26岁,年轻的生命之花刚开始绽放的时候,浩然的“人生转折”却来的突然。结束了高原的路程之后,浩然依旧感觉到身体的不适。头痛头晕都让浩然觉得这一切都不对劲。终于,在症状出现了两个月之后,浩然踏上了寻医问药之路。
核磁检查的结果出来后,医生告诉浩然,考虑第三脑室病变,疑似海绵状血管瘤,约14×13×10mm大小。
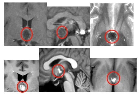
▼浩然第一次检查影像MRI

医生当下建议,由于病变发生的位置特殊,手术风险很大,建议保守。于是,浩然和他的父母决定先进行保守观察。
第三脑室在哪里?如果发生病变会有哪些影响?为什么说第三脑室手术治疗的风险很大?
今天,我们就跟随浩然,好好探究这第三脑室!
关于脑室肿瘤,INC巴特朗菲教授在其发表在国际知名神外手术专著《Youmans Neuroologic Surgery》中的《VentricularTumors》章节中,进行了详细解读,指出为了改善由脑室肿瘤引起的症状并防止进一步恶化,通常尝试完全切除脑室病变,并且可以将其作为一线治疗。

常见的原发性肿瘤包括胶质囊肿、脉络丛乳头状瘤、室管膜瘤、表皮样囊肿和皮样囊肿以及颅咽管瘤。继发性肿瘤包括脑膜瘤、神经胶质瘤、垂体腺瘤和蛛网膜囊肿。
由于脑室系统在大脑中的深层位置及其与重要的神经和血管结构的接近性,脑室肿瘤可能导致多种临床症状。大体上,症状可以分为两种类型:由脑脊液阻塞引起的症状和由某些神经元结构压迫引起的症状。由于许多脑室肿瘤是良性的且生长缓慢,因此它们在引起非特异性症状之前可能会达到相当大的体积。常见的临床症状包括头痛、眩晕、视觉障碍、注意力难以集中、性格改变、认知缺陷、运动无力和癫痫发作。急性脑积水会导致头痛、恶心和呕吐。此外,可能会出现记忆缺陷和步态障碍。
在某些情况下,会出现特殊的神经症状,如偏盲、轻偏瘫和偏身感觉减退。例如,颅咽管瘤可能导致内分泌功能障碍,伴有发育迟缓、甲状腺功能减退和性腺功能减退。在成人中,经常可以观察到视觉障碍(由交叉受压引起)和精神障碍。
在巴教授的研究中,从发病到治疗的症状持续时间从几小时到15年不等。在几乎一半的研究人群中,症状持续时间从2周到8周不等。
什么是第三脑室?
第三脑室位于大脑中部,它通过Monro孔与侧脑室相连,通过Sylvius导水管与第四脑室相连,紧邻重要的神经结构,如丘脑、下丘脑、垂体和中脑。它的位置使其在调节脑内压力、脑脊液流动以及神经信号传递中发挥着关键作用。
▼第三脑室的解剖结构,第三脑室的宽度通常在2-5毫米之间,长度约为10-12毫米。导水管(A),前连合(AC),丘脑间粘合(AT),视交叉(C),胼胝体(CC),门罗孔(FM),穹窿(FX),漏斗隐窝(IR),终板(LT),乳状体(MB),神经丛(P),松果体(PB),后联合(PC),透明隔(SP),视上隐窝(SR)。

三脑室肿瘤可导致哪些症状
由于第三脑室腔隙狭小,早期肿瘤易于阻塞脑脊液循环通路,产生颅内压增高并逐渐加重。如肿瘤较小尚未产生阻塞情况,患者可无任何明显症状。当肿瘤侵犯第三脑室周围组织时则产生局灶症状。肿瘤较易阻塞脑脊液循环通路,因此常导致颅内压增高,这也是患者就诊的原因。
