眼皮跳动、嘴角不停抽搐、一只眼睛也睁不开,一激动症状还会加剧,有可能患上面肌痉挛了。
看下图,或许可以更加直观地理解。

虽然这是一种表现在面部的疾病,但是根源其实发生在大脑中。这也是为什么为了确诊,除了要做肌电图(EMG),还要做磁共振成像(MRI)。
脸部抽搐和大脑有什么关系呢?
面肌痉挛的原因是扩张性或非典型异常的血管,它在离开脑干的地方压迫面神经。在多数情况下,压迫多由小脑后动脉(PICA)或小脑前下动脉(AICA)引起的,很少是由椎动脉(VA)或这些动脉的组合引起的。在极少数情况下,也可能是由静脉引起的。
简单来说,就是血管压迫到面神经了。而面神经主要负责面部表情肌的运动、舌前2/3的味觉以及唾液腺、泪腺的分泌。所以面神经一受到压迫出现这些症状也不奇怪了。
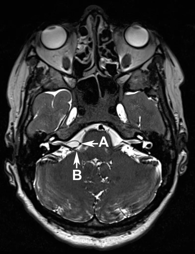
这张脑部核磁非常清晰显示了小脑后下动脉(箭头A),它压迫了面神经(箭头B),就在面神经从脑干出来的地方。

神经压迫神经,怎么解决?
那就分开难舍难分的他们!

神经血管减压技术示意图,采用特氟龙桥,正面视图。A:显示使用一块特氟龙创建一个简单的特氟龙桥。B:展示相同技术附加支柱以进一步增加特氟龙和面神经之间的距离。
先保守观察呢?会自己缓解吗?
若不予干预,症状将持续终身,且随时间推移,痉挛在发作强度、频率及累及范围上均呈进行性加重。当患者自觉生活质量受损,或出现功能性障碍(如视野受累)时,即具备治疗指征。
59岁的汉娜,右侧面肌痉挛已经2年了,一直在加重。期间还进行了药物治疗,但依然没有什么效果。INC内镜手术大咖Henry W.S.Schroeder(施罗德)教授会为她如何手术?

MRI发现小脑前下动脉与椎动脉明确压迫出脑干区的面神经(图1)。

确实,术中见粗大椎动脉严重推挤面神经。椎动脉将小脑前下动脉推向面神经,形成“夹心”式双重压迫。
开始,通过放置撕裂的特氟龙试图减压椎动脉失败。
因此,创建了一条Gortex吊带,将血管拉向侧面和后方,远离面神经根出口区(REZ)。在放置吊带的区域分离椎动脉时,发现了一条微小的穿支(图2C)。
吊带环绕椎动脉并固定于颅底硬膜(内听道与颈静脉孔间硬膜袋,以Yasargil迷你夹固定)(图3)。

椎动脉被充分牵向颅底,与面-前庭蜗神经复合体无接触,但穿支动脉略显紧绷。穿支动脉是大脑或脊髓的“最后公里”毛细血管网,一旦堵塞或破裂,就会造成无法挽回的局部组织梗死或出血。
因此,松开迷你夹、稍放松吊带以降低穿支动脉的张力。随后用撕裂的特氟龙对小脑下前动脉进行减压。术后无并发症,汉娜的症状即刻完全缓解;10个月随访无痉挛,听力及面功能正常。
总结
面肌痉挛是一种由面神经(颅神经VII)支配的肌肉运动障碍。这种运动障碍会引发面部肌肉不自主的短或长时期的收缩。主要表现为一侧面部肌肉(眼轮匝肌、表情肌、口轮匝肌)不受控制的反复、阵发性抽搐,在情绪激动或紧张时还会加重,严重时可出现睁眼困难和口角歪斜。眼轮匝肌的明显痉挛还可能会损害双眼视觉,影响正常的阅读和驾驶。
尽管这个疾病没有生命威胁的后果,但是患者本人通常会遭受极大的痛苦,并且会越来越害怕社交。研究表明:从长远来看,症状的消除只能通过微血管减压手术来实现。年轻患者尽早手术,长期症状患者的治疗效果显著较差。通常在那时,面神经已经出现了结构性损伤,这在手术过程中会显现出来。
显微血管减压术也存在一定的风险。主要风险是暂时性或永久性听力损伤,甚至可能导致单耳失聪。因此,选择合适的术者也十分重要。
案例来源:Henry WS Schroeder et al.The value of intraoperative indocyanine green angiography in microvascular decompression for hemifacial spasm to avoid brainstem ischemia.Acta Neurochir(Wien).2022 Oct 27;165(3):747–755.doi:10.1007/s00701-022-05389-2
- 文章标题:脸歪嘴斜竟要开颅!面肌痉挛自我恢复方法有吗?
- 更新时间:2025-09-11 10:50:58
400-029-0925




