
脑海绵状血管瘤什么情况下可以观察?什么时候需要手术治疗?脑干作为人体的生命中枢,维持着我们的生命,包括心跳、呼吸、消化在内的一系列重要生理功能,而且脊髓和间脑之间...

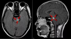
脑干海绵状血管瘤(CMs)是大脑较关键区域之一的一种病变,对于神经外科医生和患者来说都是一个挑战。这一亚组约占全部脑海绵状血管瘤(CCMs)的15%,手术切除、放射治疗或保守治疗...

61岁脊髓背侧硬膜外海绵状血管瘤,一名61岁的女性患者表现为持续3个月的背部弥漫性疼痛。没有跌倒或外伤史。没有胸痛的病史。没有相关的括约肌障碍。全部四肢的音调、力量和反射...

脑干海绵状血管瘤较多见于脑桥,其次为中脑、中脑桥、延髓。在脑干内生型病变中,海绵状血管瘤是适合手木切除的病变。它们在组织学上属良性,不含神经组织。如能全切除,则为...

脑干海绵状血管瘤严重吗?怎么治疗好?那么如何提高脑干海绵状血管瘤生存期呢?而显微外科手术借助于手术显微镜的放大,再结合神经导航、术中MRI、术中超声等辅助设备,视野更清晰...

脑干海绵状血管瘤严重吗?脑海绵状血管瘤如何治疗好?那么如何提高脑干海绵状血管瘤生存期呢?而对于脑干海绵状血管瘤的治疗手术是主要手段,其中手术切除率的高低主要决定了治疗...

脑海绵状血管瘤 是指长在脑内的血管畸形,其中脑干部位的海绵状血管瘤是位置较深、手术难度较大的 颅内海绵状血管瘤 ,年出血率为4.6%,再出血间隔为3天-151个月。脑干海绵状血管...

问:如果没有症状, 脑海绵状血管瘤不用治疗吗 ? 答:海绵状血管瘤是大脑血管的畸形。人们通常说没有明显的症状,它可能会在不知不觉中发展并出现严重的症状。如果没有症状,...

海绵状血管瘤是指形状类似海绵状异常血管团,其中充满血液的小气泡(或洞穴)使它们看起来像浆果。它们的尺寸范围可从细胞到几英寸大小,大约每200人中就有一人患有海绵状血管瘤...

脑海绵状血管瘤(CH)报道发现于中枢神经系统的任何部位。由于计算机断层扫描和磁共振成像的使用越来越多,近年来诊断出了更多的先天性心脏病。然而,脑室内CHs的位置并不常见...