
问:如果我有耳鸣但没有听力损失,我可能是 听神经瘤 吗? 答:如果您有耳鸣但没有听力损失,听神经瘤的可能性很小。当有耳鸣的人向耳鼻喉科求助时,诊断的初始阶段通常是听力...

国外听神经瘤治疗指南,出国治疗听神经瘤流程? 听神经瘤目前在国内外都是有一个比较好的治疗情况,近年来,国内医疗水平也得到了一个迅猛的发展,听神经瘤手术成功率目前也是...

问: 听神经瘤 要治疗还是不治疗? 去年我被诊断出患有听神经瘤。我的医生说我可能不需要治疗。但是我知道其他人也有同样的状况,并且接受过手术切除肿瘤。我为什么就不需要任...

问: 听神经瘤 术后面瘫康复怎么做? 答:听神经瘤手术有时需要切除或操纵面神经的一部分。由于面神经的脆弱特性,残留的肿胀和损伤可能会导致暂时或长期的面瘫和突触。 听力神...

问:听神经瘤的主要临床表现有哪些?听神经瘤术后有后遗症吗? 答:听神经瘤是从内耳道到小脑桥角部发展的良性肿瘤,但很少是恶性的。大多数肿瘤起源于前庭雪旺氏细胞,因此恰...

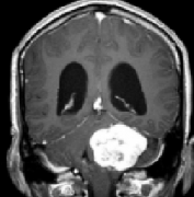
听神经瘤 术后面瘫国外怎么治疗? 西尔维娅(Sylvia),伦敦人,31岁。20岁那年,被诊断出患有听神经瘤,被发现时,已经患病五年了,但一直未被发现,所以已经长得相当大。后在医院...

问:听神经瘤手术风险大吗?如何避免? 答:全部脑部手术都有风险,可能出现手术并发症。这些包括感染,出血,死亡,昏迷,中风和癫痫发作。在现代神经外科中心,严重并发症的...

问:听神经瘤如何治疗?听神经瘤能自愈吗? 答:手术切除是大型听神经瘤的治疗方法,因为立体定向放射外科手术不适用。经迷路(TL)入路、中颅窝(MCF)入路以及乙状窦后(...

问:听神经瘤早期可以检查出来吗? 答:听神经瘤诊断很多时候会出现不满意的情况,诊断仍然是听神经瘤疾病链中较薄弱的环节:早期和晚期症状 - 诊断 - 治疗决策 - 治疗 - 康复。这...

问:听神经瘤治疗会有什么后遗症? 答: 听神经瘤 是一种良性肿瘤,从负责听觉和平衡神经发生。良性肿瘤不会扩散到身体的其他部位,但它们仍然可以长到足以压迫周围组织,需要...