INC国际儿童脑瘤大咖、世界小儿神经系统知名杂志 《Child´s Nervous System》现任主编Concezio Di Rocco教授发表研究《Myelomeningocele: the management of the associated hydrocephalus》(脊髓脊膜膨出相关脑积水的管理),以下是研究简述。

01、背景
脊髓脊膜膨出(MMC)伴发脑积水的发病机制已被广泛研究。当前,宫内脊髓缺损闭合术后 Chiari II 畸形及活动性脑积水发生率降低,与既往研究一致,提示后颅窝异常起主要作用;其中静脉压升高亦多为后颅窝结构受压所致。然而,单纯吸收障碍并存,主要表现为脑池空间异常及脑脊液生化特征改变。
02、材料与方法
我们回顾了MMC 相关脑积水发病机制与治疗的文献,并总结本中心采用内镜第三脑室造瘘术(ETV)处理此类脑积水的经验。
03、结果与讨论
文献显示,近年来需生后处理脑积水的MMC 患儿总体减少,提示产前干预可能发挥作用;同时,病情较轻及更保守的神经外科策略亦降低了活动性脑积水发生率。对接受 ETV(作为初治或补救手段)的 MMC 患儿进行长期认知评估,其结果与无脑积水并发症且行脑室外分流(EVD)者无显著差异,提示 ETV 可作为本组患者的可选方案。

图1a 轴位 T2 加权磁共振成像显示侧脑室呈“巨脑室”表现,后部扩张,前角呈裂隙状。b 矢状位 T1 加权成像示后颅窝狭小拥挤,伴 Chiari II 型畸形及小脑幕部分发育不全。c 磁共振血管成像序列显示静脉窦的多发异常,尤其为上矢状窦狭窄、直窦垂直走行以及横窦位置极低。d、e、f 冠状位层面从前向后依次展示脑室解剖(每幅图右上角给出矢状参考平面):第三脑室前部狭窄,中部几乎完全被巨大中间块占据,后部呈显著囊性扩张。

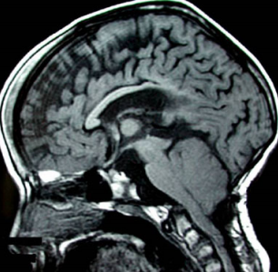
图2 矢状位 T1 加权脑像显示脑脊液循环的主要阻塞部位:导水管狭窄及第四脑室脑室层面的消失;桥前池囊性扩张;后颅窝结构拥挤;蛛网膜下腔层面枕骨大孔阻塞。

图3 内镜下右侧室间孔的不同形态,提示第三脑室穿刺难度逐渐增大。a 水平型 b 斜向型 c 垂直型 d 垂直且孔径缩小型

图4 内镜下第三脑室的不同表现,提示脑室解剖结构日益扭曲。a. 被下丘脑粘连分为两部分;b. 被下丘脑粘连分为两部分,视野下方可见导水管;c. 被两处下丘脑粘连分为三部分。

图5 内镜下第三脑室底的不同表现,导致实施 ETV(内镜第三脑室造瘘术)难度递增:a 呈水平状、半透明且菲薄,可清晰辨认漏斗隐窝;b 呈实质样,伴细薄下丘脑粘连;c 呈实质样,伴肥厚下丘脑粘连;d 呈实质样,伴肥厚下丘脑粘连及多条血管。

图6 第三脑室底造瘘后的内镜解剖所见。a 多层膜结构;b 实质样脑室底下方为通畅的脑池间隙;c 实质样脑室底下方存在多条蛛网膜粘连带;d 脑池深处仅见单一蛛网膜膜片,与实质样脑室底距离极远。
04、结论
脊髓脊膜膨出(MMC)相关脑积水的治疗指征与方法正经历如下修订:
现今,需接受手术治疗的 MMC 患儿数量减少,主要得益于对未手术婴儿脑室扩张的连续超声及神经影像学随访评估。
一旦需处理进展性脑积水,因外置脑脊液分流装置感染等并发症发生率高,临床对其植入愈趋谨慎。
随着术者技术提升、病理生理认识加深、手术时机优化,以及对解剖基础的理解加深,内镜第三脑室造瘘术(ETV)正日益受到青睐。
然而,脑积水仍是 MMC 患儿认知障碍的核心问题;文献证据日益累积,提示从无脑积水,到静止性脑积水,再到接受手术的脑积水患者,其认知障碍呈阶梯式递增。
尽管外置分流与 ETV 治疗者在远期认知结局无显著差异,但外置分流独有的脑脊液感染仍被视为 MMC 相关脑积水手术治疗最令人担忧的并发症。
05、关于作者
小儿神经外科,专注于解决儿童诸多神经外科疾病,诸如脑肿瘤、脑积水、小儿癫痫、先天畸形等,一直被称为难度最大的外科专业之一。Concezio Di Rocco教授曾受到来自法国、埃及、吉尔吉斯斯坦等国家的邀请进行讲座和现场演示,且联合全球知名小儿神外专家创办了儿童神经外科研究所课程。
该项课程在过去30年里为世界培养了无数儿童神经外科医生,包括目前国内若干知名三甲医院的儿童神经外科主任专家,都曾是他的学生。Concezio Di Rocco教授将其领先的治疗技术分享给世界各地儿科神经外科医生进行借鉴参考和学习,为世界儿科神经外科的发展做出了巨大贡献。Di Rocco教授曾到访苏州大学附属儿童医院,为6名神经外科疑难杂症孤儿进行义诊。

Di Rocco教授一生撰写或参与撰写的儿童神经外科部分著作

国际儿童神外专家 Concezio Di Rocco教授

- 国际儿童神经外科学会主席(ISPN)(1991-1994年)
- 世界神经外科联合会教育委员共同主席(2013-2017年)
- 世界神经外科联合会儿童神经外科委员会主席(2001-2009年)
- 世界小儿神经系统知名杂志 《Child´s Nervous System》现任主编
- 国际儿童颅底学会主席(创始成员)
- 世界神经外科联合会基金小儿脑积水项目负责人
- 德国汉诺威国际神经科学研究所儿科神经外科主任(2013年至今)
- 欧洲神经外科学会(EANS)前副主席
- 世界神经外科学会联合会(WFNS)儿科委员会曾任主席
- 罗马天主教大学医学院儿科神经外科学系主任
自2014年5月起,Di Rocco教授就担任了德国汉诺威国际神经科学研究所(INI)的儿科神经外科主任。从事儿童神外事业50余年,Di Rocco教授尤为擅长小儿神经纤维瘤、癫痫、脑积水、蛛网膜囊肿、颅缝早闭、脑和脊髓肿瘤、脑和脊柱畸形(半椎体畸形,皮质发育不良,脊髓脊膜膨出,脊髓内脂肪瘤,Arnold-Chiari畸形等)难治病症方面的治疗,曾进行过12000多次神经外科手术。
- 文章标题:【INC国际大咖研究成果】脊髓脊膜膨出相关脑积水的管理
- 更新时间:2025-08-18 13:54:33
400-029-0925


