INC国际儿童脑瘤大咖、世界小儿神经系统知名杂志 《Child´s Nervous System》现任主编Concezio Di Rocco教授发表研究《Chiari type I and hydrocephalus》(小脑扁桃体下疝 I 型畸形与脑积水),以下是研究简述。
01. 研究目的
小脑扁桃体下疝I 型畸形(CIM)与脑积水之间的关联引起了人们的极大兴趣,因为其发病机制和管理意义尚不清楚。本文的目的是回顾这种关系的因果机制理论,并分析这种情况的管理结果。
02. 研究方法
对文献进行了回顾,重点是专门解决CIM 和脑积水问题的文章以及报告其治疗的系列文章。此外,还简要讨论了作者的个人经验。
03. 研究结果
关于发病机制,似乎可以明确的是,脑积水引起的颅内压升高会导致小脑扁桃体暂时性且可逆的向下移位(“从上方施压”假设),这与小脑扁桃体下疝(CIM)有所不同。另一方面,“复杂”假设可以解释脑积水和 CIM 的发生,因为后颅窝(PCF)发育不全和颈静脉孔闭塞导致的静脉充血,会引起小脑水肿(CIM)和脑脊液(CSF)重吸收减少(脑积水)。然而,这种机制仅在少数病例(综合征型颅缝早闭)中可以被支持。在非综合征型 CIM 患者中,脑积水的存在可以用基底脑脊液通道的阻塞来解释,这种情况在少数病例(仅 7 - 10% 的 CIM 患者出现脑积水)中完全发生,而在其余病例中则部分发生(无脑积水)。这一假设仍有待证实。
在治疗方面,先治疗脑积水的策略是普遍接受的。由于CIM 相关脑积水的“阻塞性”起源,内镜下第三脑室造瘘术(ETV)的应用是顺理成章的。实际上,对迄今为止报道的 63 例病例的文献分析显示,ETV 在治疗脑积水(90.5%)、CIM(78.5%)以及脊髓空洞症状(76%)方面具有很高的成功率,并且在 CIM(74%)和脊髓空洞(89%)的放射学改善方面也表现出色。ETV 的失败并非归因于 CIM 或脊髓空洞。只有 11% 的病例在 ETV 后需要进行后颅窝减压术。

04. 研究结论
CIM(小脑扁桃体下疝)与脑积水之间的关联可能源于不同的、多因素的、尚未完全明了的机制,这使得受累患者在构成异质性 CIM 人群的不同个体中成为一个独特的亚组。内镜下第三脑室造瘘术(ETV)被证实是针对这一患者亚组的首要治疗手段。

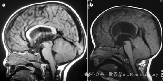
两张矢状位 T1 磁共振成像(MRI)显示三脑室脑积水及小脑扁桃体轻度下移的类似图像。然而,在 a 图中,小脑容纳于正常的后颅窝(PCF)内,尽管其脑积水的严重程度低于 b 图,但仍可推测脑积水(导水管狭窄)在此情况下导致了小脑扁桃体下疝(CIM)。相反,在 b 图中,小脑位于较小的后颅窝内(观察穹窿向上疝出,伴 Galen 静脉系统移位),且导水管通畅;因此,很可能在这种情况下 CIM 导致了脑积水。
05. 关于作者
小儿神经外科,专注于解决儿童诸多神经外科疾病,诸如脑肿瘤、脑积水、小儿癫痫、先天畸形等,一直被称为难度最大的外科专业之一。Concezio Di Rocco教授曾受到来自法国、埃及、吉尔吉斯斯坦等国家的邀请进行讲座和现场演示,且联合全球知名小儿神外专家创办了儿童神经外科研究所课程。
该项课程在过去30年里为世界培养了无数儿童神经外科医生,包括目前国内若干知名三甲医院的儿童神经外科主任专家,都曾是他的学生。Concezio Di Rocco教授将其领先的治疗技术分享给世界各地儿科神经外科医生进行借鉴参考和学习,为世界儿科神经外科的发展做出了巨大贡献。Di Rocco教授曾到访苏州大学附属儿童医院,为6名神经外科疑难杂症孤儿进行义诊。


Di Rocco教授一生撰写或参与撰写的儿童神经外科部分著作
国际儿童神经外科学会主席(ISPN)(1991-1994年)
世界神经外科联合会教育委员共同主席(2013-2017年)
世界神经外科联合会儿童神经外科委员会主席(2001-2009年)
世界小儿神经系统知名杂志 《Child´s Nervous System》现任主编
国际儿童颅底学会主席(创始成员)
世界神经外科联合会基金小儿脑积水项目负责人
德国汉诺威国际神经科学研究所儿科神经外科主任(2013年至今)
欧洲神经外科学会(EANS)前副主席
世界神经外科学会联合会(WFNS)儿科委员会曾任主席
罗马天主教大学医学院儿科神经外科学系主任
国际儿童神经外科专家 Concezio Di Rocco教授

自2014年5月起,Di Rocco教授就担任了德国汉诺威国际神经科学研究所(INI)的儿科神经外科主任。从事儿童神外事业50余年,Di Rocco教授尤为擅长小儿神经纤维瘤、癫痫、脑积水、蛛网膜囊肿、颅缝早闭、脑和脊髓肿瘤、脑和脊柱畸形(半椎体畸形,皮质发育不良,脊髓脊膜膨出,脊髓内脂肪瘤,Arnold-Chiari畸形等)难治病症方面的治疗,曾进行过12000多次神经外科手术。
如果您也有想要分享的经历或者无法解答的疑惑,欢迎留言。
- 文章标题:【INC国际大咖研究成果】小脑扁桃体下疝 I 型畸形与脑积水
- 更新时间:2025-06-10 16:07:24
400-029-0925



