
愿的不美好都被风吹走,不再回来。
攀爬、跳跃、奔跑……5岁的聪聪在游乐园中穿梭、探索,小小的身体里仿佛有着使不完的劲。年仅1岁半的聪聪和家人却经历了人生中的变故,父母至今想起来还心惊胆战。如今,4年多过去了,上幼儿园中班的他热爱运动、喜欢交朋友,是校园里的小明星。
2023年,健康成长的聪聪在游乐园里攀爬玩耍

2022年,热爱运动的聪聪攀爬、打篮球

2019年,手术后没多久的聪聪已经恢复了往日的活泼可爱。

“因为他的个子高,别人总是以为他已经上小学了。”提到孩子,聪聪爸爸的眼睛忍不住溢出笑意和自豪。回忆起这段求医经历,聪聪爸爸:“孩子现在运动功能完全没有影响,而且他在同龄人里面运动能力各方面算是比较好的。他特别喜欢打篮球、做运动,然后交朋友,什么样的都喜欢。这个事基本算是完全过去了,我们暂时把它忘记就可以了。我们更多的是展望小朋友的未来,而不是去停在过去。看到INC的同事们就觉得看到恩人一样。他的未来不受到什么影响,其实对我们来说就是较大的心理安慰。”当然,只有患者返回家中继续生活,再也不用与医生打交道的时候,我们的成就感才实现了较大化……但,我们也一直关注着聪聪的情况。
2019年,巴特朗菲教授曾两次来华进行疑难脑瘤示范手术,聪聪就是其中幸运儿一,当时的聪聪由于脑干海绵状血管瘤出血已经出现了双眼斜视、不自主扭头、走路不稳等症状,在得到巴教授顺利全切手术后,康复了,又回到了以往的健康可爱。而且用他更加顽强的生命力,努力生长着,继续成长着……
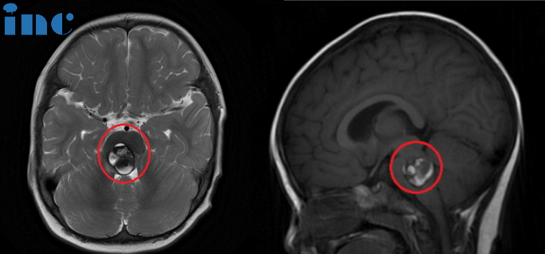
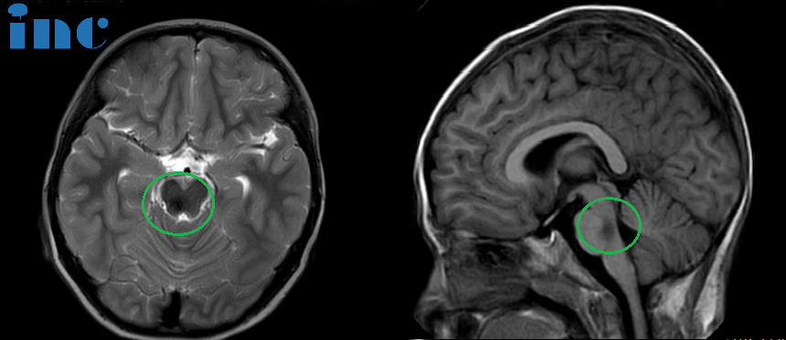
▼术前术后对比图片

术前:脑桥占位。双眼斜视、畏光,面瘫,频发不自主扭头动作,走路稍有不稳。头颅MR(红色区域)显示:脑桥血肿,可见16 x 22 x 21mm肿块,四脑室受压变窄。

