脑膜瘤是良性还是恶性?
脑膜瘤是一种由脑膜细胞产生的肿瘤,分为良性和恶性两种类型。良性脑膜瘤生长缓慢且不侵犯周围组织,通常具有良好的预后。恶性脑膜瘤则生长迅速且易于侵犯周围组织,预后较差。
脑膜瘤是什么病?
脑膜瘤是指发生在脑膜上的肿瘤,它起源于脑膜细胞。脑膜是覆盖在脑组织表面的薄膜,能够保护和支持脑组织。脑膜瘤可以发生在脑的任何部位,但较常见的部位是颅骨的凹陷处。
需要怎么治疗?
治疗脑膜瘤的方法取决于瘤的类型、大小、位置以及患者的整体健康状况。常见的治疗方法包括手术和放疗。手术是较常见的治疗方式,通过切除脑膜瘤来减轻患者的症状并预防瘤的进一步生长。放疗则使用高能射线来杀灭瘤细胞,通常用于手术无法完全切除瘤体或瘤的位置不适合手术的情况。
手术还是放疗?
对于脑膜瘤的治疗,手术和放疗是两种常见的选择。手术可以完全切除瘤体,有助于预防瘤的复发和进一步生长。但手术也有风险,可能导致脑组织损伤或其他并发症。放疗则可以在手术后或手术无法切除时使用,通过杀灭瘤细胞来控制疾病的进展。放疗相对于手术是一种无创的治疗方法,但其疗效可能不如手术完全。
不开颅可以治好吗?
对于脑膜瘤的治疗,是否需要开颅手术取决于瘤的类型、大小和位置。某些脑膜瘤可以通过非开颅方式进行治疗,如经导管介入治疗或放射治疗。经导管介入治疗使用导管经血管定位到达瘤体,通过栓塞血供来控制瘤的生长。放射治疗则使用高能射线杀灭瘤细胞,但限于放射线的穿透性,对于深在脑内的瘤体效果可能不佳。综上所述,脑膜瘤的治疗方法包括手术和放疗,具体选择取决于瘤的类型、大小和位置。某些脑膜瘤可以通过非开颅方式进行治疗,但其治疗效果可能不如手术完全。对于脑膜瘤的治疗,应在医生的指导下选择较合适的治疗方案。
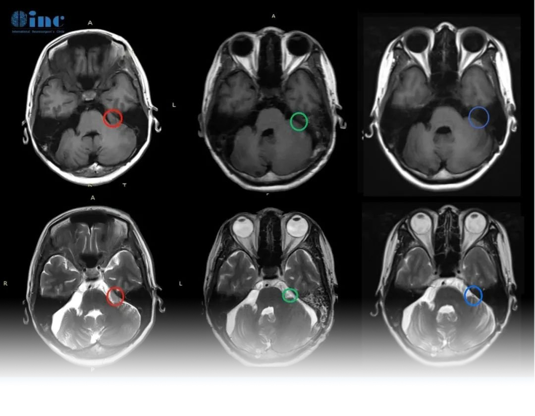
INC国际教授脑膜瘤案例:
2023年8月,INC德国巴特朗菲教授就为一名CPA区脑膜瘤患者进行了随访。41岁的孟女士早年因为右侧听神经瘤失去右耳听力,没想到又查出左侧桥小脑三角区脑膜瘤,将面临二次脑部手术,风险更大,手术难度更高,对左侧听神经和面神经的保留有更高的期望。2021年5月,作为江苏省卫生支撑计划的中德国际合作交流项目专家,巴特朗菲教授受邀来到中国开展学术交流。

国内合作医院对2021巴教授国内示范手术做出官方报道
孟女士经巴教授手术后,不仅肿瘤得到了全切,且一家人较害怕的面瘫、听力丧失的情况并没有发生,可以如常工作生活,也不必为未全切肿瘤担心的容易继续生长,也不需要后续放疗辅助,这个结果对他们来说是皆大欢喜。
脑膜瘤术后2年,孟女士怎么样了?
“近期的MRI好,没有肿瘤复发或任何不良副作用。所以情况很好,都在按计划进行。建议2年内做一次新的核磁复查。”巴教授在术后2年的随访中回复道。

术后1个月INC巴教授对孟女士视频随访时,恢复良好,无面瘫,原有听力正常,能与教授正常沟通。教授看过孟女士的术后影像,表示她脑内的脑膜瘤已经得到顺利全切,面神经功能和听力得到保留,她可以像正常人一样生活。
一家人对INC巴教授感激日常,他们庆幸自己当初选择了相信,也是这一次手术后,孟女士对生活以及身边的每个人都分外感恩,每一天的生命她都格外珍惜。
- 文章标题:脑膜瘤不开颅能治好吗?脑膜瘤手术后容易复发吗
- 更新时间:2023-08-28 18:31:56
400-029-0925




