记忆力下降,有时候甚至想不起人名,嗜睡,肢体突然失去知觉麻木无力、味觉或嗅觉下降……如果把人体比作一个精密的机器,那大脑就是这台机器的操纵台。大脑皮质的不同区域具有功能特异性,分别具有不同的功能,如感觉、运动等,将这些具有一定功能的脑区称为“中枢”,即大脑皮质功能定位。
当出现异常的肢体难以控制、记忆力或是语言能力等功能下降的时候,也许就该考虑是不是脑子里出了“问题”。而当肿瘤肿瘤累及感觉、运动、语言、视觉及其他高级认知功能相关的皮质或皮质下结构时,即可定义为功能区脑胶质瘤,主要包括如下几个功能脑区。

而如果不幸查出功能区胶质瘤,只能等待着肿瘤长大吞噬脑功能,或是手术难度太大,伤及神经切不干净,只能等待症状加重以后做一个保命手术?或者得了胶质瘤还有另一种选择——全切肿瘤且不伤功能。60多岁的功能区胶质瘤患者罗女士交出了一份功能区胶质瘤治疗的满意答卷!
功能区胶质瘤术后功能能保留吗?
六旬老人术后不瘫痪、行动如常、颐养天年
2023年7月,距离罗女士成功手术仅仅过去三个月,我们看到视频中的她已经可以正常走路行动,语言表达正常。

而在巴教授的随访邮件中,在查看了罗女士术后3个月随访影像也表示,“它们显示了一个非常好的结果,在大脑的一个非常关键的区域的肿瘤几乎完全切除了,表面上的重要静脉都在手术过程中被保留。患者现在可能不需要额外的治疗,我们将跟随她进行复查的常规MRI对照。我很高兴听到她的运动功能恢复良好。”



为什么手术后能取得如此好的效果,回顾罗女士的治疗经验不难看出,他们的积极的治疗态度和清晰的治疗思路。2023年巴教授春季中国行中,从咨询到成功手术,仅仅11天,解决了她额叶胶质瘤合并癫痫发作的问题,完美解决了脑中的这颗巨大“隐患”。
01
2023年3月:左腿失去知觉摔倒竟是额叶胶质瘤作祟
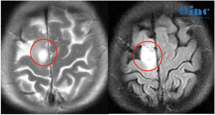
2023年1月底罗女士突然左腿失去知觉摔倒,后面又类似情况发生几次。3月份,他们来到当地医院进行检查,颅脑MR+增强显示:右侧额叶异常信号灶,考虑低级别胶质瘤。
随后3月底罗女士女儿立即带着她来到上海某医院进行专家门诊检查,医生看完颅脑MR+增强都胶片,给出建议是:目前肿瘤比较小,手术怕伤到运动神经,也怕切不干净,先保守治疗,等腿和手的功能都出现障碍了,为了保命延长生存期不得已时再做手术,只开了一个抗癫痫的药(丙戊酸钠缓释片),先保证不要摔倒。
医生的回复让罗女士一家人心灰意冷,因为母亲的胶质瘤长在功能区,手术十分困难,稍有不慎就可能造成偏袒、生活不能自理。然而不手术,肿瘤就会在母亲脑内肆意生长,到时候再手术,真的就只能”保命“,辛苦半生的母亲难道不能拥有一个健康完满的晚年吗?罗女士的女儿决心一定要为母亲找到能够安全手术的主刀医生。
02
2023年3月31日:咨询INC巴特朗菲教授手术评估答疑
此时正恰逢2023年巴教授春季中国行期间,他们便立马联系上INC,紧急整理资料咨询巴教授。
“这个肿瘤与我去年在独墅湖医院最后一天做手术的病人的肿瘤非常相似(几乎一样)。这是一个明确的手术指征,就像我们去年12月初做的那样,使用术中磁共振对比。手术的主要风险是左腿的运动功能障碍,但我认为这基本不会发生。在术后早期阶段,只可能出现暂时性的腿部无力,但无论出现这种情况,将逐渐恢复正常。”



巴教授评估意见表示肿瘤位于右侧中央前-失状窦旁区,没有浸润到中央脑回。这意味着我们实际上可以切除肿瘤,而不会造成新的运动功能障碍。
4月2日,罗女士和家人一致决定找巴教授手术,这时距离罗女士咨询巴教授仅过去了2天。
03
2023年4月9日:巴教授术前谈话
手术前一天,巴教授为罗女士进行了详细的术前谈话,就手术入路、切口以及手术相关并发症概率等展开分析。

巴教授为罗女士一家手绘分析肿瘤位置及影响到的大脑功能

分析手术切口及手术入路
04
2023年4月10日:巴教授顺利示范手术
4月,INC德国巴特朗菲教授为额叶胶质瘤合并癫痫发作患者——66岁的罗女士顺利行肿瘤切除,在术中导航、术中核磁、术中神经电生理监测下,肿瘤取出的同时也保护了大脑正常功能。
手术后病理结果为低级别胶质瘤。

