在儿童肿瘤的阴影下,室管膜瘤的威胁常被忽视——它位列儿童中枢神经系统肿瘤第三位(仅次于星形细胞瘤和髓母细胞瘤),占到了儿童颅内肿瘤的10%和脊柱肿瘤的25%!

当这类肿瘤悄然侵袭孩子的脑干、第四脑室等要害区域时,轻则引发头痛呕吐,重则导致运动障碍甚至危及生命。
面对这类隐匿性强、手术难度高的肿瘤,如何通过科学治疗策略守护孩子的生存希望? 临床研究揭示:肿瘤全切手术(GTR)联合个体化治疗,正在改写患儿的命运轨迹……
关爱儿童脑健康!关于室管膜瘤的几大重要事实
室管膜瘤是一种起源于神经上皮的肿瘤,可生长于整个中枢神经系统。它约占儿童中枢神经肿瘤的10%,成人则为5%左右。
发病数据
年发病率:0.2-0.4/10万人
性别差异:男女比例1.2-1.8:1
双峰年龄:0-4岁(儿童高峰)和55-59岁(成人小高峰)
分布特点
成人常见部位:脊髓(45%) 幕下(35%) 幕上(20%)
儿童多发区域:颅内肿瘤占90%!后颅窝(近2/3);幕上区域(约1/3);脊髓发病极罕见
儿童特别关注
幕下肿瘤:平均5岁发病
幕上肿瘤:平均8岁发病
脊髓肿瘤:平均12岁发病
儿童间变性室管膜瘤发生率是成人的6倍!

遗传风险提示:家族性癌症综合征与室管膜瘤之间具有相关性。神经纤维瘤病2型(NF2)患者需特别注意,这类人群脊髓室管膜瘤发病率显著升高。
室管膜瘤的临床表现:取决于其在中枢神经系统的位置
成年室管膜瘤患者
一项包含264名患者的大型研究揭示,脑室管膜瘤患者与脊髓室管膜瘤患者的初始临床表现不同。
脑室管膜瘤患者 - 颅内压升高症状为主:剧烈头痛(60%),恶心呕吐(40%),视力障碍(35%),持续嗜睡(30%)
脊髓室管膜瘤患者:肢体麻木/刺痛(70%),背部疼痛(60%),肢体无力(50%)

儿童室管膜瘤患者
幕下室管膜瘤(主要):脑脊液循环受阻 - 颅内压升高症状(60%),如头痛、恶心和呕吐。当脑干受压时,还可观察到共济失调和后组脑神经麻痹。
脊髓室管膜瘤:除了上述成年人群的症状外,还可能观察到长期的脊柱侧凸。
室管膜瘤预后四大影响因素:年龄、分级、肿瘤位置、切除率
室管膜瘤患者的5年生存率约为60-70%。预后因素包括年龄、肿瘤的分级和肿瘤的位置。
年龄:成人室管膜瘤的预后比儿童好成年患者年龄的增长与更好的预后有关。
肿瘤位置:脊髓室管膜瘤的预后较好,约占5年生存率的85%;幕下室管膜瘤的5年生存率较差,约占60%。
颅内间变性室管膜瘤患儿预后较差。

对于新诊断的室管膜瘤患者,无论年龄、肿瘤位置或分级如何,均应优先争取实现肿瘤大体全切除(GTR)。因为GTR的完成程度与患者总生存率(OS)和无进展生存率(PFS)的显著改善密切相关,这一原则适用于所有人群亚组分析。
对于初次接受次全切除术(STR)治疗的患者,临床应积极评估二次手术的可行性。通过重复切除实现GTR能够有效改善此类患者的生存结局。