临床表现
1.颅内压增高:
由于肿瘤的阻塞使脑脊液循环发生障碍产生脑室扩大和颅内压增高,在临床上患者表现为发作剧烈头痛、恶心呕吐。其头痛往往因头位和体位的变动而得以暂时缓解,这可能是由于呈活瓣状之肿瘤在脑室内第三脑室黏液性囊肿发生移动使阻塞暂时缓解,脑脊液循环通路得到通畅从而使头痛减轻或停止。再次阻塞,复出现头痛发作,严重者可出现昏迷甚至死亡。患者常表现强迫性头位及强迫性体位,多数患者在仰卧时头痛加重,俯卧时减轻。因此在睡眠时患者多采取面向下的姿势,以减轻头痛发作。
2.局灶症状:
当肿瘤侵及邻近脑组织时发生相应的局灶症状。由于肿瘤所在部位及发展方向不同,其表现也不一样,常见者为下丘脑损害症状。它包括有内分泌代谢机能失调,如性机能的改变,肥胖性生殖无能营养不良综合征以及水盐代谢障碍,这也是第三脑室肿瘤时常出现的主要症状。在临床上表现为性欲减退、阳痿、月经不调或停经;在儿童发病者可出现性早熟。由于下丘脑与脂肪代谢有关,因此可致脂肪异常分布而发生肥胖,有的患者出现尿崩症,当食欲中枢受侵犯时出现厌食,偶有食欲亢进者,在疾病过程中少数患者出现嗜睡。肿瘤向后发展使中脑、四叠体受损的患者出现上视困难、听力减退及动眼神经麻痹。第三脑室肿瘤常影响海马-丘脑-下丘脑及乳头体之间的联系,患者可有记忆力的减退和精神变化。当肿瘤压迫脑干影响其血液供应时将出现双下肢肌力减退,患者有腿软跌倒之情况。第三脑室前部肿瘤由于视神经、视交叉受侵犯而产生视力减退和视野缺损。少数患者有间脑性癫痫发作,临床上表现为恶心呕吐、出汗、面色潮红、瞳孔变化、心悸等植物神经症状。
3.眼底变化:
患者的眼底改变主要为颅压增高所引起的视神经乳头水肿,表现为乳头边界不清,生理凹陷消失。某些由第三脑室外侵及第三脑室内生长的肿瘤,由于其对视神经的直接压迫,产生视神经的原发性萎缩,如颅咽管瘤,垂体腺瘤等。长期颅内压增高将发生继发性视神经萎缩,患者视力下降甚至失明。
4.其他:
由第三脑室外侵及第三脑室内生长之肿瘤都有其原发部位的特殊临床表现,如颅咽管瘤和垂体腺瘤出现垂体功能障碍及紊乱以及视力视野发生改变。松果体瘤时患者除具有丘脑下部受损症状外,还出现四叠体受损的特殊表现,出现帕瑞诺综合征。患者瞳孔大小不等或双侧瞳孔散大;生殖器官及第二性征发育,出现性早熟;骨骼生长异常。
第三脑室发生病变可能会导致哪些症状?
1、颅内压增高:由于第三脑室在脑脊液循环中的关键作用,任何阻塞或狭窄都可能导致颅内压增高。颅内压增高的症状包括剧烈头痛、恶心、呕吐,以及视力模糊或双视。
2、内分泌紊乱:第三脑室紧邻下丘脑,病变可能影响其正常功能,导致内分泌紊乱。患者可能出现生长激素分泌异常、性早熟或生长发育迟缓等症状。
3、视觉障碍:第三脑室附近的视交叉受压可能导致视野缺损、视力下降甚至失明。患者可能经历视野缩小或特定视野区域的盲点。
4、意识和认知障碍:由于第三脑室与大脑的多个关键区域相连,病变可能影响意识水平和认知功能,导致记忆障碍、混乱或行为改变。
5、脑积水:脑脊液流动受阻可能导致脑积水,这是一种严重的并发症,需要及时治疗以避免脑组织损伤。
保守观察无效,浩然下一步又该往哪走?
