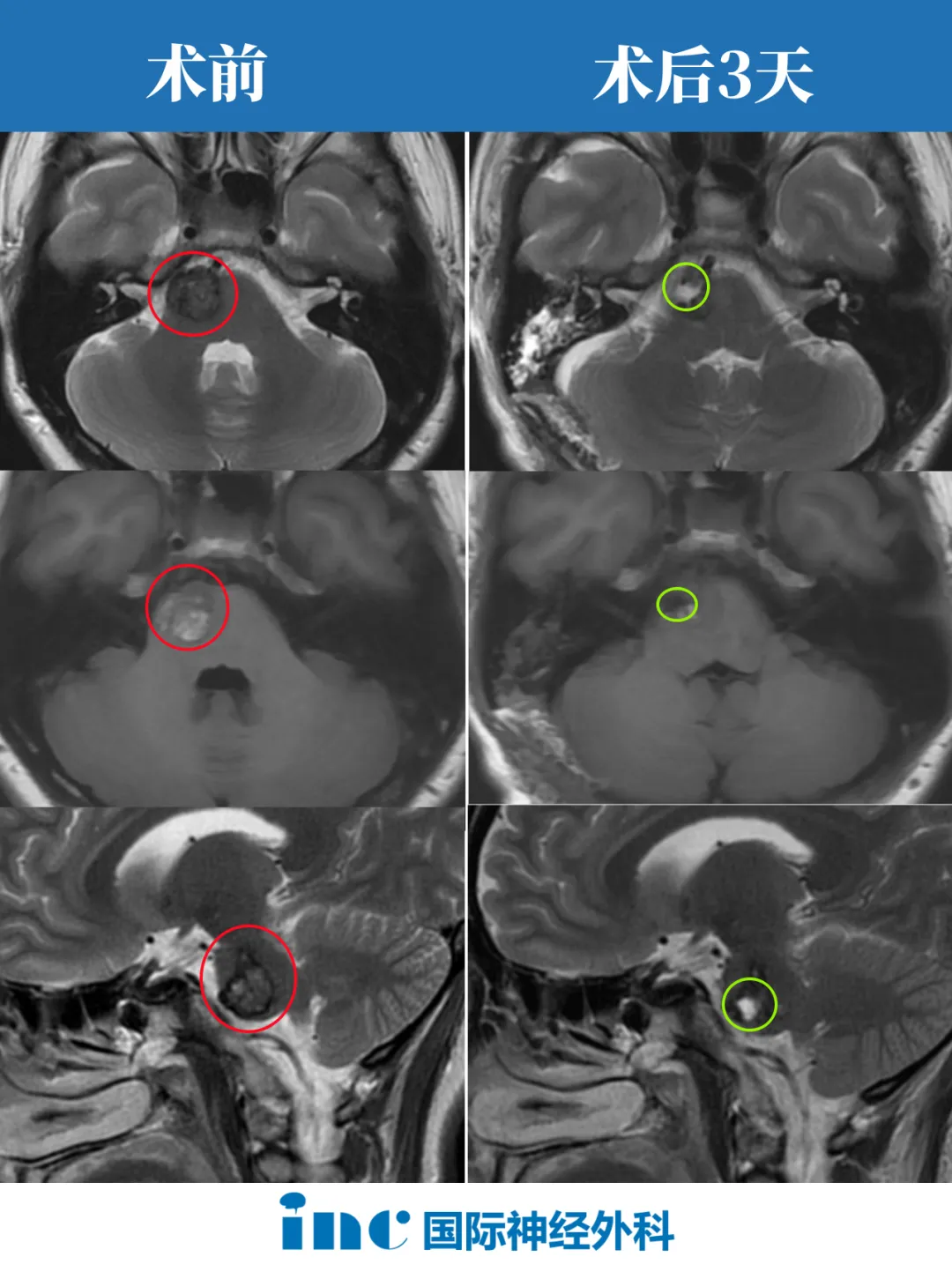
“海绵状血管瘤被切除了,所以健康的脑组织有膨胀,有点像海绵一样张开。这是正常的,海绵状血管瘤总是这样。但重要的是,它没有残瘤。”

2024年1月巴教授中国行期间,在苏州大学附属四医院,一场远程视频随访正在进行中。视频对面正是远在香港的脑干海绵状血管瘤患者37岁的佩珊。而在她传来的随访视频中,我们看到她行走自如,步伐自信而坚定,面部活动自如,微笑、咧嘴、转眼…,术前担心的偏瘫和面瘫都没有发生。