成人患者:单纯GTR即可作为改善PFS和OS的核心治疗手段;
儿童患者:推荐采用GTR联合术后放疗的综合治疗方案;
解剖位置特异性:
幕上室管膜瘤:GTR是预测PFS的唯一独立预后因素。
后颅窝室管膜瘤:GTR联合放疗较STR可提升40%的长期生存率
室管膜瘤治疗的基石:手术切除和放疗
INC旗下世界神经外科顾问团(WANG)成员、世界神经外科联合会(WFNS)执行委员会&顾问委员会成员James T. Rutka教授致力于研究各类不同儿童恶性脑瘤的治疗。他在临床上的研究方向以颅内肿瘤为主,对胶质瘤、纤维瘤、颅咽管瘤、室管膜瘤具有多年的临床经验。
室管膜瘤是一种具有挑战性的肿瘤。手术切除仍然是主要的治疗方法,积极的、安全的手术可以为患者争取到更好的生存期和预后。
辅助治疗仅限于放疗,但放疗也有其局限性。目前,化疗在治疗这种疾病方面还没有取得相当大的成功。
——Rutka教授
手术案例
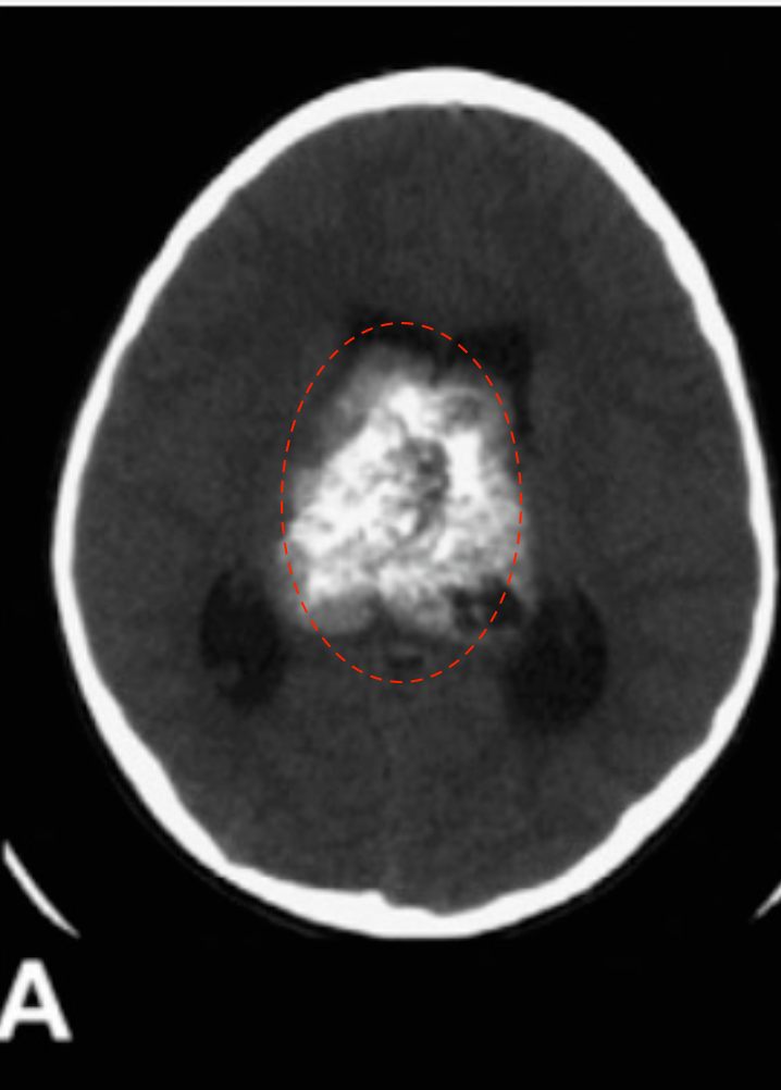
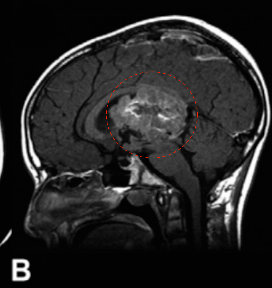
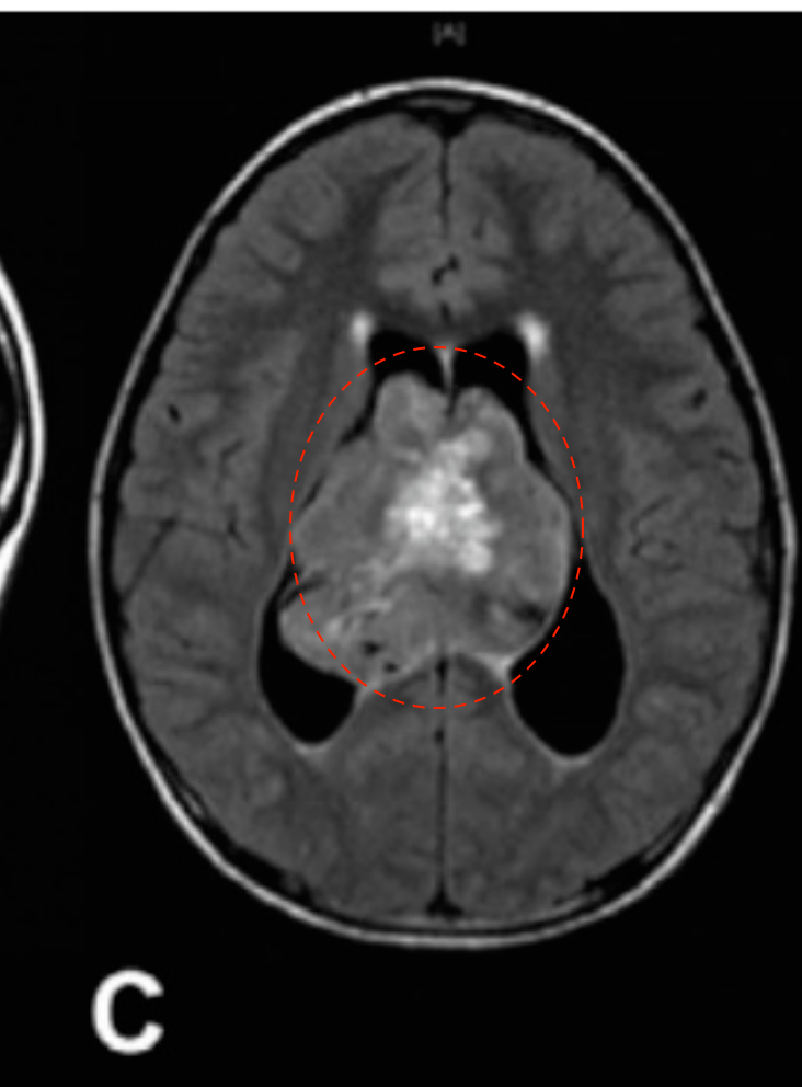
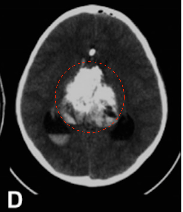
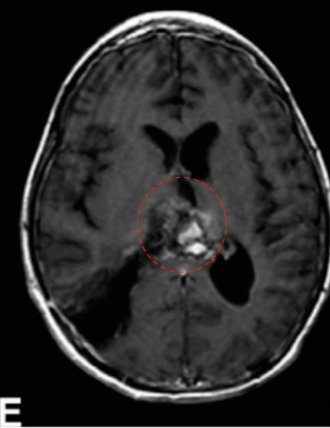
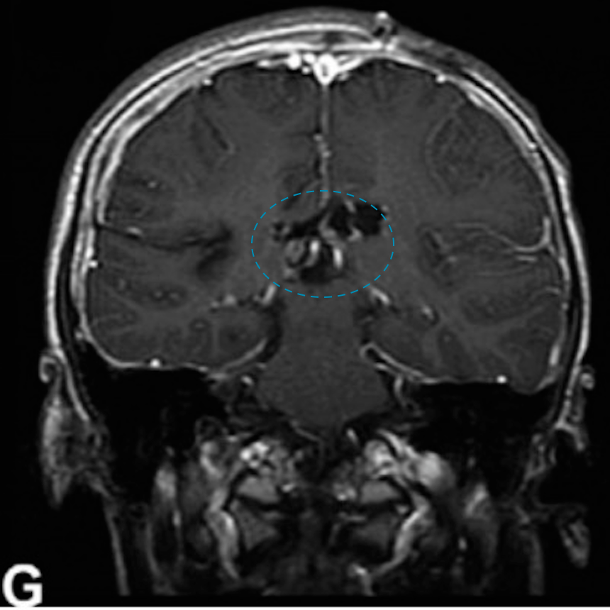
12岁男孩,因出现近3周的头痛和急性恶化而入院治疗。
(A)颅脑CT显示一个大的脑室内肿块伴钙化和瘤内出血并伴有脑积水。

