
毛细血管瘤是良性血管病变或血管肿瘤,通常发现于新生儿或婴儿的皮肤或软组织上。据报道,1.1-2.6%的足月新生儿出现这种情况,是面部、头皮、胸部或背部。另一方面,颅内毛...

海绵状血管瘤的发生率、患病率和临床表现对于更好地了解该病、教育患者和医生、帮助治疗决策和设计临床试验都很重要。...

问:头部脑干中海绵状血管瘤会有些什么症状? 答: 头部脑干中 海绵状血管瘤 会有些什么症状?可能存在脑海绵状血管畸形而没有明显的症状。任何症状可能会随着海绵状畸形的出血...

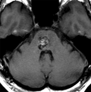
脑干海绵状血管瘤的特征和症状,和其他部位的海绵状血管瘤一样,无症状被发现的情况也很多。无症状的情况下可以观察。脑干部也有顺利区,一部分切开也不容易出症状的部分。使用两点法...

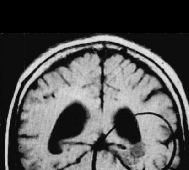
脑海绵状血管瘤无症状或者偶然发现,需要手术吗?脑海绵状血管瘤常会因非特异性或无关症状而做影像学检查时被发现(图1)。对于无症状的脑干海绵状血管瘤和单次发作并没有导致严...

我们相信每500人中就有一人患有海绵状血管瘤,但大多数人从来没有症状。显性出血是海绵状血管瘤内或周围的新出血,常伴有新症状。显性出血是海绵状血管瘤内或周围的新出血,常...

问:如果没有症状, 脑海绵状血管瘤不用治疗吗 ? 答:海绵状血管瘤是大脑血管的畸形。人们通常说没有明显的症状,它可能会在不知不觉中发展并出现严重的症状。如果没有症状,...