术后:头颅MR(蓝色区域)显示小脑半球及脑干形态正常,中线结构居中,原脑桥内团块状信号消失。
术后4年,INC工作人员来到聪聪所在城市,在他较爱的游乐园里,聪聪爸爸接受了我们专访,一起来听听他们的故事。
斜视、面瘫,频发不自主扭头动作,1岁半儿子确诊脑干海绵状血管瘤
那天我记得比较清楚,我在外地出差。然后我太太就发了一个视频给我,说孩子的眼睛怎么有点斜了?当时我们并没有引起太多的重视,只是去了眼科医院及其他医院看。医生就说:可能小孩是因为电视看多了,造成了斜视。过了一段时间,我去咨询一些其他医院,包括我一些医院的朋友,然后他们说较好去排除一下,有可能是脑内的一个问题。当时我心想这个事儿可能会比较严重一点,我还是去排除一下是不是脑内的问题。
其实这时我的心里就已经比较紧张了。我看孩子的眼睛确实不像是近视或者是斜视的问题。我们在苏州大学附属儿童医院做了一个核磁共振,拍出来果然是脑部的问题。当时我都惊呆了,我以为是类似于胶质瘤这样的,因为这个算是在小孩脑袋里面比较高发的一种疾病。我拿着片子立马就去了上海的医院,医生也基本上告诉我是脑干海绵状血管瘤。其实在上海的医院,我已经安排好了住宿。这个时候我已经在他们那个楼下挂号,准备安排住院了。但是,这个时候孩子走路也不能走直路了,走路走走就斜了。还有一些他较大的令我担心的症状,会有频发不自主扭头动作,有类似于神经性的症状。还有一些就是面部的问题,他无法开心的笑,有些面瘫。
“巴教授近期就要来中国了”,我们是如何了解到INC巴教授的?
在上海安排好住院后,我突然收到别人发的一条信息说,就是近期德国的巴教授会来。其实在知道这个消息之前,我自己也上网查过。看到了一些关于巴教授介绍的文章,我以为这离我是一个很远的事情,所以我就没有想到他能来帮我的孩子做手术。我以为他这样一位教科书级别的人物,也不会在我们国内做手术。这期间我太太也收集了很多信息,巴教授她也跟我提起,当时我还没有特别多的注意,说在国外好像有个医生在国内有一些有一些不错的文章,要不要参考一下?她说是一个德国的医生。我当时也没有放在心上,我不知道我们说的是同一个人。
突然我病友就给我发消息说:巴教授近期就要来中国了。我是先打INC的官方电话,因为我人在上海,然后就直接去INC的办公室。其实在见到INC工作人员之前的一个小时,我已经拿到了住院安排单,已经准备住进去了,就在我准备住进去那一刹那,我得到了这样的一个信息,我立马就联系INC先过去看看。

直到后来我告诉妻子,她说那太好了,感觉就像是峰回路转了,感觉突然希望就大大增加了那种感觉,她眼睛里面就开心啊。我们就坦然的就走去INC,决定暂时先不住院。其实在这中间我们也想过去北京的医院。我也咨询过一些医生说排队可能需要两个月,各方面的费用,包括你排队在那边住宿,生活的费用也不低。
所以我想找巴教授这样就一次性搞定。因为在医院排队,然后做完手术,你后面还面临康复治疗,这个也会花蛮多的钱。所以我觉得巴教授搞定之后,后面我什么药也不用吃,什么事也不用管。其实从整体上来说,甚至还帮我节约了一些时间和费用。
说实在刚开始去INC的时候,我还没那么有信任感。我直接问他们,你们公司到底靠不靠谱?还去问很多国外的一些朋友说这个医生靠不靠谱,那得出来的结论都还算比较靠谱。
无法两全、不能全身而退?我们为何坚决选择了巴教授?
从孩子出现症状到咨询巴教授大概有一个月时间。经过跟INC的沟通,我了解到可以让巴教授远程咨询。咨询后,巴教授说的的仔细。首先他是明确这个教授是一个脑干海绵状血管瘤,他的成功率在百分之九十九以上。作为家长,心里就会觉得放心。为什么呢?因为我们也咨询了一些其他的医生,没有类似于百分之九十九这样的一些比较明确的数字。告诉我这个风险特别高,很难两全。什么叫两全呢?既能把全部的东西给移除,又能取得不错的身体机能。他说是有损伤的,还有人跟我讲,你就不用想全身而退了。就是有问题的,即使手术做成功是有问题的。那相对这样的一些诊断跟巴教授诊断说我百分之九十九能够搞定这件事儿。同时孩子在一到两个月之内或者三到四个月之内,他的机体的功能肯定会得到恢复。那我觉得这是一件令我比较满意的一件事。
从特别国内的一些医生给我的说:无法两全到不能全身而退,到我完全建立起对巴教授和王杭州的信任感。综合各种因素,我们坚决的选择了巴教授。然后接下来就是一段焦急等待巴教授来临的日子。