2023年9月,巴教授在苏州为佩珊顺利全切手术。如今手术过后3个月,由于远在香港,她选择了远程随访的方式。
一接通视频,我们便听到了佩珊熟悉的开朗的热情的声音。
“所以真的没有海绵状血管瘤了吗”
“没有了,没有残留!”巴教授耐心解答着佩珊,用越发流利的中文回答他
“那我就放心了,还有巴教授I love you!”
听到佩珊突然而来的“表白”感谢,巴教授及INC工作人员都笑了。回想起手术前那个焦虑、抑郁、寝室不安的佩珊,我们都为她的蜕变迎来崭新的生活感到开心。
“做了可能会偏瘫、面瘫”,令人恐惧的脑干出血还有机会治愈吗?
“我从香港过来,香港没一个医生能够保障不偏瘫、面瘫,所以我们才来这里找巴教授,我就是害怕会偏瘫。也很害怕本身的压力会带来不好的结果。我太紧张了,有点晕了,这两天老是哭”,2023年9月巴教授中国行中,我们一开始见到37岁的脑干海绵状血管瘤患者——从香港远道而来的女士佩珊,脆弱、焦虑、痛苦,因为这个随时可能“爆炸”的脑干海绵状血管瘤,她寝食难安。而在见到能“救命”的脑干手术教授巴教授后——这股长期的压抑也倾泻而出。在INC术后采访的镜头里,佩珊跟我们诉说着术前她的恐惧。
inc:佩珊术前是什么情况?有出过血吗?
佩珊:出过一次,大概7月31号。出血后就没力气了,在香港当地医院做核磁,发现脑干那里出血了。出血后左边身没力,左边脚没力。后面就慢慢恢复了。我是出过一次血,恢复了全部正常,就不想出二次血,就很怕出二次血。
inc:香港那边的医生是怎么跟你们评估的呢?
佩珊:不敢做,那边的医生都说做了会偏瘫、还会面瘫。我就想我说我不想一辈子都是要保守,我说我想做,他们也叫我不建议做。他说我这个地方风险很大,如果你准备好心态,如果做了有偏瘫、面瘫,你能接受就可以做,我肯定不敢。叫我不能大声,我就一直在那里大声哭了,心想爆死了算了。叫我吃止血药,所以都是说没办法等着他爆了再做,等它严重了可能瘫痪了你才去医院,他才敢帮你做。
香港→苏州,不远千里只为一个顺利手术的机会
inc:您是如何找到INC?找到巴教授的?
佩珊:在网上看了巴教授,只有他让我有信心。我是先联系你们INC,因为刚开始在网上看也不知道信不信得过。跟巴教授视频过以后,就觉得是他了。还有网上我也问了,在小红书上问了也有很多人,找了有3个人也在巴教授这里做的,有一个女孩子也说本身她已经有点瘫痪了,也找巴教授做完之后可以走路了。我现在做完我也说了,巴教授太神奇了。
2023年巴教授9月中国行期间,佩珊找到INC国际神经外科医生集团旗下国际神经外科顾问团成员——国际脑干手术教授巴教授,寻求巴教授手术评估,争取示范手术机会。
inc:您还记得当时教授对您评估是什么样的?
佩珊:巴教授回答我是不会面瘫跟偏瘫,我觉得是不是真的那么的厉害,真的没想到能够这样子。
巴教授远程邮件评估:
“我可以为患者完全顺利切除病灶。风险是已经由出血引起的感觉运动缺陷的暂时性的,轻微的听力缺陷和轻微的面部无力,然而,这些副作用无论如何都只是暂时的。手术后出现这种症状的风险可能是5-6%,如果确定是术后出现的,那这种缺陷在手术后1-3个月内得到解决”

9月23日远程咨询:
”如果我进行手术,不会发生偏瘫""我对这种脑干病变有丰富和长期的经验,我很清楚如何避免这种缺陷,包括面瘫"。
“巴教授真的太神奇了!”顺利全切手术,术后快乐的她又回来了
术前谈话时,巴教授安慰紧张的佩珊。”手术风险小,你不用害怕,会全切“巴教授也用中文告诉佩珊”在病房有两个女生我的病人,昨天以及前天的脑干部手术,你可以看一看。“

巴教授为佩珊演示佩珊手术的切口入路位置,届时只会剔除耳后的少量头发,佩珊可以保留自己的长发,不影响术后美观
2023年巴教授9月中国行期间,一场疑难脑瘤示范手术成功拯救了年轻的佩珊于病魔的阴影之中。经INC巴教授成功手术后,不仅得到了全切,且较害怕的偏瘫、面瘫等也没有发生,也不需要后续放疗辅助,在ICU待了一天就出来了。这个结果对37岁的脑干海绵状血管瘤患者佩珊来说也是幸运之神降临。

术后3天,巴教授查房时,佩珊看到前来问候查房的巴教授时,手舞足蹈、开心比心。兴奋的她激动得对巴教授“表白”感谢:“巴教授您太帅了,I Love you!巴教授也跟佩珊开心得比心。她的治疗路上充满挣扎和痛苦,但更多的却是驱散黑暗的明媚阳光。

inc:术后对比起来,您感觉怎么样?
佩珊:现在我觉得很好、很好,四肢完全正常。就感觉有点胀胀的,其他都没事,完全没问题。听力也很好,眼睛、复视什么都没有,走路那些也挺好的。我昨天都走路了。感到很开心,幸运了,完全没问题,我真的是我刚睡醒我就摸一下脸有没有看面瘫,手脚都是用都没事,就觉得好幸运。真的感谢巴教授,很厉害的,真的救了我们,救了大家。

术后佩珊和巴教授开心合影
总结
哪怕远在香港,INC工作人员也一直关注着佩珊的恢复情况,进行着定期的随访工作,及时解答了佩珊相关的疑问。对于还在住院期间的患者,巴教授也关心,术后也会经常给中国手术团队提供一些意见,如何确定患者术后顺利康复出院。
“幸运”,是佩珊访谈中较常提到的一个词。这是一场成功的冒险。之所以能成功,离不开丈夫和母亲的支持与鼓励、对巴教授的信任,较重要的是自己面对病魔时想要战胜的决心。如今,巴教授一次次远赴中国进行示范教学手术,更多患者将有机会得到这位国际颅底脑干手术教授的亲自手术。我们相信这样“绝处逢生”的故事,会越来越多。
400-029-0925