(B & C)磁共振成像显示一个可能起源于透明隔的异质性强化肿瘤,填充在侧脑室和第三脑室的大部分区域。


(D)尝试左额半球间经胼胝体切除术后的CT扫描显示脑室内和腔内内出血。

(E)第二次手术,经右顶叶经皮质入路行次全切除术,术后T1增强MRI为WHO 2级室管膜瘤,病人进行局部放疗。

(F)术后增强MRI显示肿瘤再次生长,因此在部分切除后再次放疗。

(G)随访图像显示6年后病情稳定。

INC 国际小儿神外专家团

国际儿童脑肿瘤大咖 James T. Rutka教授
教授是世界神经外科联合会(WFNS)执行委员会&顾问委员会成员之一,发表超过500多篇的文章,在临床上的研究方向以颅内肿瘤为主,对胶质瘤、纤维瘤、颅咽管瘤、室管膜瘤具有多年的临床经验,擅长清醒开颅术、显微手术和被广泛用于治疗恶性脑瘤和癫痫的国际前沿技术激光间质热疗(LITT)技术经验,对于儿童胶质瘤,尤其是高级别胶质瘤开展多项临床试验,其所在的医院加拿大SickKids是国际知名的儿童医院之一。

国际儿童神经外科专家 Concezio Di Rocco教授
自2014年5月起,Di Rocco教授就担任了德国汉诺威国际神经科学研究所(INI)的儿科神经外科主任。从事儿童神外事业50余年,Di Rocco教授尤为擅长小儿神经纤维瘤、癫痫、脑积水、蛛网膜囊肿、颅缝早闭、脑和脊髓肿瘤、脑和脊柱畸形(半椎体畸形,皮质发育不良,脊髓脊膜膨出,脊髓内脂肪瘤,Arnold-Chiari畸形等)难治病症方面的治疗,曾进行过12000多次神经外科手术。

国际脑干手术大咖 Helmut Bertalanffy教授
教授擅长颅底、脑干病变、功能区、大脑小脑、脊髓等复杂位置的肿瘤性、血管性疾病的手术治疗,尤其擅长颅底、脑干等复杂区域病变的肿瘤切除术、神经吻合术等,脑干病变成功手术病例近千台,以精湛高超的手术技术不损伤神经功能且全切病变。巴教授历经千万个小时用超精确的物理剥除诠释了医术为何为艺术。
如果您也有想要分享的经历或者无法解答的疑惑,欢迎留言。
- 文章标题:儿童室管膜瘤:第三大“隐匿杀手”如何被精准攻克?
- 更新时间:2025-06-19 18:09:24
400-029-0925