(巴教授对聪聪病情的国际远程咨询回复)
“我们已经做到了一个父母较好的能做的一个选择”
术前,真的特别感谢王杭州主任。他给我较大的一个安慰,就是告诉我说巴教授给了你不错的切除率评估,而且这一块是巴教授专长的领域。你们已经做到了一个父母能做的较好的一个选择,您就放心的去做这件事。
王杭州主任也详细的跟我介绍了每个时间段家长应该做的一些事和可能会出现的一些风险。我们在术前大概一个星期就住到儿童医院。然后他们的整个团队,包括王杭州以及他们整个的护理团队,我觉得照顾的都还挺不错的。他也详细的跟我讲巴教授来的时候会约见我们去谈哪些内容,包括手术入路之类的。我记得巴教授落地就立马从上海赶到苏州,这好像是当时他过来的一台手术。巴教授来看了小孩之后,然后又跟我们介绍了一下该如何手术。当时我觉得巴教授,王杭州主任都让我觉得是用心,让我感到温暖。
术前症状基本消失,我们出院了!
术后2天,他从ICU出来,基本上三大(双眼斜视、不自主扭头、走路不稳)症状就已经全部都消失了。就他当刚被推出ICU的时候,我就观察到他了。因为他是小朋友,很好奇的眼睛已经在来回的转动了。术前的时候,他的眼球是不能转的。那我就心想,这全部的事儿都已经搞定了,因为他的眼球已经在转动了。回到普通病房,我们看他的头摇头的症状也没有了。当时面瘫还有那么一点点,但是已经有比较大的好转。
大概两天或者三天左右,他就可以下来出去玩了,自己出来玩了。到那个时候的话,基本上症状已经全部没有了。这是我比较欣慰的一点。因为对他的未来,对他以后的人生,基本上这件事,算是走过去了。
孩子大概在医院待了有一个星期,七天或者八天就出院了,出院其实就在我车的后座里面比较活泼了,蹦蹦跳跳就感觉很正常了,除了后面还有纱布,还没拆线。也不用吃药,也不用康复治疗。那我觉得这个已经是较大的幸福了。
疾病上,是可以有一些渠道去请国外的专家
其实无论从我的家人或者说是亲戚、同事都知道我这样的一件事儿。因为当时我有一个月左右时间没有去工作,公司支持,直接就没有算事假这样的。我就直接在家待了一个多月,一直陪小孩。全部人都觉得这件事儿做的是相当的好,那同时也赞扬一件事,一个就是原来真的可以有一个机会在一些的疾病上,有一些渠道去请国外的医生或者专家来。而如果后面有些人不幸也遇到这样的情况,他们也会去选择这样一条路。
原来其实大家都根本没有这个意识,说还能去找到一些国际交流项目。我觉得大家都还是打开思路了的。所以现在其实也有一些病友会问我。病友都知道我家孩子的情况,巴教授做的手术。对于他们,我都愿意他们去找INC看一看。
采访后记
现在的聪聪,又回到了以往的健康可爱。尽管孩子在不到2岁就经历了这么大的病痛,但我们也看到了他旺盛的生命力。在治病过程中,聪聪父母感谢INC和巴教授、以及全部的医护人员。
作为INC随访多年的老患者,4年来我们看到聪聪从接受巴教授手术后全切脑干海绵状血管瘤后恢复如正常孩子般的快乐生活。如今聪聪这样的幸运病人越来越多,他们用自己的亲身经历告诉那些处于绝望中罹患疑难复杂脑肿瘤的患者,也许还有另外一条路,可以寻求到更好的治疗。我们也想把那句话传递给其他的家长:“不是因为看到希望才努力,而是因为努力才看到希望。”希望大家都能有一个好结果!
400-029-0925




