当脑肿瘤长到“手术禁区”脑干,四处艰难求诊后听到的声音都是手术后呼吸困难、昏迷风险大,有可能大脑就“死机”、再也无法“开机”了,这是多么让人绝望的无奈……
“最终让我下定决心的是,同样都会开车(神经外科手术)的人,他专门开这种车,他必须要去熟悉,不会慌。大脑手术也是一样,他‘开机'以后会应变,因为具备丰富的成功经验。我女儿一直在看直播,和我说肿瘤切出来了,一整块,我们激动得跳起来。”
——脑干延髓海绵状血管瘤患者父亲
在孩子生病的时候,父母的心思只有一个,就是把孩子治好。今天的故事,是一位脑干海绵状血管瘤患者父亲介绍孩子治疗疾病的经历,他希望帮助更多的病友及家属。在整个采访中眼神中充满了幸福与自豪,为了这份阖家团圆,这个家庭并肩走过艰难的治疗之路,最终打赢了这场与脑干海绵状血管瘤的战争。这台全国直播的延髓手术,究竟发生了什么?
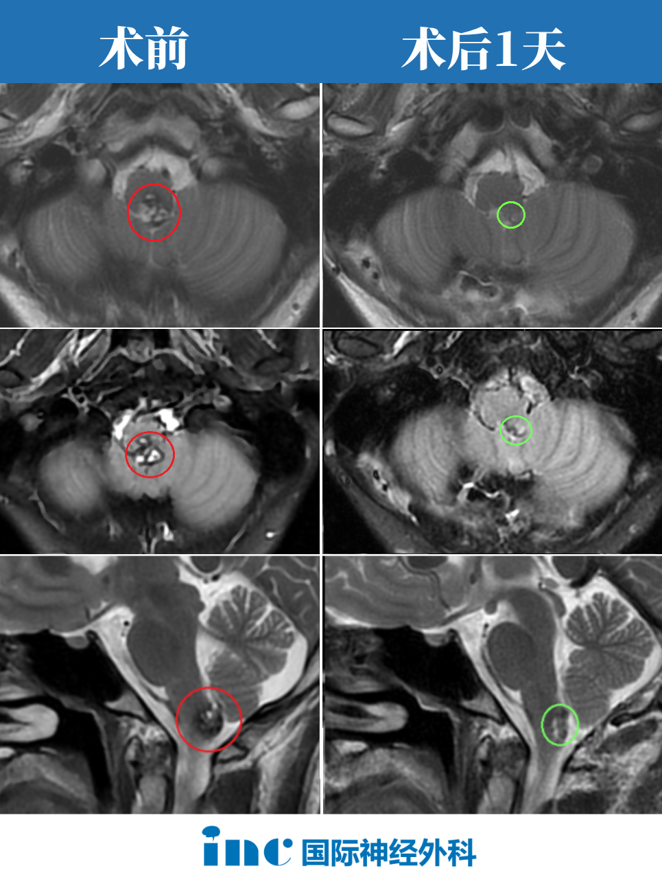
19岁脑干延髓海绵状血管瘤
阿朔病史摘要
脑干延髓是心跳、呼吸等关键生命中枢,神经核团高度密集,脑干海绵状血管瘤有反复出血造成肢体瘫痪、呼吸困难无力甚至昏迷等风险,手术一直以来都是难题。
19岁的阿朔(患者化名)是一个非常乐观、懂事的孩子。正在读大学的他对于未来也做了非常多的规划,本该意气风发、挥斥方遒的他——却查出脑干延髓海绵状血管瘤......这个结果,让阿朔全家人,都懵了。

自打确诊后的那一天起,阿朔爸爸带着儿子四处寻医,而正如他所说的,脑干延髓位置的肿瘤,难度和风险太高,求医之路并不顺利。“他就说,做这个手术,你要冒着生命危险,有两个危险:第一,你可能瘫痪;第二,你可能脖子以下半身不遂。”