05
术后恢复
术后当天ICU查房,罗女士意识清晰、对答如流。”谢谢巴教授!”病床上的罗女士中气十足表达对巴教授的感谢。
术后第三天查房,罗女士整体状态良好。对于目前出现的左侧肢体无力,巴教授表示都是暂时性的,主要是由于水肿造成的,等水肿消下去,是可以恢复正常的。巴教授强调:“锻炼很重要”!
术后4周时,罗女士术后因水肿引起的暂时性左侧肢体无力情况已完全恢复,肢体活动正常,准备出院回家好好享受生活。罗女士家人分享了罗女士术后的康复锻炼视频,罗女士恢复良好,行走自如。
脑功能区胶质瘤该如何治疗?才能不瘫痪保留功能
脑胶质瘤是常见的中枢神经系统原发性恶性肿瘤,占颅内肿瘤40-50%。功能区胶质瘤易导致患者出现头痛、恶心及呕吐、癫痫、视物模糊等症状,且会影响相应的大脑功能区。考虑到肿瘤位置的特殊性,无论是低级别胶质瘤还是高级别胶质瘤,均存在一定的手术难度。
“手术是胶质瘤重要的治疗方法。”切除程度越高,术后肿瘤无进展生存期和总体生存期越长;术后存在神经功能障碍也是影响患者生存质量的重要因素。因此,脑功能区胶质瘤手术的理想目标是尽力全切肿瘤,而术中实时定位功能区及皮层下功能结构是其中关键的技术。神经导航技术不仅能显示病灶和脑组织的结构信息,还可以显示神经传导束位置等功能信息,并能提前对硬膜下大脑皮层血管进行重建,有利于术前评估及术中对静脉保护。
一、神经导航系统在规划手术策略、实时引导安全切除病灶中具有重大意义。
1术中影像学技术:强烈推荐使用神经导航系统;推荐使用术中MRI、术中超声等。神经导航系统:术中可根据导航棒探针的位置,确定手术切除位置及切除深度(Ⅲ级证据)。术中MRI技术:可以辅助术者确定肿瘤切除后残余肿瘤的体积,提高肿瘤的切除程度(Ⅲ级证据)。术中超声:可在术中辅助判断肿瘤范围和切除程度,提供病变周围及内部的血流情况。
2术中脑功能定位技术:强烈推荐直接电刺激定位功能区皮质(Ⅱ、Ⅲ级证据);推荐体感诱发电位定位中央沟,持续经颅或经皮质运动诱发电位监测运动通路的完整性,直接电刺激定位皮质和皮质下功能结构,神经导航结合术前fMRI影像定位。
3运动区监测:运动区阳性表现为对侧肢体或面部相应部位肌肉出现不自主动作,同时可记录到肌电活动;电刺激运动前区或辅助运动区可能引起复杂运动。运动区皮质下需要监测和保护的重要结构为锥体束。
4感觉区监测:感觉区阳性表现为对侧肢体或头部脉冲式的异常感觉,多表现为麻木感。刺激感觉区有时也可引起肢体运动。
5语言区监测:推荐的语言任务有计数和图片命名。电刺激过程中,患者出现的异常表现(包括语言中断、构音障碍、命名错误、反应迟钝和语言重复等)均提示该区域为物体命名相关语言中枢。语言区皮质下需要监测和保护的重要结构有弓状束、上纵束、下枕额束、额斜束和下纵束等。
二、肿瘤切除策略:
在保留重要功能结构的前提下,选择适当的手术入路尽可能切除病变。
目前,国际公认的安全切除范围应至少距离阳性刺激区5mm(Ⅲ级证据)。同时注意保护正常动脉及脑表面重要的引流静脉。通常先切除非功能区肿瘤,然后逐步推进至重要功能区附近,切除过程持续监测患者的功能状态,若怀疑存在皮质下重要通路,可即刻进行皮质下电刺激,以确定重要皮质下功能结构并予以保护。切除病变后,可应用术中MRI、术中超声或肿瘤荧光显像等技术观察病变有无残留。
三、术后评估及预后
强烈推荐术后24~72h内行MRI检查,HGG以MRI增强、LGG以T2FLAIR的容积定量分析为标准,以评价肿瘤的切除程度。推荐分别于术后1~3d、1个月、3个月、6个月评价患者的KPS、语言功能、运动功能及生活质量等。评价过程推荐采用神经影像与行为量表相结合的方式。唤醒手术应用直接皮质及皮质下电刺激技术定位和保护功能区,可显著降低患者术后永久性神经功能障碍的发生率,术后短暂性神经功能障碍多可在3个月内恢复(Ⅲ级证据)。
治疗选择对于患者来说至关重要。治疗过程中,每一个选择都会对预后造成直接的影响,尤其是第一次手术非常重要,既要保证患者的安全,又要尽力除病变。一台成功的手术可以避免一些手术并发症或者其他“补偿性”放化疗。而且第一次手术做得好不仅能达到良好的术后效果,减轻患者的身体负担,还能为后续的治疗打下一个好的基础。
因此,每一位患者都应在有机会的时候争取大的治疗机会,当你还有机会去选择的时候,还可以选择好的,一旦出现被动的情况下,你想选择的机会都没有了。及时咨询合适的医生全面评估病情,明确是否需要手术切除以及手术时机,为自己争取好的预后效果。
参考资料:脑胶质瘤诊疗指南丨2022年版
注:以上案例供学术交流,不作为个别患者的医学诊疗意见。
400-029-0925




