
小脑,是运动的重要调节中枢,它使人体运动保持协调。同时,小脑在维持身体平衡方面也起着重要作用。而一旦小脑周围脑组织或相关联的神经,因各种原因(如小脑萎缩、肿瘤等)被破坏或损伤,患者可表现出头晕、步态不稳、肢体活动不协调、言语功能障碍等小脑性共济失调症状。小脑发育不良性神经节细胞瘤,就是各类小脑肿瘤中相当少见的一种,但其对患者健康的威胁却不容小觑。

小脑发育不良性神经节细胞瘤是良性还是恶性?
小脑发育不良性神经节细胞瘤(dysplastic cerebellar gangliocytoma)又名Lhermitte—Duclos病(Lhermitte—Duclosdisease,LDD),是一种极为罕见的颅内良性肿瘤,由发育不良的神经节细胞构成的良性小脑肿块。WHO分类为I级,虽然已经有一些复发的发育不良的小脑神经节细胞瘤的报道,但预后良好,大多数患者通过手术治愈。

肿瘤位于小脑半球,生长缓慢,通常为单侧(不偏好侧)。很少有双侧肿瘤的报道。手术切除肿瘤为其主要治疗方法。依据第5版WHO CNS肿瘤分类,属于胶质神经元与神经元肿瘤,WHO-1 级。小脑发育不良性节细胞瘤可呈家族性或散发性方式发病。针对小脑发育不良性节细胞瘤患者的分子研究提示,PTEN/AKT通路(细胞生长的主要调节器)出现异常的频率较高。同样,该肿瘤与Cowden综合征有关,这种常染色体显性遗传病的特征是多发性错构生长病灶,乳腺癌、子宫癌和甲状腺癌的发病率增高,以及PTEN基因种系突变,需要引起关注。
组织起源
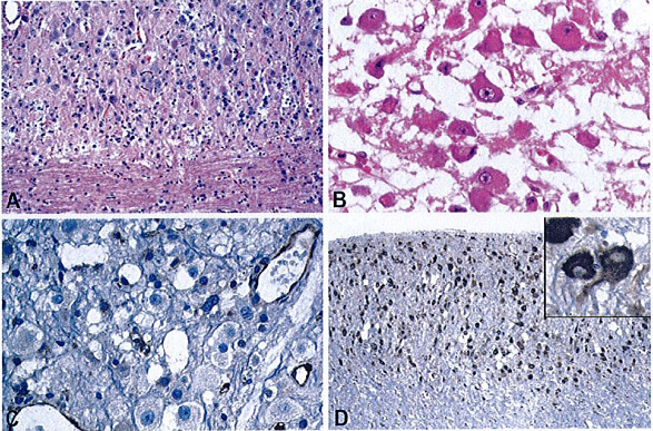
目前尚不清楚小脑发育不良性节细胞瘤是小脑皮质瘤性还是错构瘤性病变;如果是瘤性,则对应WHO 1级。其组织学表现为小脑白质减少,并存在异常肥大的神经节细胞,与浦肯野细胞颇为相似。

图:小脑发育不良性节细胞瘤的组织学特点。A小脑内颗粒层(图上方)充满了发育不良的神经节细胞:;B高倍视野下的神经节细胞;C免疫组织化学染色显示PTEN在增大的神经元不表达,而在血管中仍表达;D发育不良性神经节细胞磷酸化S6强阳性。
临床表现有哪些?
LDD患者早期症状轻微或无症状,部分于体检时发现。一般首发症状以颅内高压表现(头痛、恶心、呕吐)为主,其原因主要为肿瘤压迫第四脑室造成梗阻性脑积水所致;其次为后组脑神经麻痹(运动障碍、感觉障碍、吞咽困难、咽反射消失等)、小脑压迫症状(共济失调、辨距不良、步态不稳)等;而精神神经症状罕见。国内外多篇文献报道,部分LDD患者可合并Cowden综合征,后者为常染色体显性遗传病,以多种畸形或错构瘤样病变为特征,如巨脑、脊髓空洞症、多指(趾),以及皮肤黏膜或内脏多种肿瘤等。

