在后颅窝肿瘤“家族”「上篇」中,我们已经介绍了后颅窝肿瘤所包含的五种较为常见的肿瘤,但是由于后颅窝在大脑中所处的位置复杂,一旦发生病变,其病种也堪称“五花八门”。
除了上篇所提到的五个肿瘤病种,后颅窝肿瘤还包含胆脂瘤、脊索瘤、血管母细胞瘤、原始神经外胚层肿瘤(PNET)、海绵状血管瘤等几个比较常见的肿瘤,下篇将接着介绍以上5种类型的肿瘤,以及治疗中的手术入路、术中/后风险、INC国际神经外科专家团相关案例等。
后颅窝常见的十大肿瘤(下)
后颅窝所在的区域空间小,结构又十分重要,早期的症状以颅内高压较为典型,如果影响到小脑,还会出现走路不稳、平衡功能不好、手的定向功能不准等问题,有些还会引起脑干和颅神经的症状,比如面部疼痛麻木、面瘫、嘴角歪、声音嘶哑、心率慢等。因此,一旦发现病变,应及时介入,积极治疗。
#后颅窝肿瘤十大常见肿瘤(接上篇)
06胆脂瘤(表皮样囊肿)
胆脂瘤(CHOLESTEATOMA)又名珍珠瘤、表皮样囊肿,本质上并不是癌性肿瘤,而是由含有角蛋白和皮脂的囊状物组成,是一种罕见的生长缓慢的良性病变,占颅内肿瘤的0.2%~1.8%。
颅内表皮样囊肿是先天性由异常的外胚层细胞形成,在妊娠第3~5周胚胎发育过程中被捕获。组织病理学表现为鳞状角质化上皮的珍珠样病变。
胆脂瘤常见于脑桥小脑三角CPA、第四脑室、鞍上区域、脊髓,罕见情况下可出现在脑实质、脑室或脑干内。
患者常出现听力下降、耳鸣、眩晕等症状。如果肿瘤增大,还可能压迫面神经,导致面部麻木或面瘫。
手术是主要治疗方法,通常需要尽可能清除,以减少复发风险。
07脊索瘤
脊索瘤是罕见的肉瘤亚型,起源于脊索残留组织,通常位于颅底或脊柱基底部,包括枕骨周围和延髓区域,其中颅底脊索瘤约占1/3。
由于脊索瘤通常具有侵袭性且位置复杂,容易侵入周围的骨骼结构,采用开颅显微镜进行切除时,操作空间狭小,不易充分显露肿瘤,存在视觉“死角”,常常需要牵拉脑组织、跨越神经和血管,因此切除难度较大,通常需要手术联合放疗。
而自20世纪90年代,以神经内镜作为照明及成像设备、经自然腔道的内镜手术在神经外科的兴起,为治疗颅底脊索瘤提供了新的可能性。
神经内镜对颜面外观的影响小、易于直接处理受累的颅底骨质和硬膜,对神经血管结构影响小。这些特点使神经内镜在处理深部、隐匿的病变时具有明显的优势。INC国际神经外科专家Sebastien Froelich教授团队正属于其中的先行者。
早在2011年,Sebastien Froelich教授团队就曾使用神经内镜经单鼻孔入路成功夹闭颅内前交通动脉瘤,这在国际神经外科领域内属于首创。
08血管母细胞瘤
血管母细胞瘤又称血管网织细胞瘤(hemangioblastoma,HB),起源于中胚叶的胚胎残余组织,常见于小脑和脊髓,也见于后颅窝其他部位,是一种先天胚胎性血管源性良性肿瘤。
大部分的脊髓HB常伴发血管畸形,有出血风险,并可能与遗传性疾病(如冯·希佩尔-林道病)相关。
对于病人表现为后颅窝症状者容易被遗漏。孤立性血管母细胞瘤病人预后良好,可以通过手术切除,达到治疗效果,有时需要联合放疗。
随着神经影像技术以及显微外科技术的发展,HB患者的死亡率及致残率较前相比均有明显下降。部分HB患者通过手术全切可以达到肿瘤治愈的治疗效果,并且精湛的手术技术可明显改善患者的临床症状并降低死亡率。
09原始神经外胚层肿瘤(PNET)
PNET是一种高恶性肿瘤,为神经嵴衍生的较原始的肿瘤,主要由原始神经上皮产生,具有多向分化的潜能。
通常发生在儿童后颅窝区域,类似于髓母细胞瘤。通常生长迅速,具有高度侵袭性,并且容易通过脑脊液播散。
组织形态学属于恶性小圆细胞肿瘤,分为中枢性和外周性,外周性较常见,中枢性原始神经外胚层肿瘤相对较少见,而幕上原始神经外胚层肿瘤更为罕见,仅占整个脑肿瘤的0.1%左右。
PNET一般需要综合治疗,包括手术、放疗和化疗。
10海绵状血管瘤
海绵状血管瘤虽有“瘤”字,但本质并不是肿瘤,它是一种血管异常发育形成的病变,由扩张、薄壁的小血管团块组成。后颅窝的海绵状血管瘤主要见于小脑和脑干(特别是脑桥区域)。
由于脑血管壁非常薄,缺乏正常的平滑肌层和弹力纤维,不但容易出血,且多次出血后形成沉积含铁血黄素的纤维组织。
尽管其表面没有明显的出血迹象,但病灶内的微小血管却很脆弱,非常容易导致反复的小规模出血。
尤其是脑干海绵状血管瘤,它的首次出血率仅为0.6%-1.1%,而再次出血率则可高达30%-60%。
此后出血间隔期会越来越短,往往每一次出血,都伴随着症状的进行性加重,神经系统症状恢复的可能性非常低,危险性会越来越高,当脑干出血量达10ml时死亡率近乎100%。
位于脑桥的海绵状血管瘤还可能导致神经功能缺损,如面瘫、吞咽困难、声音嘶哑、复视、眼球运动障碍等。
手术切除是首选治疗,尤其对于反复出血、症状明显或导致神经功能缺损的病变者。由于后颅窝解剖结构复杂,手术难度较大,需要经验丰富的神经外科团队进行操作。
后颅窝常见的手术入路(下)
上篇中介绍的五种手术入路均为后颅窝手术治疗中较为常见的入路,除此之外,还存在其余几种常见的手术入路。

