INC国际儿童脑瘤大咖、世界小儿神经系统知名杂志 《Child´s Nervous System》现任主编Concezio Di Rocco教授发表研究《Cerebral Rosai–Dorfman disease》脑部罗道病(Rosai–Dorfman 病),以下是研究简述。

01. 背景
窦性组织细胞增生症(Rosai–Dorfman 病)伴巨大淋巴结病是一种罕见的非肿瘤性、非朗格汉斯细胞增生性组织细胞疾病。约 40% 的病例出现淋巴结外受累,伴或不伴淋巴结病。颅内受累在儿童中较为罕见,常类似脑膜瘤。蝶窦旁区域受累更为常见,尽管脑内或脑室内受累也有描述。很少情况下,手术治疗可以完全切除病变;然而,在症状性病例中,肿瘤的部分切除可以解除其占位效应。
02. 病例报告
一名 2 岁 10 个月大的女孩出现高热和呕吐。一年前,她曾有一段双下肢肌力减弱的时期,但已完全恢复。脑部 MRI 显示一轴内增强病变,主要向左侧枕角和双侧额叶脑室周围浸润。经激素治疗后,所有症状均恢复。进行了枕叶脑室内病变的部分切除,诊断为 Rosai–Dorfman 病,并由参考中心确认。在最近一次随访(16 个月)时,女孩没有任何神经系统症状,也未接受任何治疗。

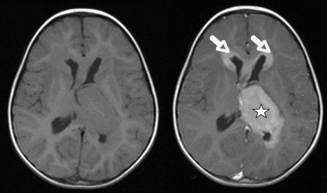
图 1 术前轴位对比增强 T1 加权成像。病变呈脑内生长,并延伸至左侧脑室枕角(星号)。双侧额叶在脑室额角周围受浸润(箭头)。

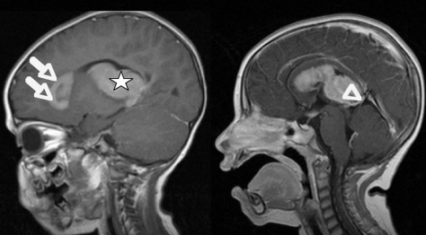
图 2 术前矢状位对比增强 T1 加权磁共振成像。病变的分布清晰可见。右侧可见病变与大脑内静脉的紧密联系(箭头所指)。箭头标记了沿脑室额角分布的病变。星号表示轴内主要病变。
03. 总结与处理建议
颅内 Rosai-Dorfman 病(RDD)在儿童中较为罕见,且在影像学上与脑膜瘤相似。本病例表明,其影像学表现可能差异很大。组织学检查以及参考病理中心的确认对于诊断 Rosai-Dorfman 病至关重要。由于该病通常呈良性过程且可能自发缓解,因此只有在出现症状时才应启动术后药物治疗。首选短期激素治疗,随后可采用肿瘤治疗手段,但目前尚无任何一种被证明 100% 有效。在脑实质、中线结构、脑室以及基于硬脑膜的病变中,Rosai-Dorfman 病必须被考虑为鉴别诊断之一。
04. 关于作者
小儿神经外科,专注于解决儿童诸多神经外科疾病,诸如脑肿瘤、脑积水、小儿癫痫、先天畸形等,一直被称为难度最大的外科专业之一。Concezio Di Rocco教授曾受到来自法国、埃及、吉尔吉斯斯坦等国家的邀请进行讲座和现场演示,且联合全球知名小儿神外专家创办了儿童神经外科研究所课程。
该项课程在过去30年里为世界培养了无数儿童神经外科医生,包括目前国内若干知名三甲医院的儿童神经外科主任专家,都曾是他的学生。Concezio Di Rocco教授将其领先的治疗技术分享给世界各地儿科神经外科医生进行借鉴参考和学习,为世界儿科神经外科的发展做出了巨大贡献。Di Rocco教授曾到访苏州大学附属儿童医院,为6名神经外科疑难杂症孤儿进行义诊。

Di Rocco教授一生撰写或参与撰写的儿童神经外科部分著作

国际儿童神外专家 Concezio Di Rocco教授

- 国际儿童神经外科学会主席(ISPN)(1991-1994年)
- 世界神经外科联合会教育委员共同主席(2013-2017年)
- 世界神经外科联合会儿童神经外科委员会主席(2001-2009年)
- 世界小儿神经系统知名杂志 《Child´s Nervous System》现任主编
- 国际儿童颅底学会主席(创始成员)
- 世界神经外科联合会基金小儿脑积水项目负责人
- 德国汉诺威国际神经科学研究所儿科神经外科主任(2013年至今)
- 欧洲神经外科学会(EANS)前副主席
- 世界神经外科学会联合会(WFNS)儿科委员会曾任主席
- 罗马天主教大学医学院儿科神经外科学系主任
自2014年5月起,Di Rocco教授就担任了德国汉诺威国际神经科学研究所(INI)的儿科神经外科主任。从事儿童神外事业50余年,Di Rocco教授尤为擅长小儿神经纤维瘤、癫痫、脑积水、蛛网膜囊肿、颅缝早闭、脑和脊髓肿瘤、脑和脊柱畸形(半椎体畸形,皮质发育不良,脊髓脊膜膨出,脊髓内脂肪瘤,Arnold-Chiari畸形等)难治病症方面的治疗,曾进行过12000多次神经外科手术。
- 文章标题:【INC国际大咖研究成果】脑部罗道病(Rosai–Dorfman 病)
- 更新时间:2025-08-11 23:33:21
400-029-0925



