James T.Rutka(鲁特卡)教授曾任世界神经外科学院院长,目前是世界神外专业杂志《Journal of Neurosurgery》主编,30多年来深耕儿童神外研究,带领团队不断突破,从脑瘤分子分型、精准治疗、新药治疗、微创治疗,为全球神经外科疑难病患儿带来希望,他发表了研究《Intracerebral malignant peripheral nerve sheath tumor in a child with neurofibromatosis Type 1 and middle cerebral artery aneurysm treated with endovascular coil embolization》(NF1患儿出现颅内恶性周围神经鞘瘤合并大脑中动脉动脉瘤破裂,行血管内弹簧圈栓塞治疗的病例报告),以下是研究简述。
01
PART
研究概述
在影响Ⅰ型神经纤维瘤病(neurofibromatosis type 1,NF1)患者的肿瘤性疾病中,恶性周围神经鞘瘤(malignant peripheral nerve sheath tumors,MPNSTs)较为常见,通常起源于四肢、躯干以及腰丛或臂丛等周围神经。电离辐射是MPNST发生的公认危险因素,尤其对于像NF1这样的易感个体。NF1患者也存在发生颅内动脉瘤的风险,并且随着血管内治疗技术的发展,其治疗成功率不断提高。
作者报告了一例病例:一名9岁既往健康女童,因右额叶颅内出血危重入院,病因为右侧大脑中动脉(MCA)三分叉部动脉瘤破裂。患者紧急行去骨瓣减压术后,针对该MCA动脉瘤施行了血管内弹簧圈栓塞治疗,过程顺利。由于患儿母亲有NF1病史,随后进行了基因检测,结果显示患儿NF1阳性。
患者术后恢复良好,但在术后14个月复查MRI及MRA时发现,右侧MCA三分叉部区域出现巨大额颞部肿块并包绕MCA三分叉。患者随后接受了额颞开颅+肿瘤次全切除术,病理证实为颅内MPNST。术后进行了化疗和局部放疗,随访显示患者术后6个月仍存活。
据作者所知,这是目前(论文截止日期)唯一报道的在经血管内弹簧圈栓塞修复的颅内动脉瘤区域内发生颅内肿瘤的病例。尽管NF1患者属于对辐射诱发肿瘤具有遗传易感性的群体,但颅内MPNST的发病机制仍尚不清楚。

图1.A:非增强CT扫描,显示右额叶出血,侧裂内可见致密蛛网膜下腔出血。
B:右侧颈内动脉脑血管造影斜位片,显示一个5毫米大小的大脑中动脉(MCA)三分叉处动脉瘤。
C:右侧颈内动脉脑血管造影斜位片,显示MCA动脉瘤已成功实施血管内弹簧圈栓塞术
表1:已报道的儿童颅内恶性周围神经鞘瘤(MPNST)病例临床特征总结



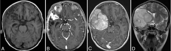
图2.A:弹簧圈栓塞术后1.5个月获取的轴位T1加权平扫MRI图像,显示右侧额叶残余出血的演变,周围伴有额叶和颞叶脑软化。
B:栓塞术后11个月获取的轴位T1加权钆增强MRI图像,显示右侧外侧裂内有一个2.3×2.7×1.8厘米(前后径×横径×头尾径)的呈显著强化的软组织肿块,包绕右侧大脑中动脉三分叉并累及邻近硬脑膜。
C和D:术后13个月获取的轴位T1加权钆增强(C)和冠状位T2加权(D)MRI图像,显示一个8×7.2×7厘米(前后径×横径×头尾径)的呈显著强化的肿块,包绕右侧大脑中动脉,并延伸至前颅窝和中颅窝。可见明显的占位效应、中线移位及凸面硬脑膜受累。
E:右侧颈内动脉注射的右前斜位造影图像,显示大脑中动脉远端M1和M2分支变细,并可见肿瘤性毛细血管染色。F:右侧颈内动脉注射早期动脉期获取的斜位图像,显示弹簧圈从大脑中动脉三分叉动脉瘤部位挤出。


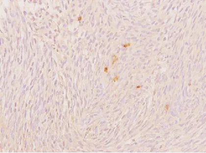
图3.上图:病理标本染色显示高细胞密度、双相性肿瘤,上皮样细胞与梭形细胞成分呈束状排列。苏木精-伊红(H&E)染色,原始放大倍数×30。
下图:S100蛋白弥漫阳性免疫组织化学染色。原始放大倍数×200。

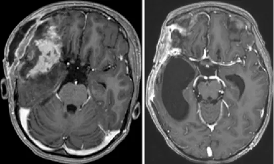
图4.左图:开颅术后第1天获取的轴位T1加权钆增强MR图像,显示肿瘤次全切除术后改变及周围脑软化。
右图:开颅术后3个月获取的轴位T1加权钆增强MR图像,显示侧裂远端有残留肿瘤,并可见右侧颞角扩张。因脑积水已行脑室腹腔分流术。
02
PART
关于作者

- 文章标题:【INC国际大咖研究成果】NF1患儿颅内恶性周围神经鞘瘤合并大脑中动脉动脉瘤破裂,行血管内弹簧圈栓塞治疗
- 更新时间:2025-12-11 10:26:52
400-029-0925


