我们的大脑,如同一个精密的指挥中心,不同区域各司其职,管理着我们的运动、感觉、语言、视觉等一切活动。这些关键岗位,我们称之为“功能区”。
可当这个区域受到海绵状血管瘤的“威胁”,随时面临破裂出血的风险,一旦出血,就可能引发偏瘫、失语等严重神经功能障碍,瞬间改变一个人的生活......
阿勇30岁,功能区海绵状血管瘤
-病情发展-
从“写字困难”到“急性出血”
一年前,30岁的阿勇(化名)发现自己握笔的手越来越不听使唤——原本流畅的字迹变得歪歪扭扭,右手提重物时还会莫名无力。
这个平时热爱运动、身体硬朗的年轻人没太在意,直到症状持续了半个月,他才开始警觉。
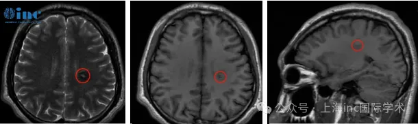
去医院做MRI检查那天,阿勇攥着报告单的手在发抖:左侧半卵圆中心区,长了一个8.0×11.0mm的“类圆形异常信号灶”,医生怀疑是功能区海绵状血管瘤。
2022年5月的MRI报告进一步证实:阿勇的血管瘤正处于急性出血期。这意味着,已经出血过一次,若不及时处理,再次出血可能导致右手彻底瘫痪,甚至影响语言功能。

2022年5月,检查MRI影像,血管畸形处于急性出血期
-治疗挑战-
既要全切又要保功能
“必须手术切除,但手术难度极大、风险很高。”医生的话让阿勇家人陷入纠结。
位置敏感:阿勇的病灶位置极为特殊——位于半卵圆中心。因其位置靠近重要的脑功能区,一旦发生出血,可能对斌斌的运动、语言等功能造成严重影响。
出血风险:急性出血期的病灶边界模煳,增加了分离难度,可能引发术中大出血;
切除要求高:必须100%全切血管瘤,否则残留的畸形血管仍会反复出血。
-手术过程-
在神经“雷区”中精准作业
面对高难度挑战,手术由INC国际脑血管大咖巴特朗菲教授主刀。巴教授在功能区及深部脑区病变手术方面经验极为丰富,早在1991年,他就在国际期刊上发表了关于深部海绵状血管瘤显微手术的研究(《Microsurgery of Deep-Seated Cavernous Angiomas:Report of 26 Cases》),证明了即使在脑功能区、基底节、丘脑、脑室旁等“禁区”,通过精湛的显微外科技术也能实现安全全切,且并发症发生率低。

为了确保阿勇手术的万无一失,巴教授团队制定了周密的计划。通过神经导航和术中超声技术,能够精确地定位并区分肿瘤与正常脑组织。

2023年4月,检查MRI影像
术中神经导航作为开颅手术的“GPS系统”:同汽车导航一样,脑子里面的肿瘤,有时候定位也非常重要。手术的目标是100%切除肿瘤,并确保不造成新的运动等功能障碍。
几小时的持续奋战,在术中导航和神经电生理监测的双重护航下,巴教授顺利安全为阿勇全切半卵圆中心海绵状血管瘤。

术前术后对比
-术后情况-
稳步康复,重拾生活
手术后当天,巴教授检查阿勇的吞咽和咳嗽功能,均表现正常。虽然右侧上肢稍有无力,但其他肢体活动正常。
到了术后第四天,阿勇已经能够自如地下床走动,并自行前往卫生间。
通常来说,功能区海绵状血管瘤的恢复需要分阶段:短期(几周)实现初步生活自理,长期(数月到一年)实现神经功能完全恢复。阿勇的恢复速度,得益于手术的精准性和术后及时的康复训练。
INC国际脑血管专家-巴特朗菲教授
INC国际神经外科医生集团旗下世界神经外科顾问团(WANG)成员、世界神经外科联合会(WFNS)教育与技术委员会前主席巴特朗菲教授,作为德国汉诺威国际神经外科研究院血管神经外科主任,擅长大脑半球病变、脑干病变、脑血管疾病、脑内深层区胶质瘤、颅颈交界处的病变等的肿瘤切除术、神经吻合术以及各种椎管内肿瘤等。

同时,巴特朗菲教授收到过来自欧洲、中东、北非以及日本、中国、韩国、新西兰、南非和智利的40个国家的学术邀请,应邀出席了400多场世界各地的学术会议或在神经外科大会作为特邀发言人,对世界神经外科学科做出重大贡献,特别是颅底外科和显微外科血管病变的脑和嵴髓治疗。
- 文章标题:写字困难到急性出血,看INC国际巴教授如何为他安全全切大脑功能区海绵状血管瘤!
- 更新时间:2025-11-01 09:45:57
400-029-0925




