“脑瘤手术大概要多长时间?”
这几乎是每个患者或家属术前都会问医生的一个问题,医生可能回答:“如果手术顺利,大约需要5小时左右吧。”第2天,患者老早就推进了手术室,直到下午还没出来,从进手术室到现在已经8个小时了,还不见人影。家属开始焦虑:“都8个小时了,怎么还没出手术室啊,昨天医生不是说大约5个小时吗?是不是手术出问题了?”
其实,病人一般问的“手术时间”常是door-to-door,而医生回答的手术时间一般是“skin-to-skin”。因此就会出现这样的情况,病人进去之后根据手术室安排情况有可能十几个小时,但是医生真正做手术的时间可能只有更短的数个小时。“Door-to-Door”时间涵盖患者从进入手术室到离开手术室的全过程,包括麻醉准备、术中操作、术后复苏等。而“Skin-to-Skin”时间仅指手术刀切开皮肤到缝合结束的实际操作时间。
当然,一味的追求速度,真的好吗?要快,但绝不是盲目追求快!要追求快,所有的步骤就必须无缝衔接,一切都那么刚刚好。但显然,这只是理想的情况。理想和现实总会有差异,手术中也难免遇到各种困难。其实,除了手术时间,一台手术患者及家属更关心的是手术切除率、并发症以及术后恢复等,简单来说就是手术成功率。
开颅手术,如何一步步为患者搭建新生之路?
“把大象放进冰箱需要几步?”这个经典的冷笑话,你或许听过。标准答案是三步:打开冰箱门、放入大象、关上冰箱门。简单得像小学生都能答出的问题,却让成年人笑出声的同时发出疑惑。
为什么?因为我们的大脑总会不自觉地代入现实逻辑,比如:大象多大?冰箱多小?怎么搬进去?问题并不在于“脑筋急转弯”本身,而是我们面对复杂任务时常常会先发出思考——能否实现?如何实现?以及如何用更简化的方法去解决这个问题。
回归到脑瘤的外科手术,总体来说,三步,第一步开颅,第二步切除肿瘤,第三步,关颅。实际上包含万千细节,脑瘤位置在哪?有多大?与神经血管是否粘连?怎么保功能,能否达到全切?无法全切时,又该怎么办……

因此,为了解决这个问题,从术前完善的各项检验检查以及手术入路规划,到术中一丝不苟的精准操作,神经电生理医生的保驾护航,麻醉师的严苛血压控制,再到术后ICU护理团队的专业支持,环环相扣!正如神经外科的至高追求——“让大脑意识不到曾被手术”。唯有每一个步骤万无一失,患者才能稳步康复!一钳一剪的偏差,都可能带来无法挽回的遗憾。
脑瘤手术案例分享
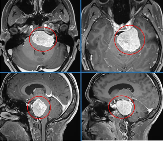
下面这个脑瘤是不是很大,位置很不好?岩斜区脑膜瘤,已经挤压脑干。我们知道岩斜区脑膜瘤沿着上2/3斜坡生长,位于颈静脉孔上方,岩斜区颅神经孔内侧。瘤体被包括脑干、基底动脉、III-VIII对颅神经、海绵窦及蝶鞍在内的众多神经血管结构紧密包围,该部位难以接近,手术入路设计尤为困难。
随着岩斜区脑膜瘤的不断生长,可将脑干向后方及对侧推挤,与基底动脉远端、分支和穿支血管关系密切,瘤体侧方常被颅神经所遮盖,肿瘤累及海绵窦常见。由于瘤体毗邻的颞骨解剖复杂,导致该部位肿瘤为多个易损结构包绕,术中显露困难。
术前MRI

这台手术,INC福教授采用经典的颞-顶-枕L形开颅联合细致的岩骨切除术。手术伊始,通过识别关键骨性标志、进行整形性乳突切除术并充分显露乙状窦与窦硬膜角,以构建坚实的手术基础。
随后,通过精准的前岩骨切除术,逆向追踪识别岩浅大神经等重要结构,并显露包含道后三角的菱形区域,为抵达深部病灶开辟通道。继而,通过切开颞部与后颅窝硬脑膜、离断天幕并使横窦-乙状窦交界区后移,成功创建了宽阔的手术路径。
肿瘤切除在多视角下于蛛网膜下腔内精细进行,通过锐性解剖以全切梅克尔腔等处的肿瘤,并全程注重保护第IV、VI颅神经及下组颅神经。最终,使用帽状腱膜移植物与腹部脂肪严密修补硬脑膜缺损,完成骨瓣复位固定,肿瘤得到顺利切除。
术后MRI

这个案例只是INC国际教授手术中一个常规案例,与福教授同台的国内神经外科专家这样评价他的手术:
“有一句神经外科的经典名言'the brain should not know that it is operated on'(让大脑意识不到经历过手术)也就是说经典的、优秀、好的神经外科手术,那么在手术过程中,脑组织应该是不知道自己在做手术——脑组织保护的非常好,神经功能保护的非常好。”
因此,当普通人觉得百分之百就是完美,对福教授来说要做到一万分的努力才算完美。
INC国际教授在华手术交流脑膜瘤案例分享(部分)
+天坛医院手术纪实|4.5cm脑膜瘤紧压脑干成功手术,勇敢辣妈的彪悍人生!
+脑瘤开颅还是经鼻内镜?“双镜联合”术后的她简直不要恢复得太好!
+天坛医院手术随访|“无症状”脑瘤要不要切?一场手术让她重获“说走就走”的西藏之旅
+【速战速决】体检意外查出脑膜瘤,38岁女强人果断手术、全切后7天出院
- 文章标题:脑瘤手术需要几个小时?手术中都发生了什么?
- 更新时间:2025-10-16 11:54:25
400-029-0925