#手术入路(接上篇)
06经小脑幕上入路(经枕下幕上入路)
主要用于松果体区肿瘤和位于小脑幕上缘的肿瘤。
通过切开小脑幕上部位进入后颅窝,以获得对松果体区和大脑上方区域的较好视野。
这种入路可以避免对小脑的干扰,适合病灶位置较高的肿瘤。
07经岩骨入路
分为部分岩骨切除和全岩骨切除,适用于部分桥小脑角区肿瘤和颞骨基底肿瘤。
手术时需要磨除岩骨,患者侧卧或仰卧,通过切口进入后颅窝基底部。
该入路能够接近颅底结构,同时提供较好的视野,但风险较高且可能影响听力。
08经枕骨联合经岩骨入路
结合枕骨入路和岩骨入路,用于位于枕骨基底部和岩骨附近的大型肿瘤。
通过联合切口获得更广阔的手术视野,适合复杂肿瘤。
手术过程复杂,风险较高,需要术者具备丰富的颅底手术经验。
09经膜髓帆入路
经膜髓帆入路避开了大部分重要神经结构和血管,创伤较小,降低了手术对周围组织的干扰。
该入路可从小脑上部较直接到达第四脑室顶部的病变,减少了对脑干和小脑的压迫,并获得较好的手术视野,更好地定位肿瘤或病变。
经膜髓帆入路适合切除深部、位置较为复杂的脑干、第四脑室顶部肿瘤。特别适合一些不能通过常规方法切除的病变。
尽管此方法提供了进入第四脑室的途径,但由于膜髓帆较薄,手术操作空间有限,不适合较大或扩展到其他区域的肿瘤。
技术难度较高:手术路径较深,尤其在小空间内操作,增加了对外科医生精细操作的要求。
后颅窝常见手术风险(下)
后颅窝肿瘤手术由于涉及脑干、小脑、颅神经和重要血管,手术风险较大,常见风险除上篇提到之外,还包括以下几个方面:
#手术风险(接上篇)
06感染
手术部位的感染(如脑膜炎或脑脓肿)是所有脑部手术的潜在风险。
感染可能导致发热、头痛、意识障碍等,通常需要长时间的抗生素治疗,有时还需进行手术清除感染病灶。
07脑脊液漏
后颅窝手术涉及脑脊液的流通系统,有引发脑脊液漏的风险。术后脑脊液漏可能出现于切口处或鼻腔(经鼻入路手术)。
脑脊液漏会增加感染风险,严重时需再次手术修补。
08颅内压升高
后手术过程中或术后,颅内压升高可能引发头痛、恶心、呕吐,甚至意识障碍。
如果无法通过药物控制,可能需要引流或进行紧急手术来缓解压力。
09脑梗塞
后颅窝手术中损伤重要血管可能导致脑梗塞,尤其是小脑和脑干区域的梗塞。
患者术后可能会出现局部神经功能缺失,如偏瘫、共济失调等症状,且恢复时间较长。
10神经功能障碍
脑干和小脑的损伤可能导致术后长期或永久性神经功能障碍,如肢体无力、共济失调、吞咽困难、言语障碍等。
术后需进行康复治疗,但恢复的程度视损伤程度而定。
11呼吸和循环功能异常
因脑干受损或手术过程中刺激神经,可能导致呼吸和循环功能的异常。
严重情况下可能需要使用呼吸机支持或药物维持循环稳定。
12意识障碍或昏迷
手术过程中因脑干受损或术后出血,可能导致意识障碍,甚至昏迷。
意识障碍通常是脑部严重损伤的表现,预后较差。
后颅窝肿瘤手术是高风险的手术,涉及多种重要结构,风险包括脑干损伤、脑积水、颅神经损伤、小脑损伤、术后出血、感染、脑脊液漏等。
由于手术难度高,术后患者需接受严密监测和康复治疗。风险评估和手术计划在术前尤为重要,以尽量减少这些并发症的发生。
INC国际教授案例分享(下)
INC国际神经外科医生集团致力于各种疑难神经外科疾病的治疗,其中巴特朗菲教授10月中国行正在进行中,尤其擅长大脑半球病变、脑干病变、脑血管疾病、脑内深层区胶质瘤、颅颈交界处的病变等的肿瘤切除术、神经吻合术以及各种椎管内肿瘤等。INC国际神经外科专家团在后颅窝肿瘤的治疗上也有众多成功的案例。
大脑镰旁巨大脑膜瘤,INC巴教授如何顺利全切
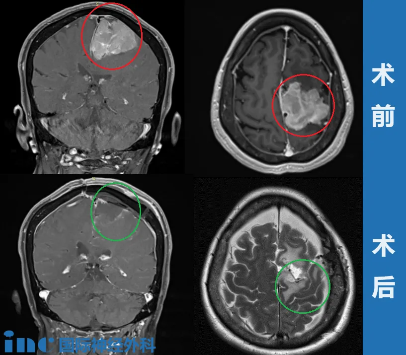
年过花甲的退休老师王女士因为患上“左侧额部大脑镰旁脑膜瘤”饱受愈演愈烈的头痛、癫痫、肢体无力的折磨,保守治疗已经令她痛苦不堪,可是由于肿瘤靠近大静脉窦和运动功能区,手术难以全切,易复发,且术后致瘫风险很大(60-100%不等)。
经过多次筛选和考量,王女士找到INC德国巴特朗菲教授。术前MRI显示左侧大脑镰旁巨大脑膜瘤,钙化和瘤周压迫、水肿效应明显。
巴教授为其进行左侧额叶到额顶叶旁矢状面的成骨性环锯术和显微外科脑膜瘤切除术、自体骨膜移植的硬脑膜成形术。
手术成功,肿瘤全切、矢状窦成功重建、运动功能区无损伤。术后影像显示肿瘤肉眼下全切,可见局部组织缺陷,水肿效应存在,被压迫正常脑组织缓慢复位。

