤已经切除。我敢肯定,他甚至无法估计这种手术的高质量和高难度,从皮质脊髓束区域切除海绵状瘤!!”

在回复中,巴教授也再次强调了这台位于功能区半卵圆中心的难度超出了病人的想象。脑干上的手术,患者们对于难度都有所了解。然而对于脑功能区,就如巴教授邮件回复所言的“皮质脊髓束区域”却了解甚少。为何功能区上的手术难度这么大?
大脑皮质的不同区域具有功能特异性,分别具有不同的功能,如感觉、运动等,将这些具有功能的脑区称为“中枢”,即大脑皮质功能定位。
那脑海绵状血管瘤长在功能区能顺利手术吗?早在1991年,巴教授就已发布过相关研究,《Microsurgery of Deep-Seated Cavernous Angiomas:Report of 26 Cases》,巴教授证明,脑海绵状血管瘤无论位于皮层或皮层下功能区,以及其他功能重要的区域,如基底节区和丘脑,或位于三脑室、胼胝体和扣带回、脑室旁以及深部颞区等,在全部这些位置的病灶都可以顺利地尽全切除,效果良好,发病率低。

但是由于功能区涉及重要的语言、运动等功能,手术难度并不低,想要顺利铲除这样一颗“不定时炸弹”,难度不容小觑。如何才能顺利拆除这一生命隐患,回顾斌斌的治疗之路也许能为大家带来一些启发。
斌斌的治疗故事回顾
2022年确诊
半卵圆中心究竟是什么位置?
竟会导致“右手无力,写不了字”
半卵圆中心是大脑白质的组成部分,位于大脑皮层下方。半卵圆中心在神经系统中发挥着至关重要的作用。作为大脑白质的主要组成部分,它负责连接大脑的不同区域,参与了大脑各区域之间的信息传递、处理和整合,从而确定神经系统的正常运作以及大脑的高效运转。它起着桥梁的作用,连接大脑皮层的各个部分,大脑皮层负责语言、记忆、推理和感官知觉等功能。

2022年,23岁的斌斌因为突然出现右手无力,写不了字,5月份就医检查MRI显示左侧半卵圆中心区可见类圆形异常信号灶大小约8.0x11.0mm。怀疑海绵状血管瘤出血。出血期间斌斌还出现右腿、右脚无力,走路不利索,医生建议先针对目前的右手无力症状进行住院保守治疗,住院一周后症状有所好转斌斌出院。

2022年5月MRI影像,血管畸形处于急性出血期
虽然过了出血急性期症状缓解了,斌斌却深知自己的脑子里已经埋上了一颗不定时炸弹,它随时可能出血,自己可能会说不了话、走不了路。原本外向开朗爱玩爱笑的性格,也变得内向封闭,以前较爱的篮球、自由自在的户外骑行,都因为对于海绵状血管瘤出血的恐惧一一放弃。家人决心要为他找到顺利手术的主刀医生。
2023年得到国际神外教授巴教授顺利手术
2023年4月巴教授来华示范手术消息发布后,斌斌一家通过INC中国代表处联系巴特朗菲教授咨询病情,得到的回复是:“切除率当然是全切,否则手术是没有意义的。手术能够通过中央前沟达到病变,通过较好的神经导航和术中超声技术,可以精确地定位病灶。因此,我认为我可以在不造成(新的)运动功能障碍的情况下切除”

巴教授远程咨询报告截图
“教授从欧洲来到这里,就是为了拯救我们”,得到了巴教授回复的肯定回复后,他们决定奔赴苏争取巴教授国内示范手术名额。
术前谈话:再提到肿瘤切除时,巴教授强调,虽然斌斌的肿瘤很小,但是需要注意的是肿瘤小并不是手术难度就低。更小的病灶相比于大的肿瘤,手术的难度会更大,应该需要准确得定位肿瘤位置且确定不伤及正常的脑组织和神经,这也是斌斌这台手术的难点。

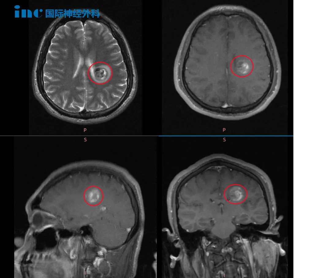
2023年3月手术前斌斌MRI影像

术前谈话结束后巴教授点赞鼓励斌斌不要紧张
成功手术:北京时间2023年4月9日,斌斌的手术如期在苏州大学独墅湖医院展开。在术中导航和神经电生理监测的双重护航下,巴教授顺利顺利全切斌斌的半卵圆中心海绵状血管瘤。

术前手绘手术切口及手术入路,和国内神经外科团队详细解释手术方案
▼巴教授利用术中神经功能导航准确定位肿瘤


INC巴教授手术中

在术中导航和神经电生理监测下,手术在有条不紊地顺利进行中

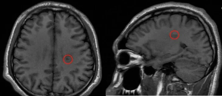
术前术后MRI影像对比
术后情况:术后4天斌斌已经能够自己下床自如走动,可以自己去卫生间。对于术后暂时的右手无力,巴教授强调孩子脑子里的海绵状血管瘤已经被切掉了,短暂的水肿消失以后,这些症状都会消失,会恢复得越来越好的。
术后2个月,INC医学顾问在随访中了解到斌斌已经可以骑自行车了,慢慢恢复自己之前的兴趣爱好,那个热爱生活的阳光大男孩一点点回来啦。
作为全国际少数能够在脑干、脊髓、功能区上顺利手术的神外教授,INC德国巴特朗菲教授专研脑海绵状血管瘤手术30余年,仅脑干手术就高达上千台,平均切除率高达90%以上,大多脑深部肿瘤可达全切,拥有着较为丰富的脑干、丘脑、鞍区、颅颈交界处等疑难位置成功手术经验……在手术“禁区”上的脑干海绵状血管瘤得到了的临床效果,近400台脑干海绵状血管瘤成功案例。
2024年INC巴特朗菲教授中国之行持续进行中……巴教授作为近年来一直是中德神外交流项目的重要嘉宾,为神外国际学术交流做出了较大的贡献,造福了国内疑难脑肿瘤患者,为他们提供更好的治疗选择。
400-029-0925




