
在大多数研究中,脑干胶质瘤的治疗决策仅基于磁共振成像特征,不包括组织病理学诊断。因此,一些作者报道了位于髓质上方的全部弥漫性脑干胶质瘤表现为高级别星形细胞瘤,并且...

在老年患者组中,高级别脑膜瘤患者的PFI较低(HR2474,95%CI423-14466;相反,不应低估老年人采取观望策略的风险,因为患者的医疗状况在诊断后不太可能得到好转,并且与接受切除术的患...

由于Sylvian裂隙内复杂的解剖结构和附近的血管因素,岛状胶质瘤代表了一种独特的手术挑战。对于某些肿瘤,经Sylvian方法提供了一种合适的技术,以实现较大的顺利切除。本手稿和视频...

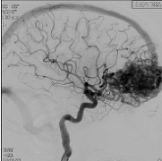
一般来说,AVM位于大脑深处更容易出血。脑动脉瘤,大约20%患有动脉瘤的人都有这种症状动静脉畸形,也会增加出血风险。干预对于较大限度地提高儿童动静脉畸形(AVMs)的疗效至关重要...

脑动静脉畸形(AVMs)由发育不良的血管和直接的动静脉分流组成,可自发出血。在儿童中,较高的终生出血风险需与治疗相关的发病率相平衡。作者描述了一种合作的多模式策略,从而...

多发性胶质母细胞瘤(GBM)患者切除范围(EOR)在提高生存率方面的价值仍存在争议。具体而言,目前尚不清楚需切除多大比例的造影剂增强的肿瘤才能获得生存优势,以及超过这个阈值后...

海绵窦脑膜瘤(CSM)伴眼眶受累对现代神经外科医生提出了一个独特的挑战。海绵窦脑膜瘤(CSM)是较常见的原发性海绵窦病变。与此相反,对于有症状的患者,如有大的CSM并累及眼眶...

The goal of glioblastoma (GBM) surgery is to maximize extent of resection (EOR) while minimizing poserative neurological complications. Awake craniotomy (AC) has been demonstrated to achieve this goal for low-grade gliomas in or near elo...

Malignant gliomas are very difficult tumors to treat, with few effective therapies, early progression and high rates of recurrence. Here we review the literature on malignant gliomas treated with endovascular therapy. Endovascular therapy f...

多发性胶质母细胞瘤(GBM)是成人较常见、较具侵袭性的原发性脑肿瘤,几乎可以肯定会导致致命的结果...