术后第二天下午,王女士就能在医院护理人员的搀扶下进行走路康复训练。术后一周多已经恢复得和正常人一样,精神状态很好,可以在医院内自由散步,术后两周王女士顺利出院回国。

斜坡脊索瘤延伸乙状窦、海绵窦,INC福教授二次手术全切
26岁女性,阵发性复视,进行性左外展神经麻痹,MRI显示斜坡巨大脊索瘤,病变浸润性生长,肿瘤延伸浸润至乙状窦(SS)、左侧海绵窦(CS)、下斜坡到脑干脚间池硬膜部分(图A、B)。

该名女士找到INC福教授进行手术,第一期手术,福教授采用联合内镜鼻内入路(EEA)切除硬膜外部分重量,对于硬膜内部分肿瘤采用经颅入路,以降低脑脊液漏和神经血管损伤的风险。
首先,进行内镜鼻内活检,显示典型的脊索瘤。然后,她接受了内镜经鼻入路手术,从硬膜外部分切除到斜坡和海绵窦部分的肿瘤(图C、D)。

2个月后,进行第二次手术,使用右侧mini经岩骨入路切除硬膜内肿瘤。术后MRI显示肿瘤完全切除GTR(图E、F)。术后接受了质子束治疗(PBT)。5个月随访时,她的神经系统检查正常,头面部外观美容效果也非常好。

8岁儿童患松果体肿瘤,赴德寻求INC巴教授手术
2019年,8岁的小志突然因为恶心呕吐,并且还伴有头晕。父母带小志到当地医院进行检查,发现松果体区长了肿瘤,并且肿瘤还导致了幕上梗阻性脑积水。
一家人问遍了国内各地专家,得到的答复多是建议做脑脊液分流加辅助放化疗。在多方搜寻下,小志的家人带其前往巴特朗菲教授所在的德国汉诺威国际神经学研究所(INI)接受手术治疗。
手术过程中,患者俯卧位,后正中头皮切口,取幕下小脑上入路结合幕上枕下乙状窦旁经小脑幕入路,最终肿瘤得以全切除,且尽力减少了组织的损伤,对预防后期肿瘤的复发起到了极大作用。

术后第一天小志依然保持清醒状态,在术后ICU观察两天之后情况良好,无明显并发症并且顺利出院。小志之前的各种症状慢慢消失,恢复了正常机体功能,最近复查时肿瘤也并无增长。
- 文章标题:后颅窝肿瘤“家族”大调查!如何才能有效制止总是“捣乱”的它们?(下篇)
- 更新时间:2024-12-04 17:21:41
400-029-0925