作为父母无论如何都愿意为孩子争取更好的,孩子才19岁,”他是很好强的一个人,什么奖学金什么的,什么事情他都要做到最好!但那件事情完了以后,我儿子整个心态就崩了。“如果一直在煎熬和恐惧中度过,人生还有何意义?"你如果敢赌它一辈子不出血,那也有可能......但谁也不敢保证它不会发作!"如果一旦大量出血,孩子可能瘫痪,甚至可能再也见不到孩子的笑脸。
然而,从咨询完巴教授到最终决定手术,这个过程并不容易。同样是出于对于阿朔的关爱,阿朔爸爸周围充满了不同意见......他们害怕,如此短的时间做出决定,是否会“害了孩子”。作为一家之主,阿朔爸爸承受了巨大的压力,很多人可能很难感同身受。但是作为孩子父亲,不仅有要有着为孩子付出一切的勇气,还要面对的是一旦做出选择,孩子万一出现什么情况之后又该如何应对。
阿朔爸爸深知:"唯有手术,才能真正改变。"最终为了让孩子彻底摆脱这个病魔,阿朔爸爸力排众议,为儿子争取了手术。成功手术后,阿朔也非常自豪,对他来说也是闯过了这个难关,也是一个英雄。他一直安慰父亲,“我一切都正常啊,什么事都没有。”在此时,阿朔爸爸很欣慰,这个男孩真的长大了。”

感谢阿朔爸爸
为更多的病友分享成功治疗的经验
01
“真的很神奇,
做得这么干净,做得这么好”
INC:这次孩子发病是很偶然的吗?
阿朔爸爸:完全没想到,以为感冒了。第二次头很胀很痛,他很怕痛,马上去做CT,CT检查有异常。第二天又做磁共振加强,显示病灶在脑干。整个就懵了,这个部分不是说随便都可以做的。然后我在我们当地所有的医院都问过,都建议进一步保守治疗,让不要出国,不要剧烈运动,晚上不能熬夜,不能吃辛辣,啥都不能吃……专家观察完以后就说,做这个手术你要冒着生命的危险。有两个风险,第一有可能瘫痪,第二有可能脖子以下变成植物人。我说这样子那有什么意义啊,这个肯定不行。
医学这么发达,怎么会有这种情况。我们又不懂,去了大医院答复也是一样,说这个肯定要做掉,你敢赌他一辈子都不会出出血?谁也不敢保证他会发作,也不敢保证他不会发作……
才一个多月以后,我们整个心态就崩裂了。我心想这个病即使不出血,人也会抑郁的。他是很好强的一个人,什么事情他都要做到最好。作为父母无论如何都要为孩子争取好的。
我就到处去问,了解到巴教授。我们先咨询了,巴教授说的话让我们放心。

远程咨询中,巴教授回答关于手术难度的问题
但是家里也不同意,说这个外国人做完以后不管了,那你怎么办?最终还是我拿主意,我就跟他们说,他做的话,孩子肯定没有生命危险,除非你自己有基础病。
让我下定决心的是,同样都会开车的人,他专门开这种车,他必须要去熟悉,心不会慌。大脑手术也是一样,他开机以后会应变,因为具备丰富的成功经验。
整个做完以后包括片子拍出来以后,我也给我们那的神经外科医生看。一看,他说:唉呀,真的很神奇,做的这么干净,做的这么好。关键是恢复的也这么快,1天就出ICU了,而且神志这么清晰。我儿子就继续给他打电话,他说不可能吧。
我说他在ICU里面就已经给我打电话了,给我发视频。第二天差不多真正已经可以下地了,48时以后磁共振做完,自己走进去做的。到现在为止,人的反应、神志、吞咽能力等基础功能都非常好。就剩下手麻,我觉得后期肯定都可以恢复好。没问题、非常好!到目前为止我真的没什么太大担心,真的没太担心。

术后第一天巴教授ICU查房,阿朔意识清楚、对答入流、四肢活动灵活
02
“人等待时间是最煎熬的,
真的要做手术了他就很开心”
INC:您是一个大家族,做这个决定也要承受很大的压力,如何下定决心?
阿朔爸爸:我们兄弟姐妹比较多,他们问我:你考虑清楚了?我说这个毫无疑问的,你肯定要做掉,刚好有这样的机会。其实我父母以及身边最好的朋友不建议这么快做,即使要做也要等他真的有出血了再去做。等到再次出血,是否会出血不知道,但是这个过程小孩子很很煎熬。即使都不出血,我就怕这个煎熬过程小孩子受不了。
INC:那孩子对于他自己这个手术怎么想?
阿朔爸爸:他起初不建议我找巴教授,花这么多钱。其实对于手术他一点都不担心,他说老爸我知道巴特朗菲教授,我读过他的书,知道这个人,非常厉害。
术前的第一个晚上他说他睡不着,有点担心。我安慰他不要害怕,他的心态就是很想快点把这个东西结束掉。如果切不掉怎么办,那我会崩溃掉,他一次一次渴望。人等待时间是最煎熬的,真的要做手术了他就很开心。
他的手术有直播,我是不敢看那个画面。我女儿一直在看,和我说肿瘤切出来了,一整块。拿出来以后,有仪器检测,显示生命体征都很正常。我们可能懂一点点,就看那个监测仪,血压、心跳等都属于正常。

