黏液样胶质神经元肿瘤是WHO 2021年分类系统修订版新指定的肿瘤,这种肿瘤在此之前并没有被单独的区分开来。那么,今天就跟随脑博士的脚步,来看看黏液样胶质神经元肿瘤什么,好发育什么人群,有什么样的特征吧!INC脑博士科普系列为大家重点梳理,关注INC国际神经外科医生集团官方账号,后期将放送更多精彩分享。
黏液样胶质瘤神经元肿瘤
黏液样胶质神经元肿瘤是什么?
黏液样胶质神经元肿瘤(Myxoid Glioneuronal Tumor,MGT)是一种WHO I级低级别肿瘤,是一种罕见的WHO 1级胶质神经元肿瘤,通常位于透明隔、胼胝体或脑室周围白质。大多数过去被归类为DNT或形成菊形团的胶质神经元肿瘤。
这种肿瘤一般会出现在什么部位?
黏液样胶质神经元肿瘤主要出现在透明隔、胼胝体、下胼胝区、脑室周围白质以及透明隔核等区域。
一般好发于什么人群?
MGNT主要发生在儿童和年轻人中,临床主要表现为头痛、呕吐、癫痫发作和行为障碍。组织学上与胚胎发育不良性神经上皮肿瘤(DNT)或形成菊形团的胶质神经元肿瘤(RGNT)相似,可见黏液样基质背景中的少突胶质细胞样细胞增生,细胞核呈圆形或卵圆形、核仁小、胞质空亮或轻度嗜酸性,局部可见浮蛙样神经元。
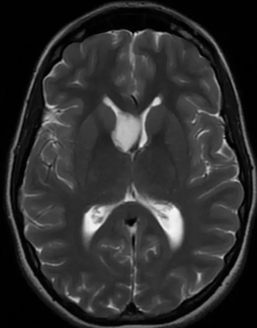
肿瘤在MRI影像中有什么表现?
在MRI影像中,黏液样胶质神经元肿瘤通常表现为T1加权图像上的低信号、T2加权图像上的高信号,并且在T1对比增强图像中无增强表现。这些肿瘤通常边界清晰、呈分叶状。

影像学检查中有什么样的特点?
这些肿瘤在影像学上表现为边界清晰的分叶状肿块,通常在T2-FLAIR图像中呈现外围高信号和中心低信号,并且无周围水肿。

发生这样的病变之后会有什么样的临床表现?
患者通常表现为癫痫发作、头痛、意识模糊等症状。这些症状主要是由于肿瘤对周围脑组织的压迫或脑脊液流动的阻碍所致。
这种肿瘤的发病机制是什么样的?
黏液样胶质神经元肿瘤的发病机制与PDGFRA基因的p.K385突变有关,该突变在其他类型的脑肿瘤中未见。FGFR1、IDH1/2、BRAF、MYB、MYBL1等基因异常则未在该肿瘤中发现。
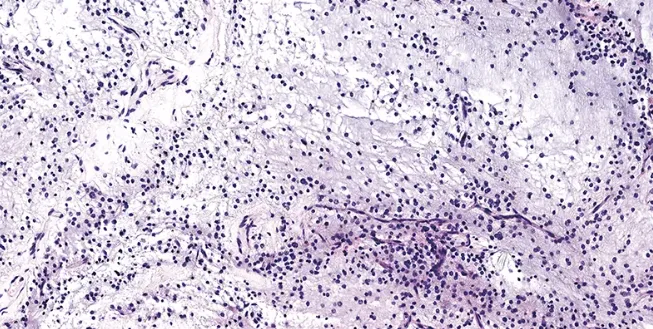
肉眼检查有什么特征?
在肉眼检查中,黏液样胶质神经元肿瘤通常为柔软的灰白色或淡黄色肿块,质地较为均匀。
显微镜下检查的组织学特征有哪些?
显微镜下,这种肿瘤显示低级别的少突胶质细胞样肿瘤细胞和显著的黏液样基质,有时伴有细腻的毛细血管网络和神经元样花环结构。免疫组化检测显示,GFAP、OLIG2阳性,而BRAF和FGFR1阴性。
还需要做什么辅助检查来确诊?必要的诊断检查需要注意的是什么?
除了MRI和免疫组化检测外,分子基因检测,如PDGFRA突变分析,对确诊黏液样胶质神经元肿瘤非常重要。

在进行诊断检查时,需注意全面评估肿瘤的影像学特征、组织学特征和分子特征,以确保诊断的准确性和排除其他类似病变。

组织学上,该肿瘤的特征是少突胶质细胞样细胞嵌入黏液样基质。其分子标志是血小板衍生生长因子受体α(platelet-derived growth factor receptor alpha,PDGFRA)突变。这类肿瘤与皮质性DNT具有不同但密切相关的DNA甲基化特征。
需要与什么肿瘤鉴别诊断?
鉴别诊断包括胶质神经元瘤、中央神经细胞瘤、胶质母细胞瘤和透明隔胶质瘤等。
这种罕见的肿瘤有什么治疗方法?
主要的治疗方法是外科手术,包括必要时的脑脊液(cerebrospinal fluid,CSF)引流。通常可达到治愈效果。但对于复发或扩散的病例,可能需要再次手术。放疗和化疗在该肿瘤的治疗中较少使用。
- 文章标题:INC脑博士科普——黏液样胶质神经元肿瘤
- 更新时间:2024-10-31 18:23:06
400-029-0925


