
脑瘤手术大概要多长时间? 这几乎是每个患者或家属术前都会问医生的一个问题,医生可能回答:如果手术顺利,大约需要5小时左右吧。第2天,患者老早就推进了手术室,直到下午还没出来,...

INC国际儿童脑瘤大咖、世界小儿神经系统专业杂志《Childs Nervous System》现任主编Concezio Di Rocco教授发表研究《Subcutaneous blood patch for iatrogenic suboccipital pseudomeningocele following decompressive suboccipital ...

INC国际儿童脑瘤大咖、世界小儿神经系统专业杂志《Childs Nervous System》现任主编Concezio Di Rocco教授发表研究《Brain CT scan for pediatric minor accidental head injury.An Italian experience and review of literature》(儿...

很多脑瘤患者畏惧开颅手术,往往倾向选择经鼻神经内镜手术,内镜手术尤其适用于垂体瘤、脊索瘤、颅咽管瘤、脑膜瘤等,但是内镜手术的却也隐藏着许多潜在风险,但是为何会导致视力下降...

James T.Rutka(鲁特卡)教授曾任世界神经外科学院院长,目前是世界神外知名杂志《Journal of Neurosurgery》主编,30多年来深耕儿童神外研究,带领团队不断突破,从脑瘤分子分型、精准治疗、新药...

不开颅切除脑瘤 颅底肿瘤悄然生长、浸润骨质,能否不开颅斩除病根? Less is more开展高难度手术如何将复杂手术化繁为简?把手术做小并非在切除范围上妥协,而是以更小的创伤、更精准的操...

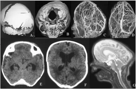
每位家长都希望宝宝拥有一个圆润漂亮的头型,这关乎美观,更关系到健康发育。但如果发现宝宝头型显著异常,原因可能并非只是睡姿问题。这背后可能是一种叫做颅缝早闭的情况在影响,即...

INC国际儿童脑瘤大咖、世界小儿神经系统知名杂志《Childs Nervous System》现任主编Concezio Di Rocco教授发表研究《Complex craniosynostoses:a review of the prominent clinical features and the related management strategies》(...

经鼻内镜术后脑脊液漏怎么办? 经鼻内镜手术后,剧烈头痛,检查竟出现了气颅。 气颅?简单来说就是颅内进了气体。 这些气体可积聚于硬膜外、硬膜下、蛛网膜下隙、脑实质内或脑室等不同...

眼皮跳动、嘴角不停抽搐、一只眼睛也睁不开,一激动症状还会加剧,有可能患上面肌痉挛了。 看下图,或许可以更加直观地理解。 虽然这是一种表现在面部的疾病,但是根源其实发生在大脑...