保守观察了两月之后,他更加感觉头晕头胀,没有精神。于是,再次去医院进行了复查。相比之前的核磁,短短两个月内,病变长到了16×14×14mm,病灶周围的信号混杂。短短八周,浩然脑内的海绵状血管瘤就已经出血了。
到底能不能切除?手术风险到底有多大?术后能恢复到正常状态吗?日后生活会受到影响吗?一家三口寻找新的希望。
第三脑室的手术风险到底大不大?
手术治疗第三脑室病变具有较高的难度,原因包括:
1、解剖复杂性:第三脑室位于大脑深处,周围环绕着众多重要的神经结构和血管。手术过程中需要极其精细的操作,以避免对这些结构造成损伤。
2、手术路径选择:到达第三脑室的路径有限,且通常需要通过狭窄的通道。这要求手术团队具备高度的空间感知能力和精湛的显微手术技能。
3、手术视野受限:由于第三脑室的空间狭小,手术视野受限,使得精确操作更加困难。
4、脑脊液动力学改变:手术可能改变脑脊液的流动路径和压力,需要术中和术后密切监测脑脊液动力学的变化。
5、术后并发症风险:第三脑室手术可能伴随多种并发症,包括脑脊液泄漏、感染、出血和神经损伤等。
第三脑室壁的手术操作不当可能引起:
下丘脑功能障碍——意识障碍、体温紊乱、呼吸紊乱、垂体功能分泌障碍;
视交叉和视束损害——视觉丧失;
穹隆柱损伤——记忆丧失。
尽管手术治疗第三脑室病变具有较高的难度和风险,但手术仍是目前有效的治疗方法。成功的手术可以显著改善患者的症状,恢复正常的脑脊液流动,提高生活质量。
手术风险不确定,但为什么浩然一家人还要坚持选择手术治疗呢?
因为手术治疗有更好的预后。
1、病变直接去除:手术可以直接针对病变进行切除,尤其对于肿瘤或囊肿等占位性病变,手术可以迅速减轻症状。
2、脑脊液通路恢复:对于梗阻性脑积水等病变,手术可以恢复脑脊液的正常流动,有效降低颅内压。
顺利全切,浩然回归美好生活
终于,坚持不懈的寻找下,浩然的父亲找到了INC国际神经外科医生集团旗下世界神经外科顾问团(WANG)成员德国巴特朗菲教授。巴教授很快就回复了浩然一家,并且解答了困扰他们很久的问题。
巴教授强调,患者已经有了手术指征,建议尽快手术。
这样的回复让浩然一家都倍感激动,虽然正值新春佳节,但浩然和父亲还是决定即刻启程。踏上了这条通往希望的阳光之路。

术后两周,术后组织病理诊断显示为海绵状血管瘤,浩然也正式出院。
浩然术后1年采访
“三脑室的海绵状血管瘤出血,但是国内看过以后都说这个位置手术难度很大,建议保守治疗。但是保守治疗才过去两个月就又一次出血头痛,当时就下定决心要手术。在网上查了很久的资料找到了巴教授,最后联系到了INC。当时紧急咨询了巴教授,巴教授也给出了可以手术的回复,觉得非常开心,虽然是碰到春节,但是还是和家人决定尽快手术,和爸爸在春节期间就去了德国手术。现在手术已经过去差不多一年了,术前的头疼、头晕的症状已经消失了,恢复得也挺好的。感谢巴教授,想建议和我一样的病人,如果经济条件允许的话,可以去德国找巴教授手术。”
26岁的浩然,走遍祖国的山川美景,带着活力和青春的气息,迎来了他的人生考验。
27岁的浩然,历经劫难,勇往直前,仍然保持着永恒的初心,回归正常生活,继续前行。
- 文章标题:昏迷、失明…三脑室海绵状血管瘤手术竟这样凶险!
- 更新时间:2024-11-24 16:48:23
400-029-0925




