
视神经胶质瘤怎么引起的?视觉系统肿瘤可发生于很多遗传性疾病中,比如1型神经纤维瘤病(NF1)中的视神经通路胶质瘤(OPG)...

分离到视神经神经胶质瘤(ONG)是视神经胶质瘤的一个亚组,其治疗仍有争议。大多数视神经胶质瘤存在某种形式的视觉症状,这些症状由肿瘤的位置决定。放射治疗:尽管放射疗法是...

视神经胶质瘤能治好吗?1型神经纤维瘤病中的视神经胶质瘤严重吗?NF1病几乎影响身体的每一个器官系统,具有广泛的临床分支,因此患有这种疾病的儿童和成人可能表现出色素异常...

视神经胶质瘤手术后视力还能恢复吗?视神经胶质瘤(OPG)是起源于视神经、视交叉、视束或下丘脑的低级别星形胶质瘤,会干扰患者视觉通路的功能并导致严重的视力丧失,是儿童中较...

颅内胶质瘤能治好吗?且胶质瘤的发病男性较多,这种情况在多形性胶质母细胞瘤(一种胶质瘤类型)更明显。间变胶质瘤(WHO3级)中位生存期在3-4年之间;间变胶质瘤(WHO3级)中位生...

儿童视神经胶质瘤肿瘤的大小和程度会影响肿瘤的表现,从单纯的视神经胶质瘤到更大的外生肿瘤,并延伸到下丘脑、垂体、三脑室和间脑。内分泌症状,如性早熟和间脑综合征,表...

视神经胶质瘤能做手术吗?医学人员表示还不清楚是什么导致了脑瘤,但研究发现,在儿童和青少年中诊断出的视神经胶质瘤中,约有50%与一种名为神经纤维瘤病(NF1)的遗传疾病有关。目...

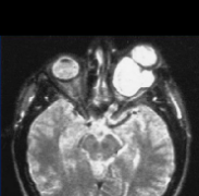
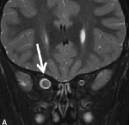
磁共振成像(MRI)是有用的迅速识别这些病理,以避免长期性视力丧失。在T2W图像上,显示中央等强度,周围高强度对应于神经周围蛛网膜神经胶质瘤。图3:NF1患者视神经胶质瘤。图...

成年期恶性视神经胶质瘤在病理学上被分类为间变性星形细胞瘤或多形性胶质母细胞瘤。在成年期恶性视神经胶质瘤综合征中,视力的逐渐丧失,视网膜中央静脉和/或动脉闭塞以及单眼...

什么是视神经胶质瘤?如何影像鉴别?视神经胶质瘤预后如何?一文带你看懂...