最常见的表现为发音障碍或其他小脑体征,和/或梗阻性脑积水和颅内压增高的体征和症状。颅神经缺损、大头畸形和癫痫也常出现。术前症状有不同时期的报告,平均持续时间约为40个月。
影像学特点:虎纹征
1、虎纹征 :LDD的占位效应明显,可累及小脑蚓部、桥臂、第四脑室等结构,造成不同程度的梗阻性脑积水,部分可导致小脑扁桃体下疝。“虎纹征”为LDD 的典型MRI表现,T1WI 呈条纹状相间的等、低信号或层状排列结构,T2WI 呈条纹状相间的等、高信号,表现为在高信号区域里可见低信号的条纹状结构,即为“虎纹征”;这是由于小脑叶片异常神经元细胞的增生和过度髓鞘化,以及中央白质萎缩形成的疏松结构间的脑脊液所致。增强扫描见线样、条状强化或无强化病变,病变的强化可能与蛛网膜下腔小血管的异常有关。

2、肿瘤无强化:也是LDD的特征性MRI表现,由于病变区血脑屏障无明显破坏,无细胞外水肿,因此增强后肿瘤无明显强化。
需要与哪些疾病鉴别诊断?
LDD需与小脑肿瘤(如髓母细胞瘤、小脑星形细胞瘤及血管母细胞瘤等)、结节性硬化、小脑片状脑梗死以及小脑脑炎相鉴别。小脑肿瘤易发生坏死、囊变,信号不均匀,增强后实性成分强化明显,其中髓母细胞瘤好发于小脑蚓部,多见于儿童。结节性硬化好发于皮质下和室管膜下,其特征性表现为智力低下、癫痫、皮脂腺瘤三联征,可见结节影和钙化影。小脑片状脑梗死及小脑脑炎一般起病较急,而LDD进展缓慢。

目前首选治疗方法:手术全切
LDD病理可见肿瘤与周围小脑组织没有清晰的界限,存在一个逐渐过渡的区域,在术中多发现肿瘤与周围组织界限不清,这是肿瘤难以全切及术后复发的原因。术者应根据肿瘤质地尽量大范围切除,既要避免脑干等重要结构的损伤,又要避免肿瘤的残留。此时,术者的经验与术中导航超声等辅助设备显得尤为重要。否则,残余肿瘤极易复发。当然,对于合并梗阻性脑积水的患者,更应积极手术治疗,切除肿瘤的同时解除高颅压,挽救生命。全切肿瘤,则患者预后较好,但也要当心复发的可能。因此,对于小脑发育不良性神经节细胞瘤术后患者来说,遵照医嘱长期随诊仍然十分必要。
综上,LDD虽然少见,但其临床表现及影像学特点明显,术前较易诊断,手术是最佳治疗方法,肿瘤全切除较困难,但预后良好。因此想要最大程度降低手术并发症、且全切肿瘤的前提是选择一个手术经验丰富且技术高超的神经外科手术团队以及具备一系列先进术中神经导航设备等的医院。

小脑相关阅读:
- 警惕“发现即晚期”!这6大信号,如何早期发现儿童脑肿瘤
- 天坛医院手术纪实 | 小脑开颅术后90天,从“手术风险大”到自由奔跑的逆袭人生
- 开颅术后竟然“无语”了!小脑为何变得如此沉默?
- 巨大小脑-脑干胶质瘤全切术后2年半无复发、无后遗症
参考资料:
1.Helmut Bertalanffy. Dysplastic cerebellar gangliocytoma(Lhermitte-Duclos disease).Gliomas, glioneuronal tumours, and neuronal tumours
2.DOI:103760/cmajcn112050 2020103000559
- 文章标题:小脑里的“虎纹谜团”:LDD这神经节细胞瘤为何让你的四肢不听使唤?
- 更新时间:2025-07-24 11:16:19
400-029-0925


