“在三个月的时候,我已经到日本出过差
包括工作、运动都已经恢复
我如果不手术
我将来的生活我是能够看得到的
那这个生活是不我不想要的”
……
2024年7月,INC工作人员采访了一位我们的老朋友——功能区海绵状血管瘤邓女士,在2024年3月巴教授中国行中,她顺利手术。如今手术已经过去了近4个月,目前的她已经基本恢复了术前的生活和运动。我们为她感到由衷高兴,同时也希望这位乐观强大的女性能够分享更多自己治疗的心路历程和术后的经验感受。为什么会选择巴教授手术?手术中有什么印象深刻的经历?术后有哪些经验想要分享的?一起来看看邓女士的精彩分享。
“我不能等倒下去了再手术”——坚定的信念和强大的人格魅力,2024年巴教授3月中国行示范手术患者邓女士给我们留下了深刻的印象。作为精英高管企业操盘手的她坚信自己的命运需要自己掌握,在体检无意查出功能区海绵状血管瘤后,她积极冷静得选择了治疗方案,最后在INC巴特朗菲教授的主刀下顺利全切肿瘤。

其实这并不是邓女士第一次术后随访,在2024年6月,邓女士术后3个月进行了术后复查,巴教授也对邓女士进行常规随访,在查看了邓女士的复查影像和视频后对她进行了随访,解答了邓女士的术后康复相关疑问。

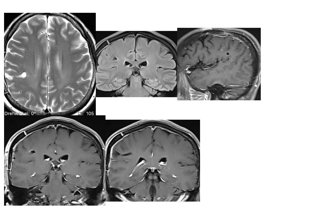
肿瘤全切了吗?术后是否复发?
复查MRI对比,右额后中央深层海绵状瘤完全切除,效果满意!
术后3个月,巴教授如何为她评估?


影像显示海绵状血管瘤被完全切除,没有任何不良副作用。代我向病人送上我的祝福,她应该充分放松,目前她(的恢复状况)一切良好。
术后多久可以健身?可以坐飞机吗
巴教授如何回复?


1.目前可以坐飞机的;
2.可以进行锻炼,从一些简单的动作做起,但要循序渐进,缓慢逐渐过渡到力量训练,也不要一下子上大重量的。
同在逆境中的病友相互搀扶,相互打气,相互鼓舞,分享经验。分享什么?分享信念和力量。我们也希望邓女士的力量能传递给那些和她一样,被困在治疗迷雾里的病友们,给他们一些方向,帮他们树立信心,帮助更多的家庭走过这一段艰难的求医之路。
- 文章标题:专访:她身患功能区海绵状血管瘤,拒绝“躺平”,以奋斗姿态战胜一切!
- 更新时间:2024-10-31 19:11:49
400-029-0925