阿朔手术直播中,在术中神经电生理监测下,巴教授顺利全切取出肿瘤
真的是太煎熬了,因为我跟我老婆都是一样担心,但是我不能表达出来。我女儿就说:你怕什么,我很相信他呀!就等着结果就可以了!你相信他你怎么会紧张,我感觉他做的绝对没问题的。我女儿真正抱着一种很放心,她可能书看的多,对教授了解的多。我们可能就是就是怕手术结果不好。
我心里想这么小的孩子遭受这些确实难受,出来可能浑身疼痛,身上到处插的满满的针和管子,想到这个就是难受。但实际上没有这些情况。
03
“老爸没事没事,我都可以”
INC:您记得嗯就是他能进到ICU之后他跟您视频还或者是他从这个ICU出来之后见到您的第一句话是什么吗?
阿朔爸爸:他还没醒的时候,我有叫他。去做CT的时候,还没醒,我叫他名字,我说你眼睛睁一下,只能睁一点点。但是意识是清醒的,ICU出来以后到普通病房的时候,一看他那时候人根本不是病人一样,很清醒。他说:老爸没事没事,我都可以。在ICU里面的点点滴滴都告诉了我,护士给他擦身体,喂粥……巴教授查房时,他自己和教授现场英语交流。

术后第5天,巴教授病房查房,阿朔和教授交流中
他出来以后一直安慰我,我一切都正常啊,什么事都没有。
INC:那个时候您是不是感觉到孩子真的长大了?
阿朔爸爸:真的,在里面就感觉害怕我们会担心,老是发信息告诉我说,老爸你看我好了,没事啊!
ICU里,我一直跟他跟他聊天,状态很好,手机一直玩啊。跟这个发消息,跟那个发消息,说我做好了,我做成功了,我很好啊!
INC:在整个过程当中,包括这个手术结果能达到您的预期了吗?
阿朔爸爸:达到了!绝对达到了!甚至现在一些像目前手部轻微麻木肯定可以修复。昨天晚上我给他搓背、泡脚,今天感觉好多了。头晕我告诉他不急,现在术后才不到一周,要给时间恢复,而且我认为都可以恢复的。

术后第8天教授查房,阿朔恢复得很好,得知教授要来查房看望,他特意穿上了帅气的西装,活动行走自如
04
“手术跟买东西跟做生意不一样的,
哪怕细微的损伤都无法承受”
INC:孩子得了一个这样的一个病,也经历了过这么多,您作为亲历者一直陪伴着他。你有没有想对于这类似这样的一些患者或者患者的这个家长有没有什么想说的?
阿朔爸爸:作为家长,虽然孩子已经读大学了,但是对我们来说还是小孩子,没有经历、没有社会阅历、对于手术的风险,知道的肯定比我们少。我就一直鼓励他,让他放心。他进去的时候,在门口告诉他放心,老爸在那边等你啊。他说我在ICU的时候,你要上门口等我。我说可以啊,我都在门口等你啊。让他感觉到安全感。我是教育小孩,大部分是让自己吃饭,不能什么东西都给他做好了。
手术跟买东西跟做生意不一样的,只要在手术过程当中,哪怕是小小细微的神经损伤,人的恢复过程、难受程度、甚至于不能自理……海绵状血管瘤其实不是瘤,如果割得好的话会几十年都不会长。你是良性的,不怕。
后记
当看到阿朔爸爸对孩子整个治疗过程事无巨细的描述时,我不禁感叹为人父母的细致和伟大。阿朔今年19岁,从他的视频和与他的交谈中,丝毫看不出他曾被脑瘤这一病魔纠缠。灿烂的笑容令我们印象深刻,我们感慨生命的顽强与伟大,或许就在于此——于绝境中挣扎求生,充满着阳光与自信。
在采访阿朔爸爸时,感受到这位爸爸坚实而不易外露的心疼与爱。但那些深埋于言语与文字背后的压力、心酸、疼痛,也许只有真正体会过的人,才能真的明白。当然正是因为这份家人的爱,为孩子遮风挡雨,每一棵小树才能长成参天大树。
400-029-0925




