
Iwa及Kolluri分别对比了65岁以上的颅内动脉瘤有蛛网膜下腔出血的患者及64岁以下的患者和大于30岁小于60岁的患者,结果认为老年患者临床症状三级(HuntandHess)的多:两组血管痉挛的发生率相...

要坚强,要战斗。 安迪舒尔(Andy Scholl)在接受手术前从父亲那里听到了这四个字,它们成为了他康复过程中的口头禅。 37岁的他一生都很活跃。他在堪萨斯大学打棒球,然后在海外教授...

脑动静脉畸形(AVM)在破裂出血前往往没有症状。一些患者确实出现了没有破裂的症状这往往发生在中年,男性比女性略多。症状的严重程度可能差异很大;在一些人身上,身体变得衰...

尽管各种脑血管畸形早已在文献中得到认可,但威廉麦考密克(William McCormick)在1966年因提出了这些病变的一个现代病理分类方案而受到称赞。他的影响在当代文献中显而易见,这些文...

原发性头皮肿块是由各种各样的先天性或后天性病变组成的,因此即使是它们的组织学诊断也可能具有挑战性。是在儿科人群中,需要做出鉴别诊断是很重要的,在这些人群中,这...

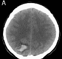
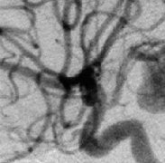
脑血管瘤并非不可治愈,虽然脑血管瘤破裂很危险,但手术治疗后一般无后遗症,较重要是及时而完全的治疗...

一位年仅29岁的女白领在网上发布了一个帖子,讲述了自己脑动脉瘤的发病过程。突如其来的脑出血差点让她丧命,幸好抢救及时,她才幸免于难。 其实,这位女士并非个例,因为脑动...

脑动脉瘤的定义、好发部位、诊断方法、预后影响因素,如何进行治疗和预防...

脑动脉瘤一旦破裂,凶险,且随时有再次出血的风险。到底什么人容易得脑动脉瘤?脑动脉瘤是怎么形成的?一文详细解答...

工作中途突然晕倒,结果查出来脑动脉瘤!老人打麻将一激动就头疼,竟然发现脑动脉瘤破裂……可怕的脑动脉瘤破裂出血,你知道多少...